10月特别精彩病例|咳嗽伴胸痛2月余,难度系数★★★★★|病理已公布
患者性别:女
患者年龄:53岁
简要病史:咳嗽伴胸痛2月余
实验室检查:CRP:16.3mg/L↑,癌抗原125 61.0U/mL↑、其余肿瘤标志物(-);血沉:26.00mm/h↑、免疫球蛋白+补体+lgG4(血清):补体C1q287mg/L↑、血液隐球菌抗原检测:隐球菌抗原阴性
胸水常规+细菌涂片(胸水):颜色黄色、性状微混、有核细胞2140x10^6/L、红细胞3040x10^6/L、李凡他试验阳性↑、中性粒细胞8%、淋巴细胞90%、间皮细胞1%、异常细胞1%。胸水生化(胸水):总蛋白46.5g/L、乳酸脱氢酶146U/L、葡萄糖8.71mmol/L、腺苷脱氨酶15U/L、CEA(胸水):癌胚抗原5.5ng/mL↑
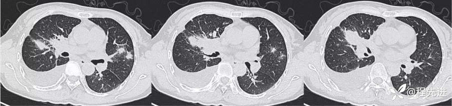
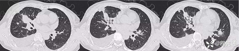
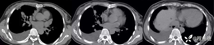
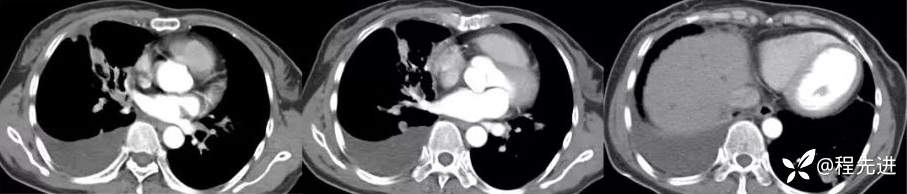
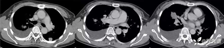
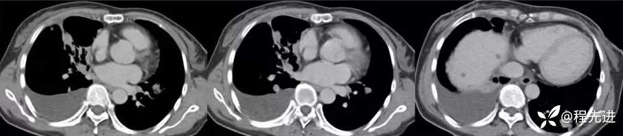
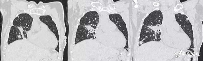
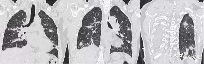
CT平扫:
肺窗


纵隔窗


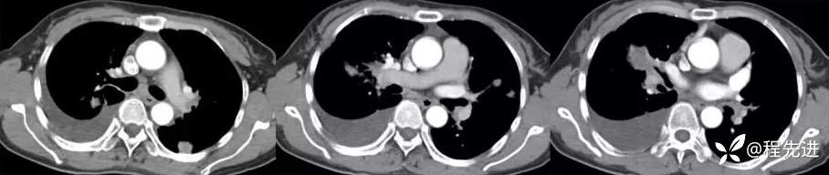
增强动脉期


增强静脉期


肺窗冠状位重建

















































