PFO封堵4个月,再发血栓,病因怎么考虑
青鹊词等 2人推荐病例信息
2024年4月第1次入院
患者李X,男,75岁,主因“头晕、言语笨拙4天、头痛1天”入院。
患者于入院前4天无明显诱因出现头晕、言语笨拙症状,活动后头晕症状明显,可理解他人语意,语意表达欠清晰,于当地门诊输液,具体药物及剂量不详。入院前1天出现头痛症状,左侧颞顶部为著,呈持续性钝痛。病程中无恶心呕吐,无饮水呛咳及吞咽困难,无意识丧失,无大小便失禁。
既往高血压病史10年,血压最高达180/100mmHg,口服药物,具体不详。6年前及1年前2次患脑梗死,无明显后遗症遗留。
查体BP:150/90mmHg神清,言语欠流利。两侧额纹对称。左侧眼裂小,两侧眼球活动自如,眼震(-),两侧瞳孔等大等圆,直径约2.5mm,光反射灵敏。左侧鼻唇沟浅,伸舌居中。四肢肌力、肌张力正常,双侧巴宾斯基征(-)。
心电图示:窦性心律,左室高电压。
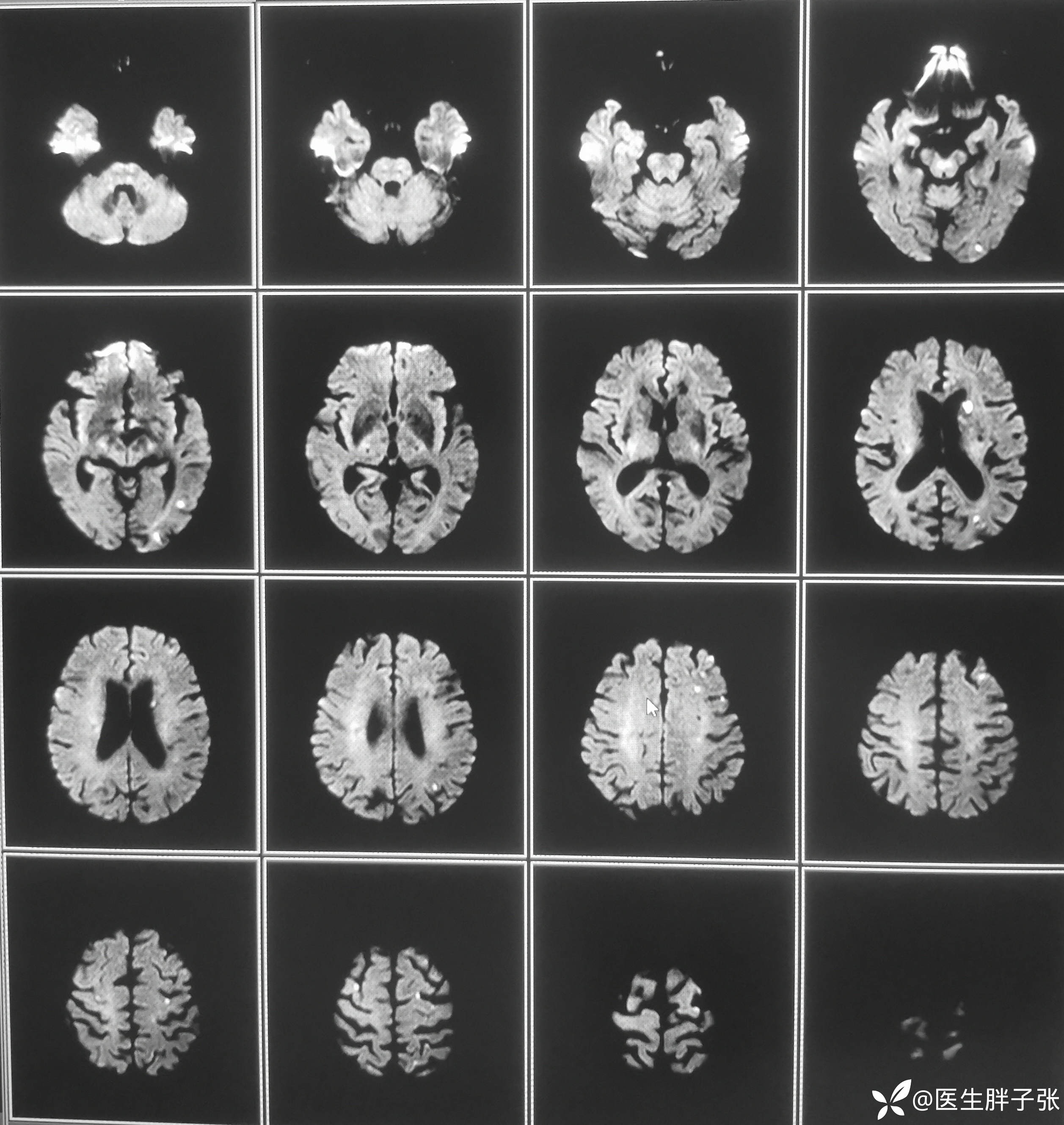
颅脑MR提示左侧枕叶、基底节区、顶叶、双侧额叶新发梗死。

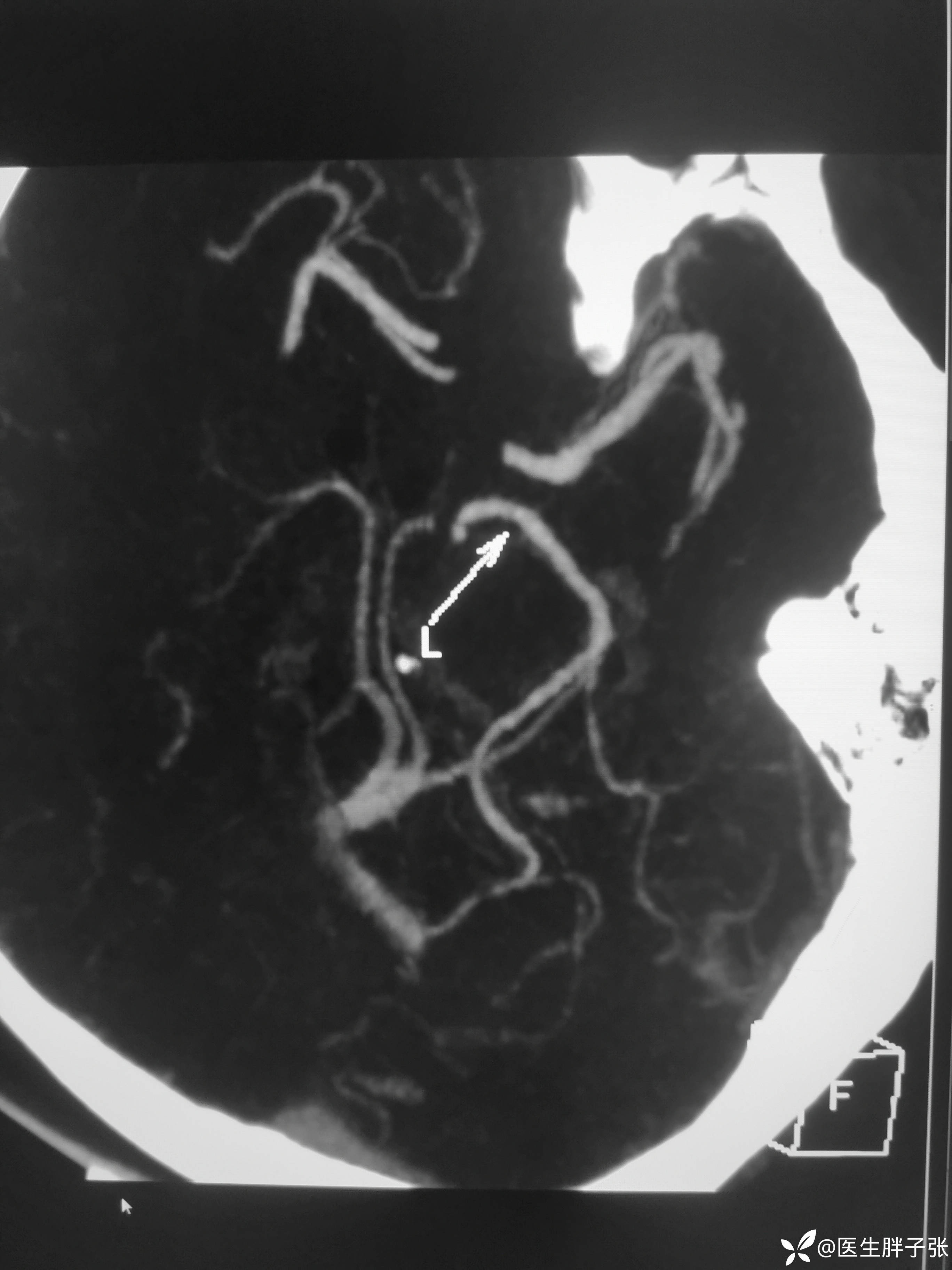
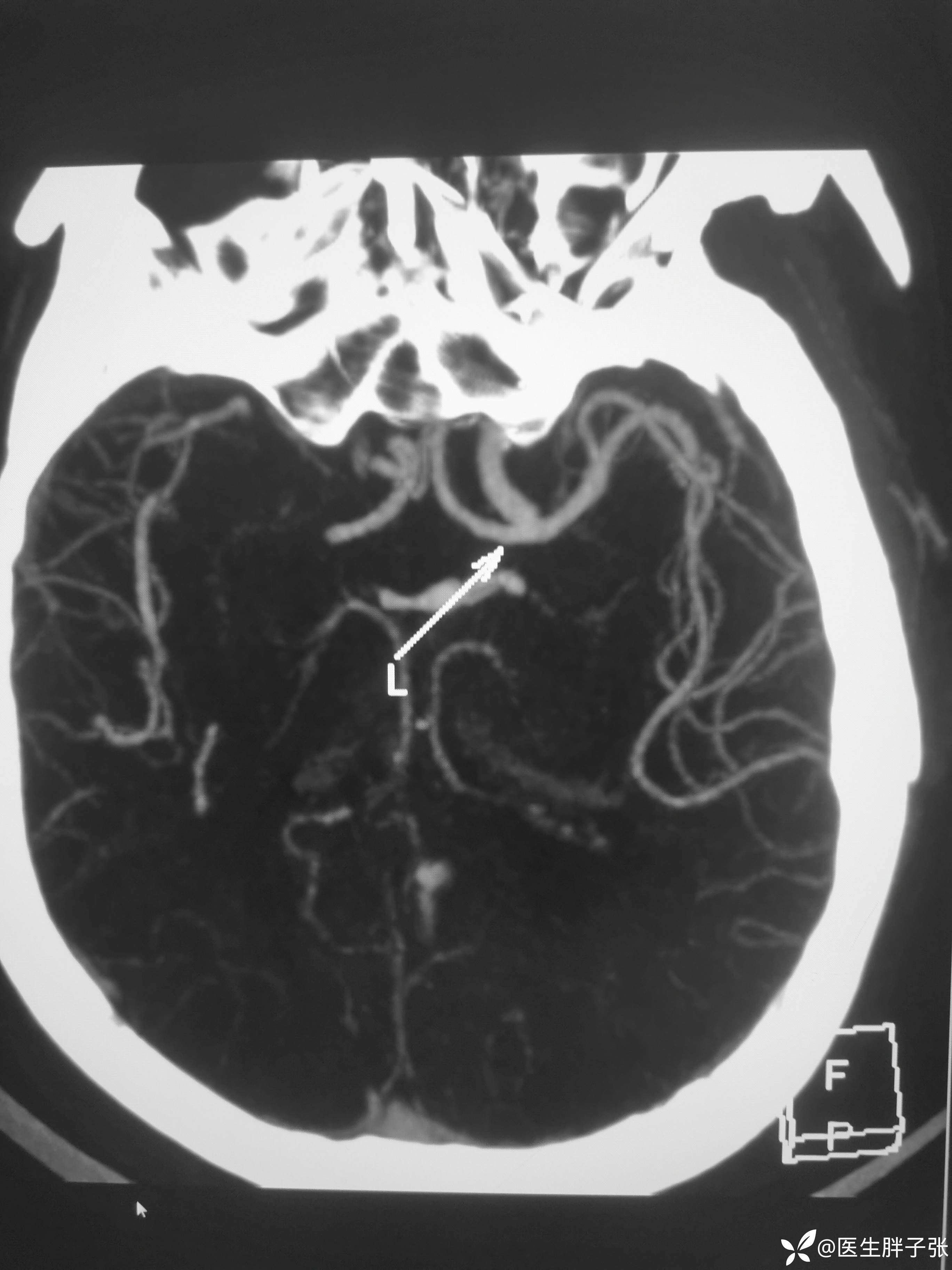
头颈部CTA










RoPE评分:2分。无糖尿病病史+有接近皮层的梗死。
给了双抗、降脂、对症治疗。出院药物:拜阿司匹林+氯吡格雷+阿托伐他汀+苯磺酸氨氯地平
患者出院后4天进行了卵圆孔封堵术。
2024年8月第2次住院
因“左侧偏身麻木无力7天”入院。
患者7天前出现左侧偏身麻木无力,左手握力差,左下肢行走拖曳。
查体:神清,言语欠流利,鼻唇沟对称,伸舌居中,左侧肢体肌力4级,左侧巴彬斯基征(+)。较前次比较新增左侧肢体力弱及左侧病理征阳性。
因卵圆孔封堵术时间短未能完善核磁检查。
处理分析
口服抗板、降脂、降压药物,出院。出院药物:拜阿司匹林+阿托伐他汀+苯磺酸氨氯地平
总结与讨论
不是我管的患者,一直作为旁观者存在。有几个问题。
1.第1次住院为累及右侧前循环和左侧前后循环的新发梗死,右心超声造影存在大量返流,但患者同时存在脑梗死病史、高血压病史、高龄,PFO是梗死的病因吗?
2.RoPE评分2分,你在第1次接诊时会选择封堵治疗吗?
3.第1次出院口服双抗+降脂药物后出现新发梗死,要应用单抗+降脂作为二级预防方案吗?
















































