患者胰十二指肠切除术后4年,伤口渗液1年,如何治疗?
zxxssy 达人已点赞2024年9月27日,我接诊一个来自成都了患者,母子二人昨天从成都飞来佛山;
患者儿子说他把我在丁香园相关帖子,基本上全看了,伤口渗液1年,实在没办法,就来佛山了;
患者68岁,4年前因为胆管恶性肿瘤在华西行胰十二指肠切除术,恢复顺利,但是反复畏寒发热,3年前经皮肝内胆管置管引流后,未再发热;
当时肿瘤未转移,切缘也干净,术后未化疗,多次复查,肿瘤未复发;
1年前,上腹部切口下方肿痛鼓包,CT提示胰腺假性囊肿,穿刺引流,从此引流管旁渗液不愈合;
一周前,再次在当地医院重新放引流管,原引流管口缝合,局部渗液明显,导致腹壁皮肤发红疼痛,引流液检查淀粉酶很高;
查体:腹壁皮肤潮红,局部伤口渗液

这些年体重进行性消瘦,目前60多斤;
手术后出现了糖尿病,肝内胆管每日引流量300ml;
相关生化检查:


分泌物培养结果

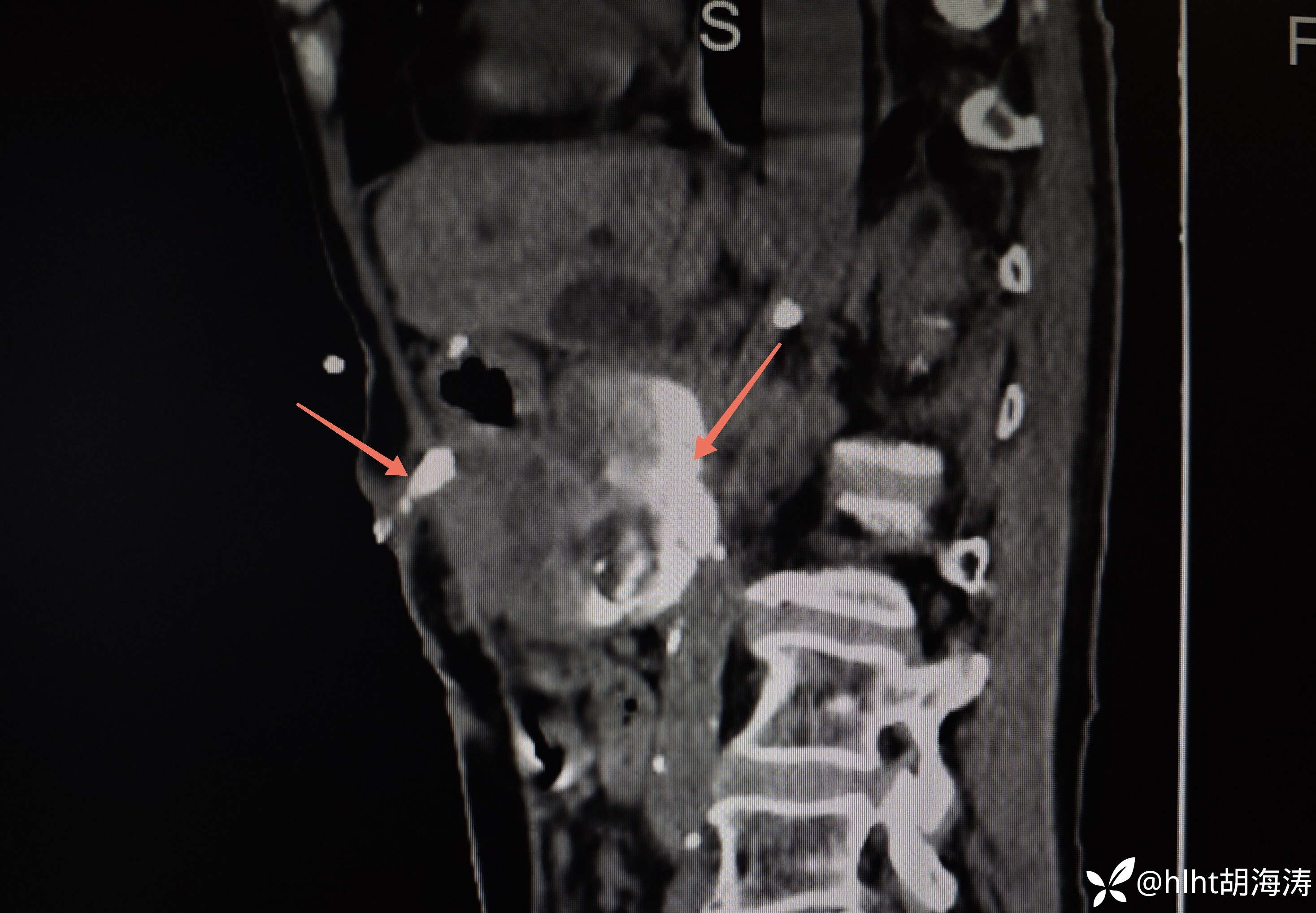
窦道CT:腹壁窦道与胆肠吻和输出袢相通


病史和分泌物淀粉酶很高,诊断胰瘘是肯定的,但手术后3年,出现胰瘘原因?与反复胆道感染是否相关?
患者吃东西有腹泻,考虑与胆汁和胰液外漏有关系;
目前患者重度营养不良,建议留置胃管肠内营养和静脉肠外营养,被拒绝了;
局部负压引流:

间隔2-天更换一次,第三次后引流已经没有液体,改普通换药两天:

再次建议留置胃管,肠内短肽营养支持治疗,被患者拒绝;
思考:患者后续如何治疗?
















































