根治性全胃术后Peterson`s裂孔疝致肠梗阻2例
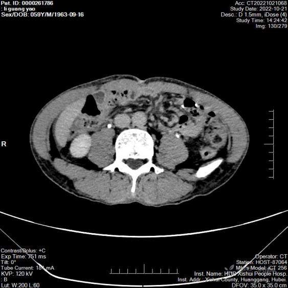
丁香医小白 推荐病例1:患者男,59岁,因“腹痛3天”于2022年10月19日入院。既往于2022年7月因胃癌在武汉同济医院行腹腔镜胃手术,具体不详,入院查体 BP101 / 68 mmHg、HR 46次/分、R 20次/分、T 36.3 ℃。腹微隆,中上腹可见一纵行手术瘢痕,上腹剑突下有轻压痛,无反跳痛,肝脾肋下未及,双肾区无叩击痛,肠鸣音正常,2022-10-19 CT平扫 1、胃术后改变。2、肝脏、胆囊、脾脏、胰腺及两侧肾脏CT平扫未见明显异常。3、腹腔内小淋巴结显示。4、盆腔少量积液。5、下腹部部分肠管、血管呈漩涡状。 入院后考虑肠扭转,入院后完善腹部增强CT,并暂予保守治疗,症状未见明显缓解,遂于2022年10月23日急诊剖腹探查,术中见:腹腔如全胃切除伴胃空肠Roux-en-Y吻合术术后所见,全小肠系膜肥厚,全小肠自食管空肠吻合口后方疝入并形成扭转。术中行腹腔镜下腹内疝松解还纳术+修补术。术后诊断:彼得森型肠系膜裂孔疝,术后恢复可,并于术后第5天(2022.10.28)顺利出院。


第二例患者CT视频(上传在第一例患者上了)



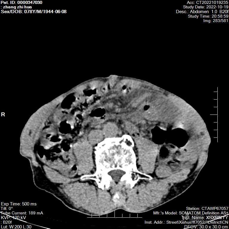
病例2:患者,男,78岁。因“腹痛2天,加重4小时”于2022.10.19入院。 既往于2019.2.14在我院因胃癌行根治性全胃切除术。查体:BP150 / 88 mmHg、HR 52次/分、R 20次/分、T 36.5 ℃腹膨隆,全腹压痛,伴反跳痛,肝脾肋下未及,双肾区无叩击痛,肠鸣音正常2022-10-19 CT平扫 1、胃术后可能,请结合病史。2、腹腔部分血管走形呈旋涡状,腹盆腔局部脂肪间隙模糊,请结合临床。3、少量盆腔积液。4、腹腔多发肠管扩张积气、积液。5、左侧腹股沟疝。入院后予禁食禁水,持续胃肠减压,解痉,抗感染治疗并积极做术前准备,并急诊行剖腹探查术,手术时之发现:腹腔如全胃切除伴胃空肠Roux-en-Y吻合术术后所见,全小肠系膜呈乳白色并肥厚,全小肠自食管空肠吻合口后方疝入并形成扭转。术中行腹内疝松解还纳术+修补术。术后第7天顺利出院。


第一例患者CT视频(上传在第二例患者上了)


















































