dxy logo
首页丁香园病例库全部版块
搜索
登录

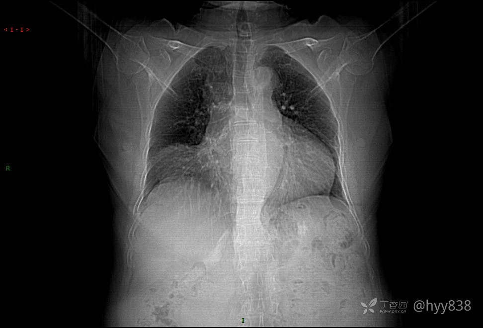
一张胸片让病人惊出一身冷汗,连夜到上级医院确诊,what happened? 结果公布~

影像核医学版版主 · 最后编辑于 2023-07-02 · IP 湖北湖北
2894 浏览
推荐、达人点赞 2 项荣誉
这个帖子发布于 2 年零 110 天前,其中的信息可能已发生改变或有所发展。

患者性别:男

患者年龄:76岁

简要病史:健康体检发现右下肺占位

体格检查:(-)

辅助检查:平片 CT

临床诊断:体检

治疗经过:---

讨论:病变性质?

胸片

img
疝气 (66)
纠错
103 7 11
同行评议(0)
已评议
不开通精选
开通精选
精选已授权,待上线
评议结果暂未公布
参与评议
去邀请
NaN
病例完整NaN
临床实用NaN
诊疗科学NaN
学术价值NaN

全部讨论(0)

默认最新
avatar
103
分享帖子
share-weibo分享到微博
share-weibo分享到微信
认证
返回顶部