男性66岁,发热4天入院,检查血白细胞异常增高,白血病或感染?
病例信息
【患者信息】:男, 66 岁,
【主诉】:主因发热4天于2024-09-13 14:38入院
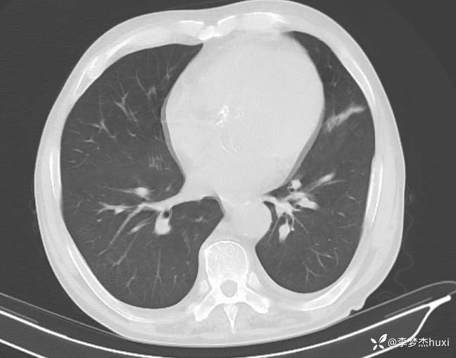
【现病史及既往史】: 1.现病史:患者老年 男,患者缘于入院前4天无明显诱因出现发热,体温最高达39.5℃,偶有咳嗽,伴少量咳痰,为白痰,伴胸闷、憋气,伴喘息,活动后明显,伴腹部胀满,伴呃逆,发热时伴头痛,无头晕,伴周身乏力,无咯血,无鼻塞、流涕,无恶心、呕吐,无腹痛、腹泻,无尿频、尿急、尿痛,无血尿,院外肌注药物治疗(具体不详),发热呈反复性,遂就诊于我院门诊查胸部CT:考虑左肺上叶炎症,双肺纹理增重,主动脉管壁钙化,冠状动脉钙化,双侧胸膜增厚,脾脏增大,肝脏及脾脏周围少量积液。血常规:白细胞数目31.07x109/L,淋巴细胞百分比8.2%,中性粒细胞百分比83.4%,单核细胞数目1.47x109/L,中性粒细胞数目25.93x109/L,红细胞数目2.03x1012/L,血红蛋白67g/L。C-反应蛋白25.47mg/L;SAA152.93mg/L。门诊以“感染性发热”收住院。
2.既往史:既往否认高血压、冠心病、糖尿病等慢性病史,无肝炎、伤寒、结核等传染病史,无外伤史,无手术史,无输血史,预防接种史不详,否认药物、食物过敏史。
【检查】: 查体:T39.6℃,P82次/分,R20次/分,BP140/70mmHg。神清,呼吸平稳,浅表淋巴结无肿大,双肺叩清音,双肺呼吸音查,可闻及湿性啰音,心率82次/分,律齐,无杂音,腹软,无压痛、反跳痛及肌紧张,双下肢无水肿。
【临床诊断】:感染性发热
【治疗经过及结果】: 哌拉西林钠他唑巴坦)、化痰(氨溴索)、平喘(多索茶碱)、抑酸护胃(泮托拉唑)及对症支持治疗。
总结与讨论
什么疾病?
























































