dxy logo
首页丁香园病例库全部版块
搜索
登录

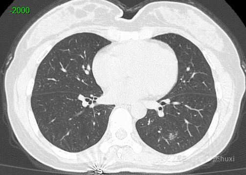
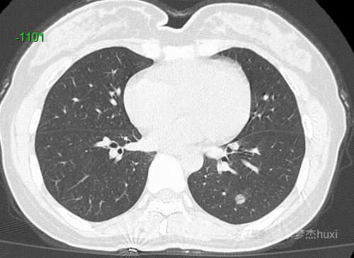
病例女性45岁,体检发现PET-CT阴性的肺结节,猜病理。

呼吸胸外版版主 · 发布于 2023-03-29 · IP 河北河北
3091 浏览
这个帖子发布于 2 年零 238 天前,其中的信息可能已发生改变或有所发展。

患者性别:女

患者年龄:45岁

主诉:体检发现肺结节,PET-CT阴性。

简要病史:

体格检查:

辅助检查:

临床诊断:

治疗经过:

讨论:猜病理

img
img
img
img
img
img

肺结节 (1229)
纠错
38 11 10
同行评议(0)
已评议
不开通精选
开通精选
精选已授权,待上线
评议结果暂未公布
参与评议
去邀请
NaN
病例完整NaN
临床实用NaN
诊疗科学NaN
学术价值NaN

全部讨论(0)

默认最新
avatar
38
分享帖子
share-weibo分享到微博
share-weibo分享到微信
认证
返回顶部