惊了!术中从患者腹腔掏出满满一盆「杨枝甘露」
caiwj2001 达人已点赞患者信息:患者男,49 岁,身高 168cm,体重 71kg。
主诉:下腹部、臀部肿物逐渐增大 1 年半。
辅助检查:血常规、肝肾功能、凝血功能无明显异常。既往史:患者否认糖尿病、高血压等慢性病史。
患者既往有两次手术史,为求进一步治疗来院,门诊遂拟以"盆腔肿物"收治入院。
术中,从腹腔掏出一盆“杨枝甘露”,这是什么疾病?欢迎讨论!稍后公布答案!

患者第一次手术 2020.04.11行腹腔探查+右下腹壁脂肪瘤及右侧臀部脂肪瘤切除术,术后病理示:右下腹壁及右臀部脂肪瘤(良性肿瘤)。
患者第二次手术:患者自诉术后复发,于2022-11-18行腔镜辅助下腹膜后肿瘤切除术+盆腔巨大肿瘤切除术+单侧睾丸切除术+肠粘连松解术。
术后病理示:高分化脂肪瘤样脂肪肉瘤(低度恶性肿瘤)。术后行8周期化疗(具体方案不详),自诉效果不佳,后服用安罗替尼。
2024年复查腹盆腔+双下肢增强 CT 示:脂肪肉瘤术后,右侧盆腔至腹股沟区复发转移灶;右髋肌间隙复发灶。
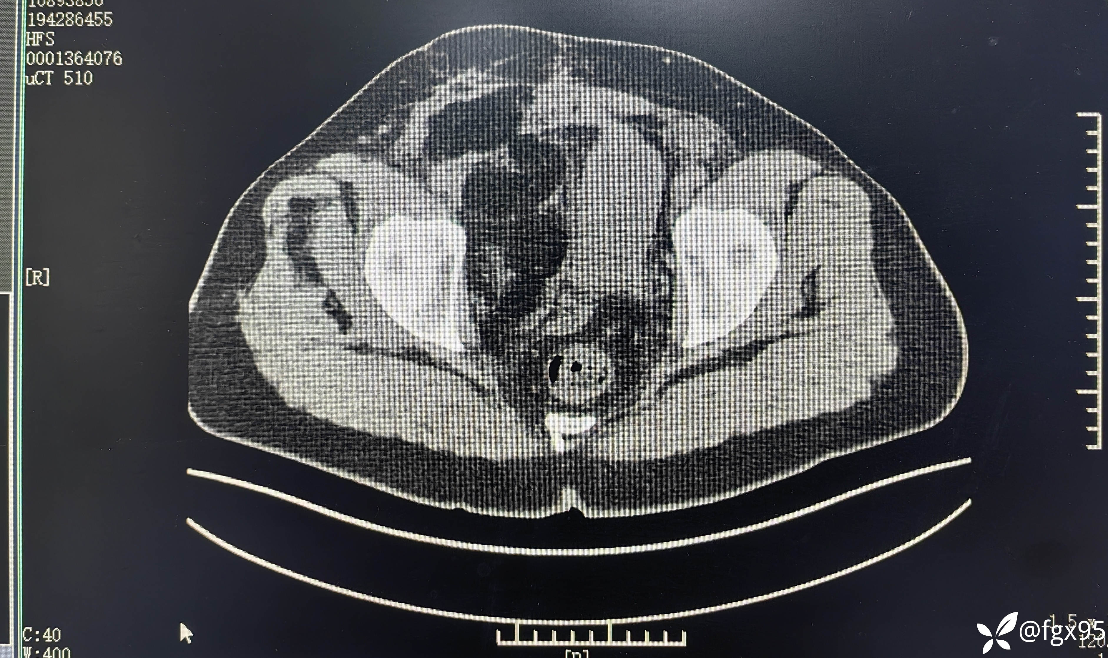
第三次手术前盆腔CT



第三次手术标本见图片,病理结果后续公布。















































