男性27岁,胸痛2天住院,胸部CT报肺炎,这个莫西沙星打对了吗?
病例信息
【患者信息】:男, 27 岁
【主诉】:主因胸痛2天
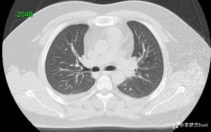
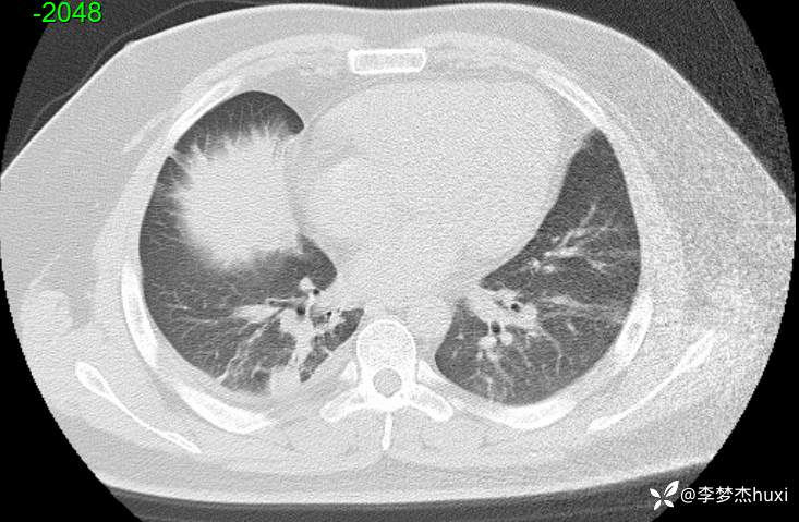
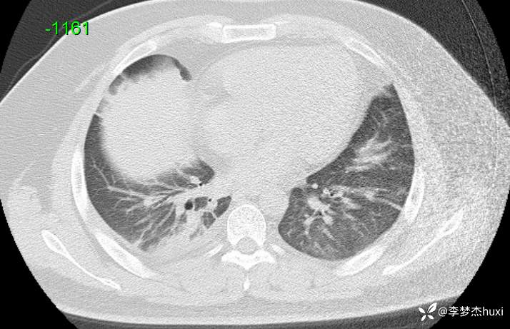
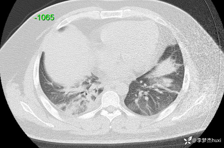
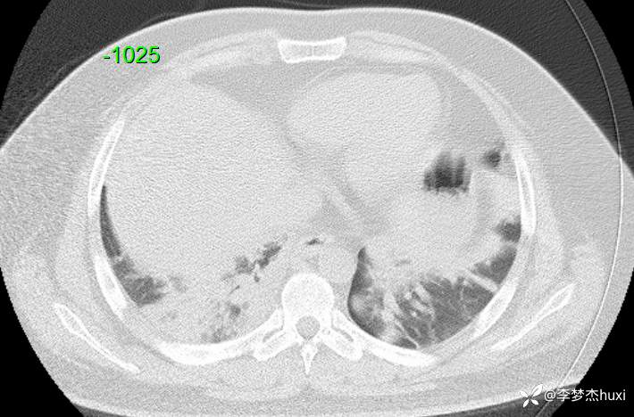
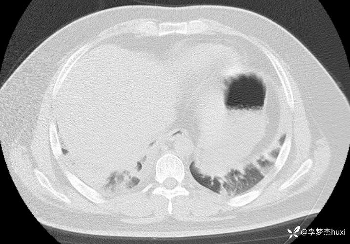
【现病史及既往史】: 1.患者青年 男,患者缘于2天前无诱因出现胸痛,为前胸痛,伴后背疼痛,咳嗽及深呼吸时明显,伴咳嗽,痰不易咳出,伴恶心、呕吐,伴发热,体温最高达37.7℃,无寒战,无咯血,院外未应用药物治疗,症状无明显好转,为求进一步治疗来院就诊,门诊查胸部CT提示:双肺炎症,较前进展,双肺纹理增重,右肺实性结节,建议随诊复查,双侧胸膜局部增厚,右侧胸腔少量积液。以“肺炎”收住院;。
2.既往体健;否认“高血压、冠心病、糖尿病”病史;否认食物、药物过敏史。
【检查】: 4.辅助检查:心电图示:窦性心动过速,门诊查胸部CT提示:双肺炎症,较前进展,双肺纹理增重,右肺实性结节,建议随诊复查,双侧胸膜局部增厚,右侧胸腔少量积液。
【临床诊断】: 社区获得性肺炎,非重症。
【治疗经过及结果】:莫西沙星抗感染
总结与讨论
打对了吗?





























































