【心胸】典型病例,中年患者,胸痛就诊,请诊断。
病例信息
患者男,55岁。
主诉:“胸痛”3小时。
现病史:患者3时前无诱因出现前胸撕裂样疼痛,并伴下颌部,后背等部位疼痛,持续不缓解,遂至我院急诊外科就诊。
查体关键信息:T39.2℃,BP181/115mmHg,主动脉瓣听诊区闻及舒张期杂音,四肢血压明显不对称。入院时患者高热、痛苦面容、胸闷气短。
既往史:“应激性胃炎”10年余。
收入抢救室,完善ddi:8942ng/ml。
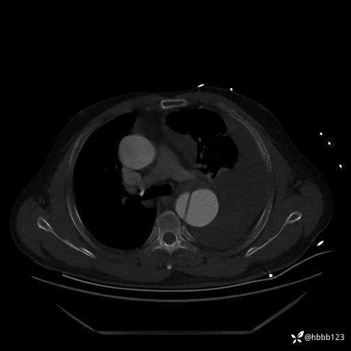
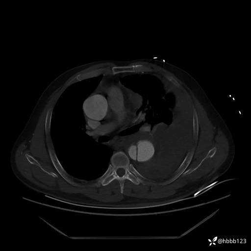
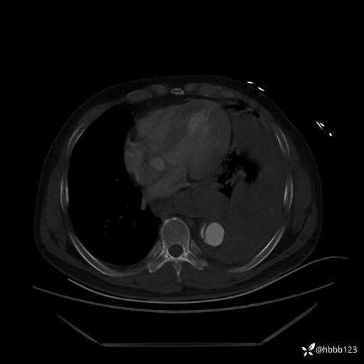
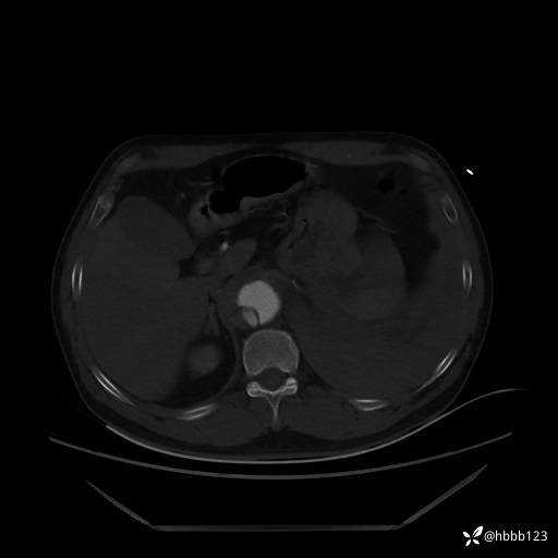
急查胸腹主动脉CTA:
(为方便观察,调至骨窗)





显然是____?
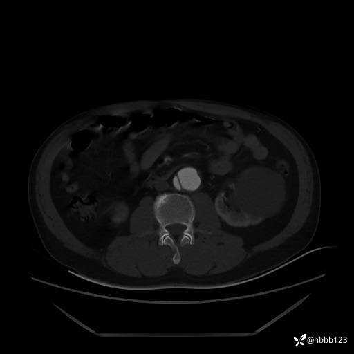
病例信息
患者男,55岁。
主诉:“胸痛”3小时。
现病史:患者3时前无诱因出现前胸撕裂样疼痛,并伴下颌部,后背等部位疼痛,持续不缓解,遂至我院急诊外科就诊。
查体关键信息:T39.2℃,BP181/115mmHg,主动脉瓣听诊区闻及舒张期杂音,四肢血压明显不对称。入院时患者高热、痛苦面容、胸闷气短。
既往史:“应激性胃炎”10年余。
收入抢救室,完善ddi:8942ng/ml。
急查胸腹主动脉CTA:
(为方便观察,调至骨窗)





显然是____?
