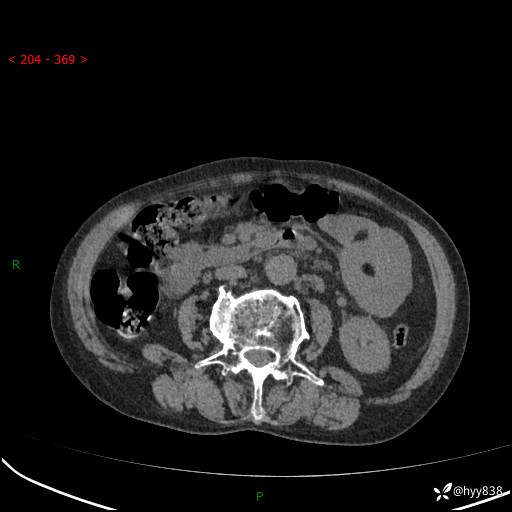
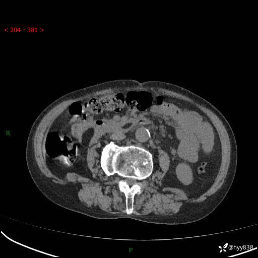
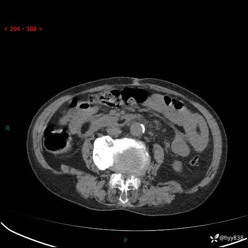
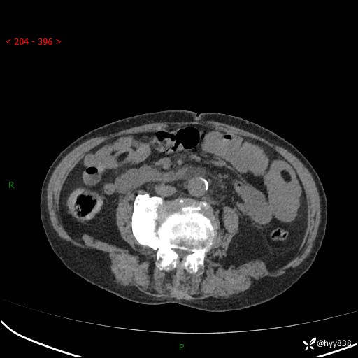
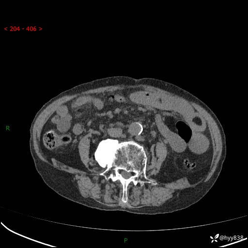
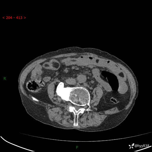
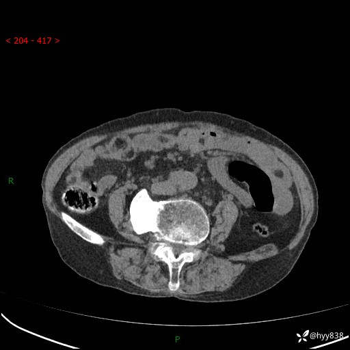
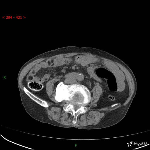
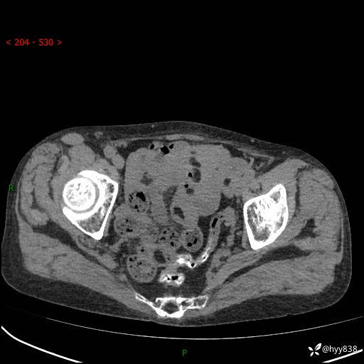
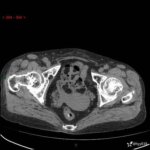
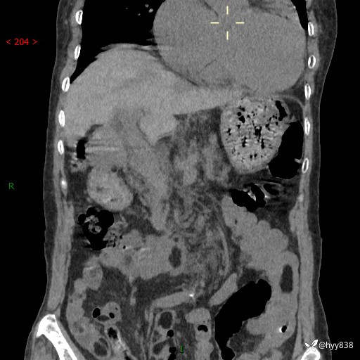
68岁/女,腹痛2月余。第一次见,“富得流油”就是这个样子了---结果公布~
华夏览雄 等 2 位达人已点赞病例信息
性别:女
年龄:68岁
主诉:腹痛2月余
现病史:患者2月余前无明显诱因出现左上腹部隐痛不适,呈阵发性,与进食、活动无明显关系,无腹胀、腹泻,无反酸、烧心、嗳气,无胸骨后疼痛不适,无黑便、血便,无恶心、呕吐,偶感心慌,无胸闷、胸痛、气促不适,无纳差,时感双下肢乏力,无发热,未予以特殊处理,现为求进一步治疗来我院,门诊以“腹痛”收入院。 起病以来,患者精神、饮食、睡眠可,大小便正常,体力体重无明显变化。
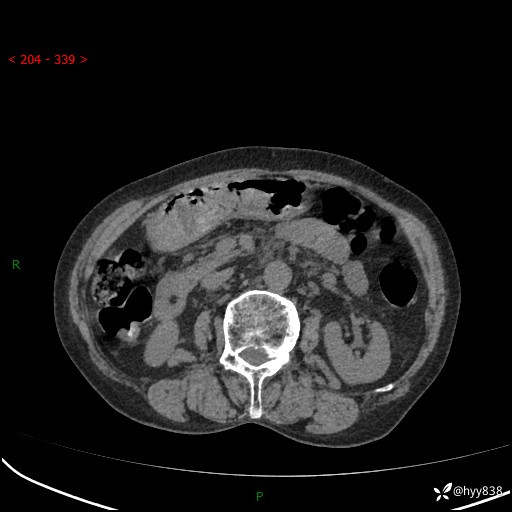
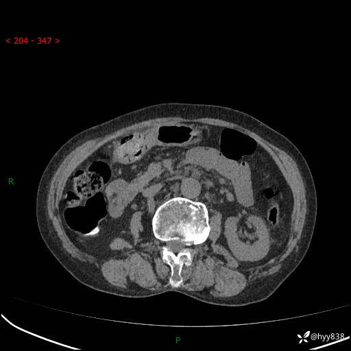
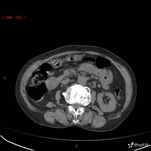
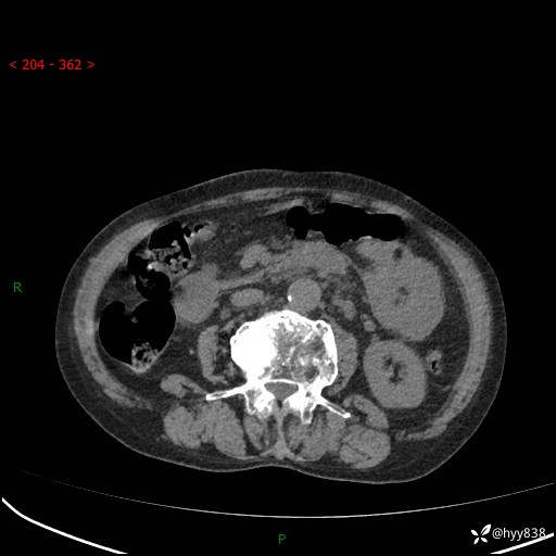
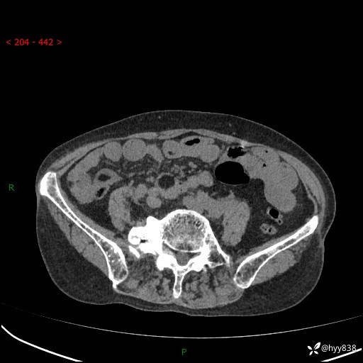
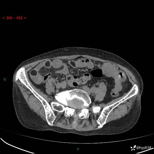
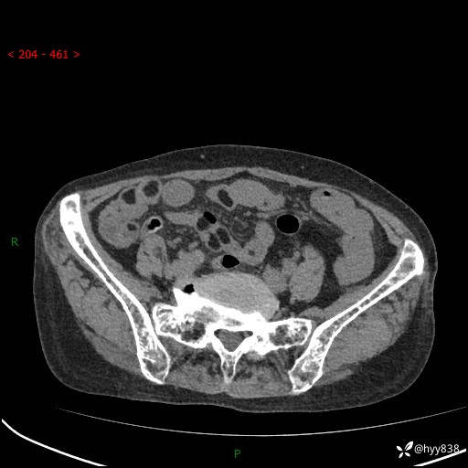
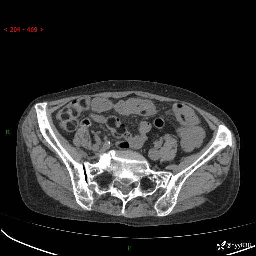
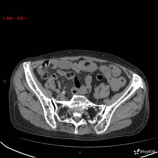
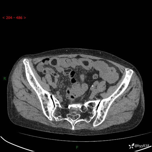
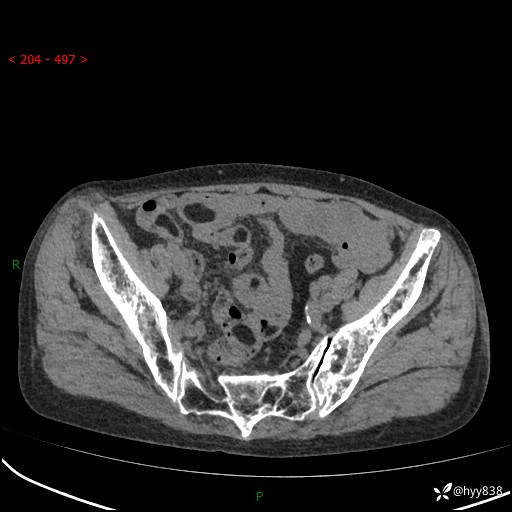
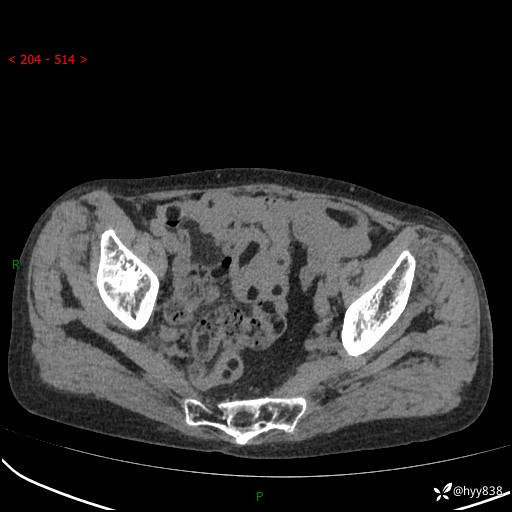
全腹部CT平扫







































































