(原创)当急诊遇到个不说话的病人
情Ca晚期 +5 丁当“随着疫情的过去,急诊又变的很忙碌,伴随忙碌而来的是各种奇怪的疾病,一不小心就会误诊,而延误治疗。今天讲一个奇怪的病人。”
患者,女,54岁
被发现意识模糊2小时由120转入急诊抢救室。
她来的时候正好交班,接近晚6点入院。
急诊神经内科,“病人能被喊醒,喊醒后不表达,能自己走出监护室上厕所。不是我们科的事,你们处理吧。”
急诊神经内科走了,潇洒转身,未有一丝迟疑。
那我们急诊科咋办呢?
立刻完善颅脑CT,自己排查脑出血、脑梗,再请神经内科会诊。没办法不是!
CT如下



我能看出来的除了颅脑很饱满,看不出来其他的。
就这样吧,请个急诊神内“大爷”会诊,继续看急诊门诊。
过了半个小时,会诊意见出来了,神内的“大爷”确实牛,写了建议完善:脑电图、颅脑磁共振、腰穿。
写的会诊挺好,大晚上都做不了,我这急诊内科屁股都离不开坐,还腰穿?
各自安好吧!
下个磁共振,继续看门诊。
接近晚上10点病人家属过来找我问,病人和别人吵架来,是不是气的?
我说,“有可能吧!”
再次去好好查看了病人,心电监护很正常,病人呼之有反应,但是不回答。家属说刚才自己上厕所了。
家属顺便问,“能不能回去?”
抢救室可不能这么容易的放走,我说“不行”,等做完检查再说吧!
这句话救了自己一条小命。
早上没等下班,就看到了一个危急值,脑出血!
看名字好熟,上了一夜没反应过来。
等把影像打开,发现是磁共振报的!
什么鬼?
是CT报没异常的,磁共振竟然报了脑出血!
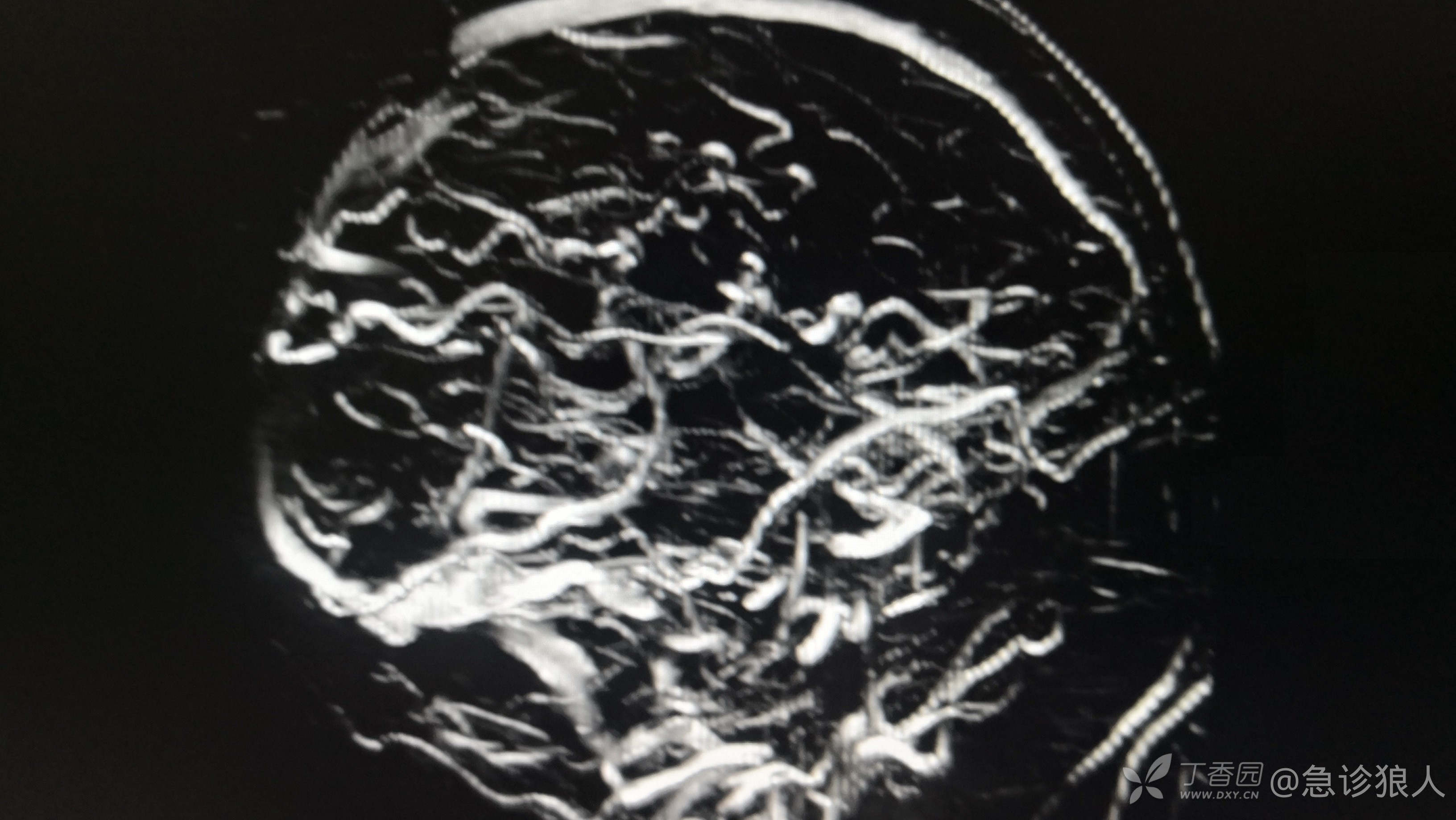
图像如下:

磁共振:1、脑出血(左侧)2、脑血管畸形
这,为啥脑出血CT看不出来,我又反复看了ct确实看不出来。





左侧大脑半球多发杂乱,迂曲血管影,与左侧乙状窦相通,考虑硬脑膜动静脉瘘可能性大。
出来结果,神内愿意收了,收上去做了DSA,动静脉瘘修补!
为啥CT上看不出来呢?
















































