女性32岁,体检发现包裹性胸腔积液
患者性别:女
患者年龄:32
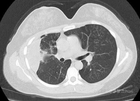
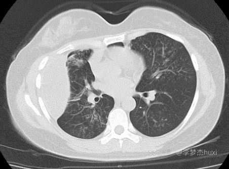
主诉:1月前体检发现右侧包裹性胸腔积液,肺部无异常,未进一步诊治。一月后复查除了包裹性胸腔积液外,肺内增加了多发结节影。无发热,无呼吸道症状。
简要病史:
体格检查:
辅助检查:
临床诊断:
治疗经过:
讨论:诊断 ?

















患者性别:女
患者年龄:32
主诉:1月前体检发现右侧包裹性胸腔积液,肺部无异常,未进一步诊治。一月后复查除了包裹性胸腔积液外,肺内增加了多发结节影。无发热,无呼吸道症状。
简要病史:
体格检查:
辅助检查:
临床诊断:
治疗经过:
讨论:诊断 ?

















