dxy logo
首页丁香园病例库全部版块
搜索
登录

病例一眼洞穿之-------肺部感染原因和病原菌

心情驿站版版主 · 发布于 2020-12-11 · 来自 Android · IP 山东山东
1387 浏览
达人点赞、丁当奖励 2 项荣誉
这个帖子发布于 4 年零 346 天前,其中的信息可能已发生改变或有所发展。


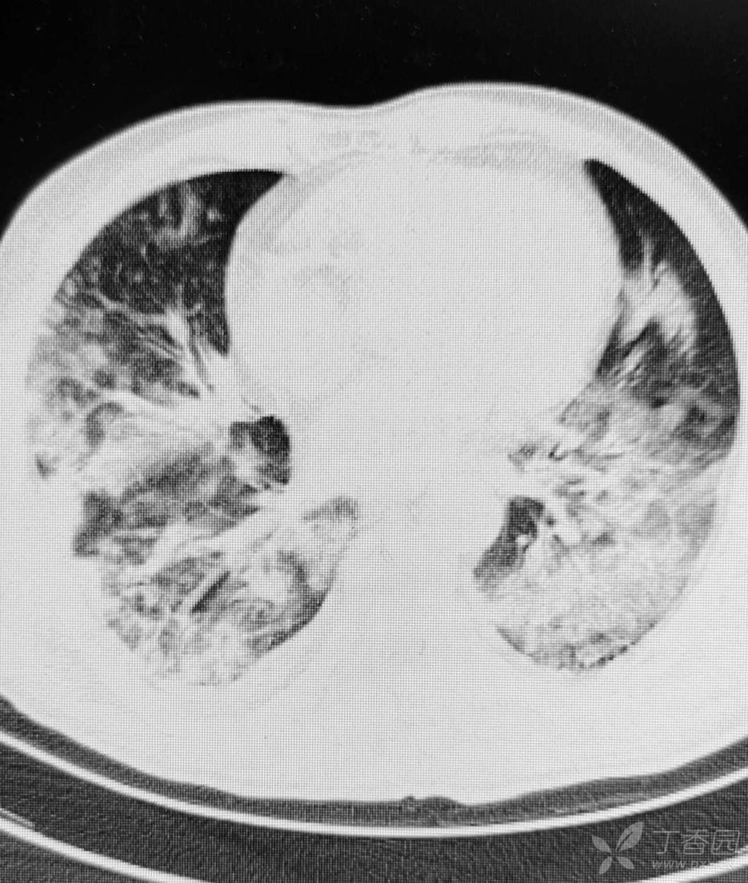
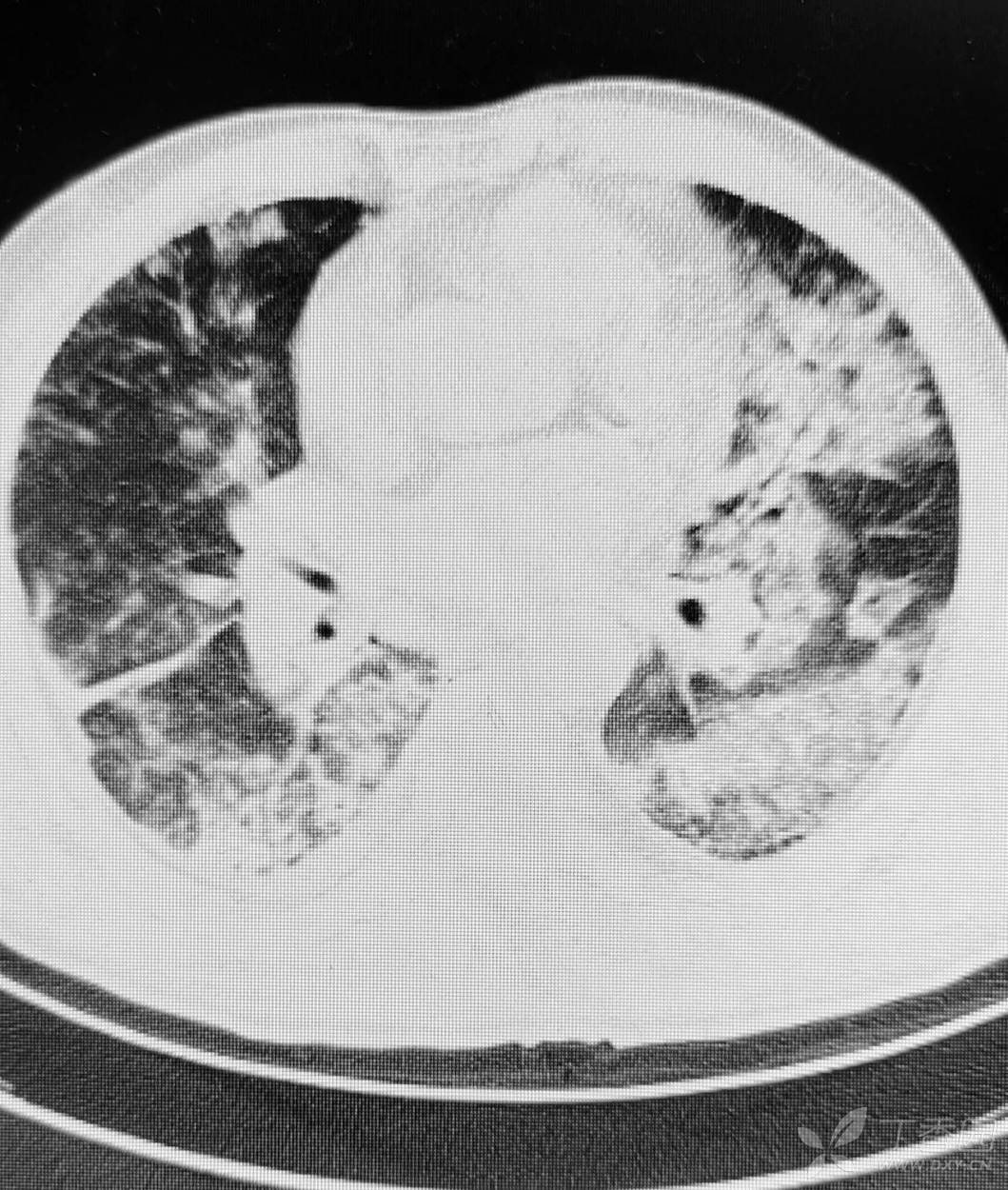
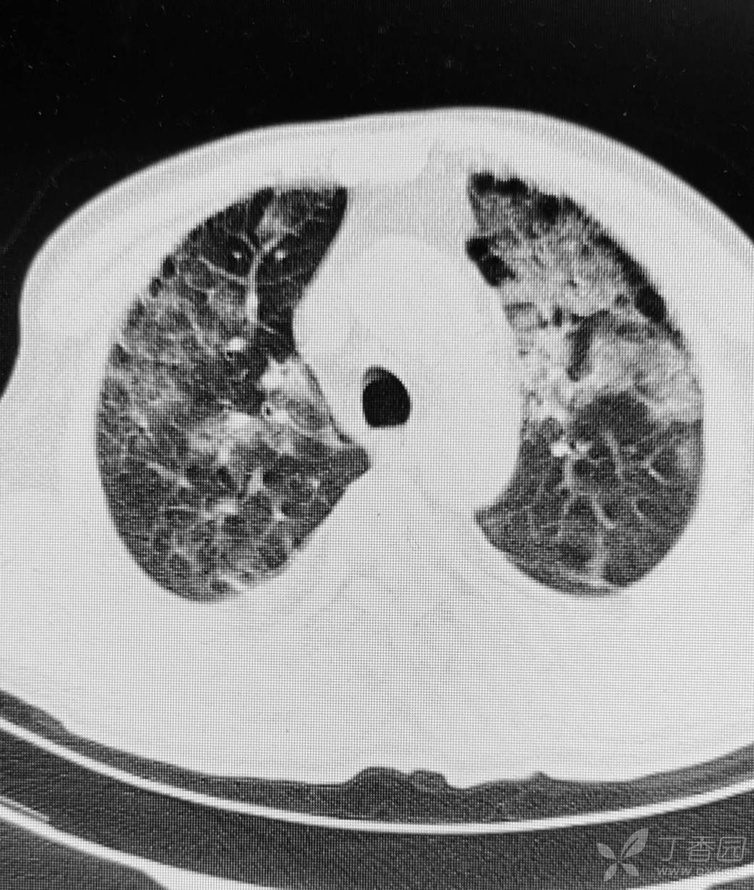
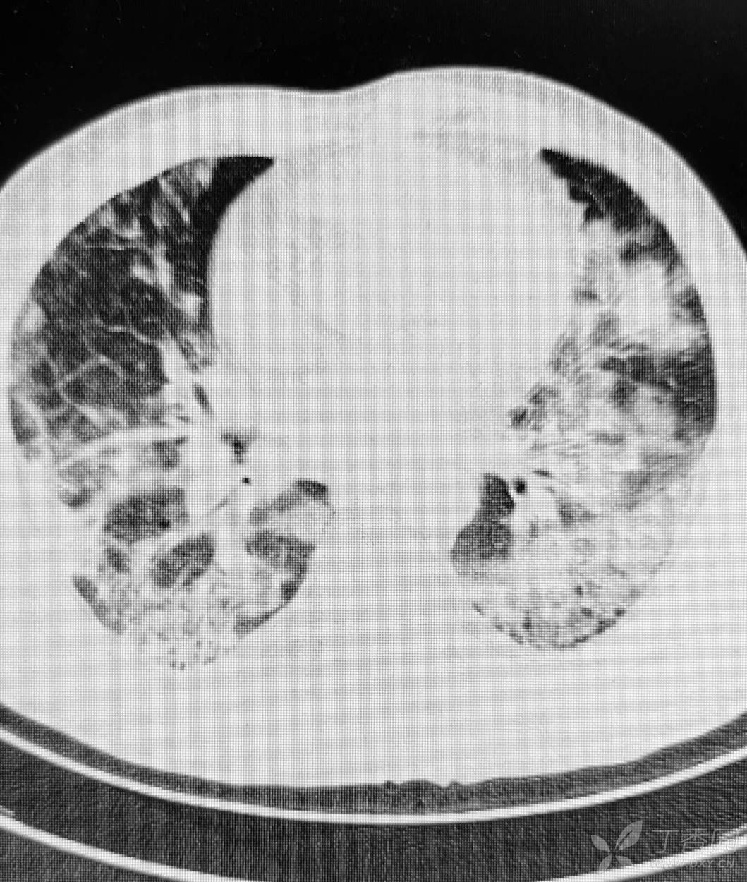
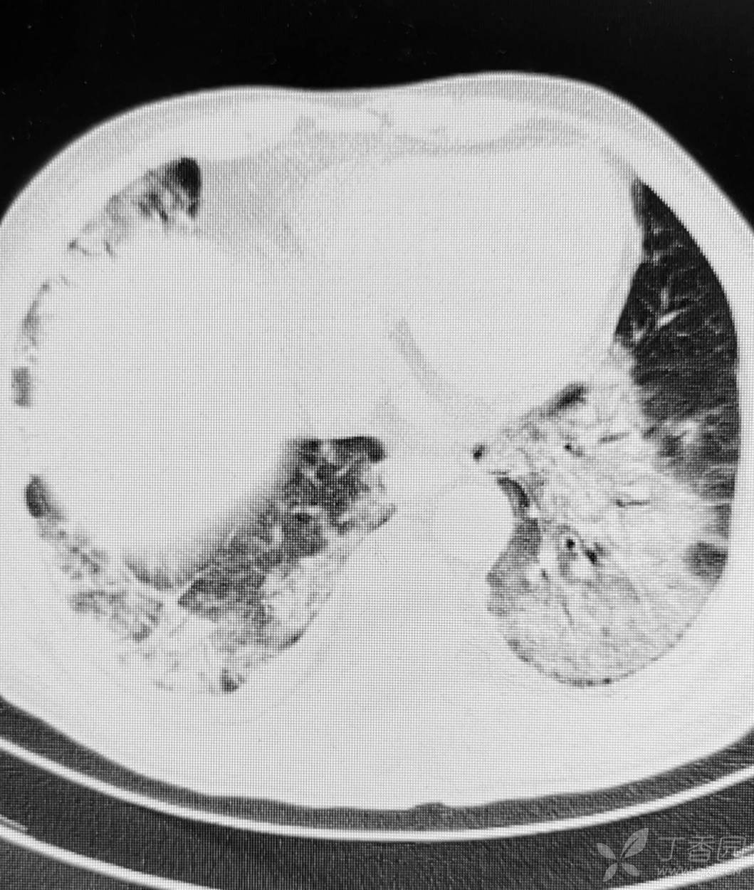
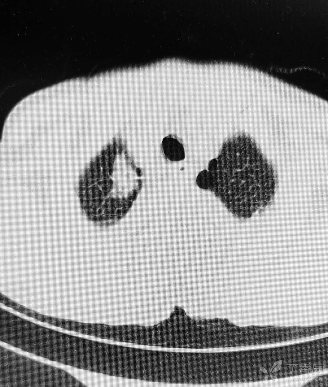
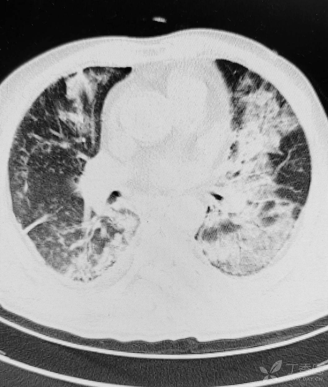
直肠癌术后两个月,接受放化疗一个月。白细胞危急值。


img


img


img


img


img


img


img


img


img


img


img


img


img

previewplay video

停化疗放疗,升白药物。白细胞增高了。

血小板仍低,血红蛋白开始降低。

胸部影像如图。

目前有血培养阳性,病原菌难以命中。痰培养阳性。

该帖还没有疾病标签去添加
6 3 3

全部讨论(0)

默认最新
avatar
6
分享帖子
share-weibo分享到微博
share-weibo分享到微信
认证
返回顶部