入院两天,左肾消失了?怎么回事?
病例简介
患者,女,65岁。既往诊断糖尿病2年,未治疗。因“发热、左侧腹痛5天”由外院送来我院急诊。患者5天前无明显诱因下出现发热,发热最高可达40℃,伴有阵发性的左侧腹痛,近2天腹痛程度加重,无伴咳嗽、咳痰,无伴胸闷、胸痛、气促,无伴腹胀、腹泻,无伴肛门停止排气,排便,无伴尿频,尿急,尿痛等不适。自服"头孢,退热药物”无明显改善,仍反复发热。2天曾于当地医院查血常规:WBC 12.2×10^9/L,NEU 86%,Hb 131g/L,PLT 204×10^9/L;生化:Alb 23g/L,Cr428umol/L。行腹部CT提示左肾增大,左侧输尿管结石。考虑“急性肾盂肾炎”予“特治星+左氧氟沙星”抗感染治疗,患者仍高热,伴有神志淡漠,胡言乱语。遂转来我院。
体查:T 40.1°C,P120次/分,R28次/分,BP 90/50mmHg,神志淡漠,精神差,双肺呼吸音粗,未闻及干湿啰音,心率120次/分,律齐,无杂音。腹平软,左上腹部压痛,无反跳痛,Muphy's征阴性,左肾区扣痛阳性。肝脾肋下未及,肠鸣音活跃。四肢肌力5级,肌张力正常,生理性反射存在,病理征阴性。
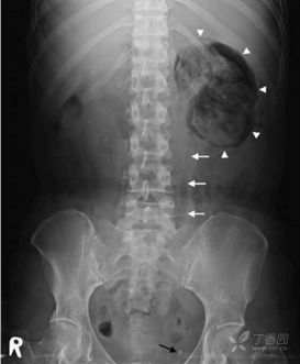
辅助检查:血常规:白细胞 19.89 ×10^9/L、中性粒细胞百分比 90.80 %、血红蛋白 92g/L、快速-CRP >200.0 mg/L。生化:尿素氮 12.5 mmol/L、钙 1.82 mmol/L、葡萄糖 17.98 mmol/L,肌酐520umol/L;肝功能:天门冬氨酸氨基转移酶 148 U/L、r-谷氨酰转移酶 253 U/L、碱性磷酸酶 190 U/L、5'-核苷酸酶 15.40 IU/L、直接胆红素 11.8 umol/L、总蛋白 50 g/L、白蛋白 21 g/L、总胆汁酸 10.2 umol/L、胆碱脂酶 2440.0 U/L;心酶三项:乳酸脱氢酶 1349 U/L。肌红蛋白,CK-MB 正常。肌钙蛋白-I 1.26 ng/ml。D-二聚体 1.4mg/L,降钙素原 42 ng/ml.NT-proBNP 473.2pg/ml.床边心电图:窦性心动过速,ST-T改变。行泌尿系超声,超声科医生电话告知:找不到左肾了!真的找不到了!2天之间,左肾消失了?行腹部X线提示:

打开APP查看病理讨论结果↓↓↓















































