反应迟钝、嗜睡进行性加重半月,转诊后被一眼识破~~~
病例信息
患者因为“不明病因”的意识水平进行性下降、嗜睡加重而转诊求医,所谓的一眼识破,无非就是故弄玄虚~~~~
医学是一门经验科学,被“一眼识破”的病因,无非就是我运气好,类似的情况我见过,仅此而已。
【主诉】:男性患者,75岁,主诉“反应迟钝伴嗜睡进行性加重半月”外院转诊。
【现病史】:家属诉,患者近半月来反应较前迟钝,伴记忆力减退,白天嗜睡,伴乏力。无意识丧失,无发热,无胡言乱语,无痉挛抽搐等表现。至当地医院,查头颅MRI提示“右侧颞叶,两侧额叶大片状陈旧性梗死”,当地医院考虑“血管性痴呆、脑梗死”,予营养神经、改善循环等药物治疗,无好转,意识水平进行性下降,嗜睡明显。住院治疗期间监测血肌酐呈逐渐升高趋势(127mmol/L~199mmol/L),家属要求转上级医院。
【既往史】:
- 陈旧性脑梗死伴血管性痴呆3年
- 心房颤动,口服华法林1.5mg qd
- 慢性阻塞性肺病、肺源性心脏病
- 高血压病史,口服氨氯地平5mg qd
- 近5年不吸烟,不饮酒
急诊初诊体格检查:
T 36.8℃,P 85bpm,RR 15次/分,Bp 122/81mmHg,SpO2 96%(鼻导管吸氧2L/min)。
嗜睡状态,可唤醒,唤醒后反应迟钝,可对答。消瘦,双肺呼吸音低,未闻及干湿啰音。心率不快,律绝对不齐。腹平坦,触诊软,双下肢无水肿。
急诊实验室检查:


血气分析


急诊室生化


血常规
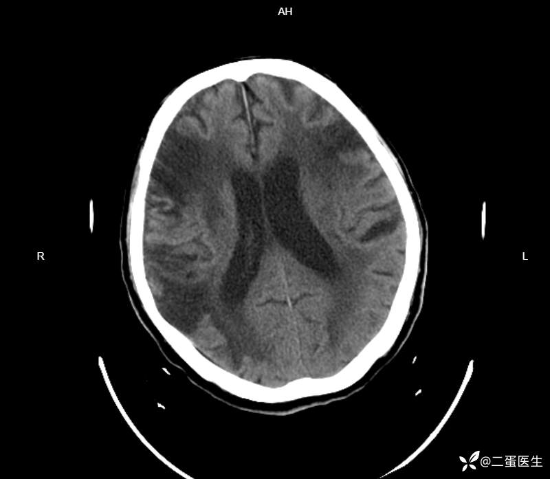
头颅CT:

多发大片陈旧性脑梗死
【治疗经过及结果】:
接诊该患者后,我仔细翻阅了当地医院的所有检查、检验结果,患者因房颤导致大面积脑梗死、合并血管性痴呆多年,本次意识水平水平下降是在其原有的基础上的进行性加重,并不能用颅内陈旧性脑梗死解释患者的临床表现。
综合分析,结合患者的临床表现、体格检查后,心里已经有了初步的判断。
与患者家属沟通后,予经验性对症处理,后来患者意识水平明显好转,第三天时就已经开始骂儿子吵着要回家了。
你猜到答案了吗?

71 人解锁,收益归属作者以激励创作














































