夜班急诊经典病例分享。老年女性,突发腹痛就诊,请讨论……结果公布~
华夏览雄 达人已点赞性别:女
年龄:77岁
主诉 :腹痛14小时
现病史: 家属诉患者于14小时前出现腹痛,伴有肛门停止排气排便,不伴有畏寒、发热、恶心呕吐、腹泻等不适,患者家属为求进一步治疗,就诊于我院急诊科,门诊以腹痛待查收入院, 起病以来,患者精神、睡眠差,进食少,小便正常,大便未解,近期体力、体重无明显下降。
体格检查:(-)
临床诊断:腹痛
临床治疗:手术
讨论:病变性质?
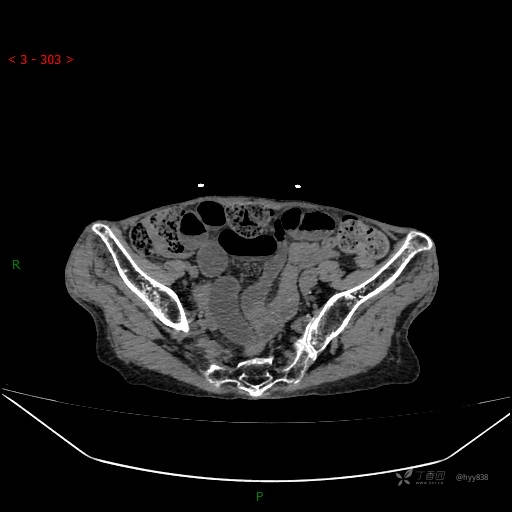
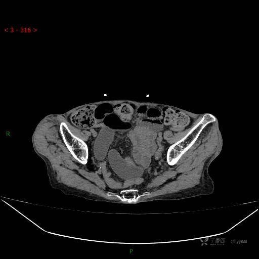
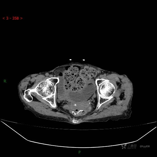
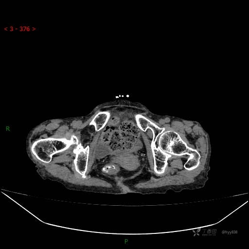
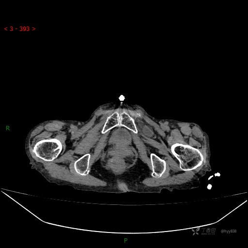
腹部CT平扫











华夏览雄 达人已点赞性别:女
年龄:77岁
主诉 :腹痛14小时
现病史: 家属诉患者于14小时前出现腹痛,伴有肛门停止排气排便,不伴有畏寒、发热、恶心呕吐、腹泻等不适,患者家属为求进一步治疗,就诊于我院急诊科,门诊以腹痛待查收入院, 起病以来,患者精神、睡眠差,进食少,小便正常,大便未解,近期体力、体重无明显下降。
体格检查:(-)
临床诊断:腹痛
临床治疗:手术
讨论:病变性质?
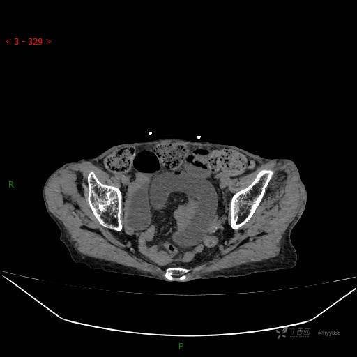
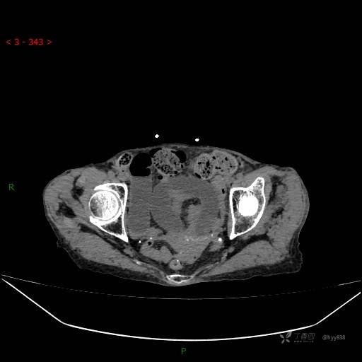
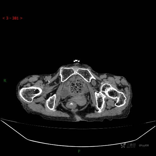
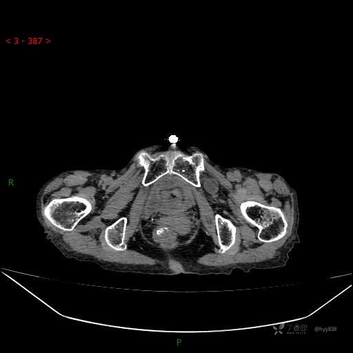
腹部CT平扫











