不一样的精彩!老年女性胸痛就诊,多次检查,请分析诊断~~~
患者性别:女
患者年龄:71岁
主诉: 发现血糖高4年余,乏力、憋气7天,加重2天。
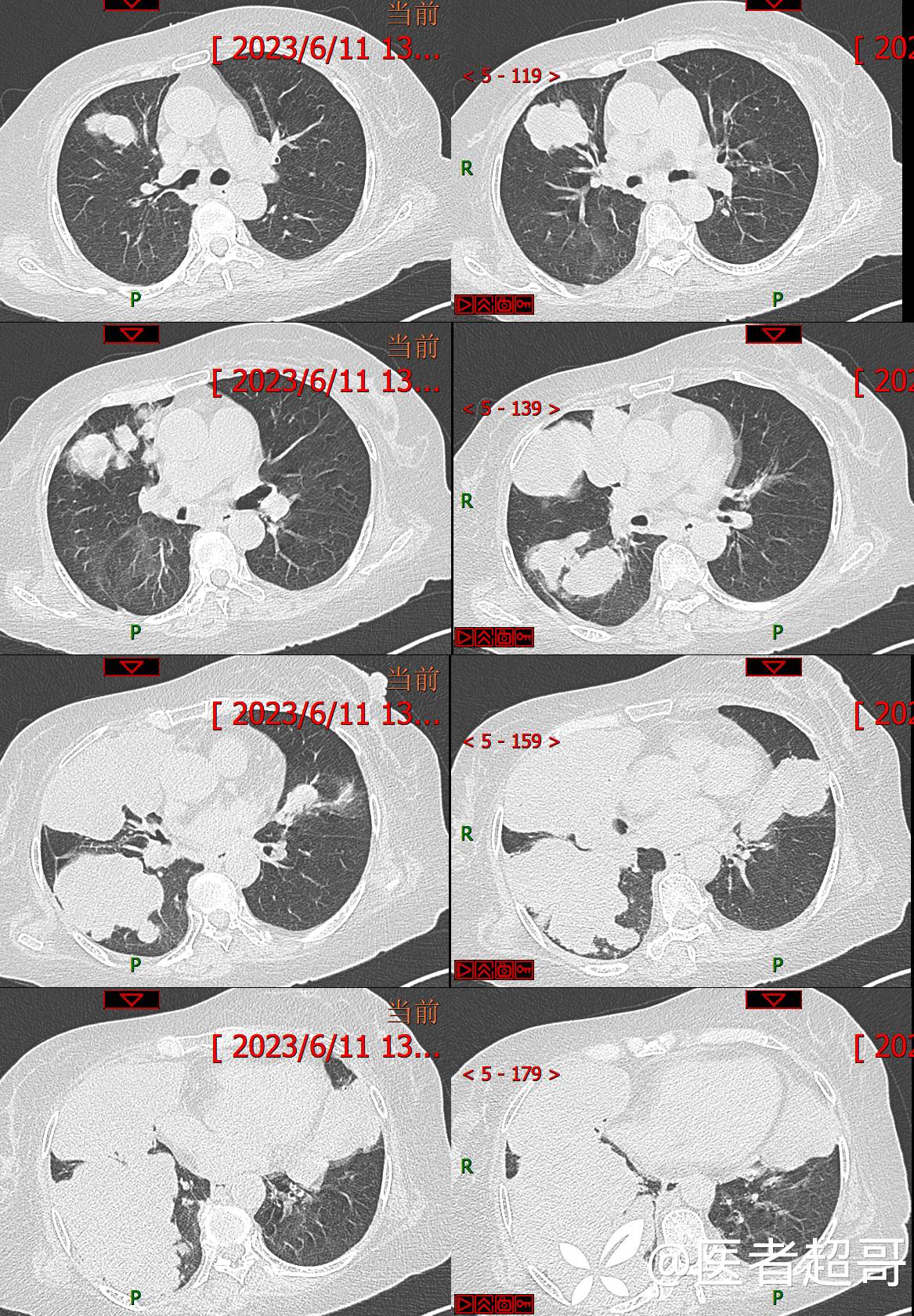
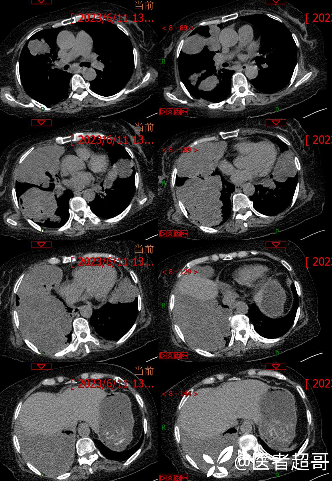
现病史:患者于4年前在神经内科住院期间监测血糖高,随机血糖29.4mmol/l,经治疗好转出院,出院诊断“锥体外系反应 2型糖尿病 感冒”,院外自行口服“二甲双胍 2片 bid,格列吡嗪胶囊 1粒 bid”降糖治疗,平素未规律监测血糖。约3年前感四肢麻木不适,无明显疼痛,无肢体活动障碍,未特殊治疗。7天前出现乏力、憋气不适,伴有流清涕,无发热、寒战,咳嗽不著,有痰不易咳出,食欲减退,无腹痛、腹泻,无恶心、呕吐,患者发病后于当地诊所就诊,监测血糖偏高(具体数值不详),给予输液治疗(具体药物不详),效果欠佳,2天前感乏力、憋气加重,今急来诊,急诊完善胸部CT平扫示:双肺多发肿瘤表现,纵膈淋巴结肿大,心包少量积液,建议三周后复查除外隐匿性骨折;血糖32mmol/l,为求进一步诊疗,门诊以“糖尿病”收入我院。
患者约4天前不慎摔倒,诉右胸部疼痛不适为著,未见明显皮肤破损。
既往史:既往身体素质一般。无病毒性肝炎病史,无结核传染病史及密切接触史,无高血压病史,无冠心病病史,无脑血管病史,曾患右侧前庭大腺脓肿、子宫肌瘤病史,于2020-10-30日行前庭大腺脓肿切开引流术,具体不详。无重大外伤史,无输血史,无药物过敏史。无食物过敏史。预防接种史随当地计划免疫。
个人史:生于本地。无外地居住史。无工业毒物、粉尘及放射性物质接触史。平日生活规律,无吸烟嗜好,无饮酒嗜好,无冶游史。
婚姻史:已婚。26岁结婚,配偶体健。


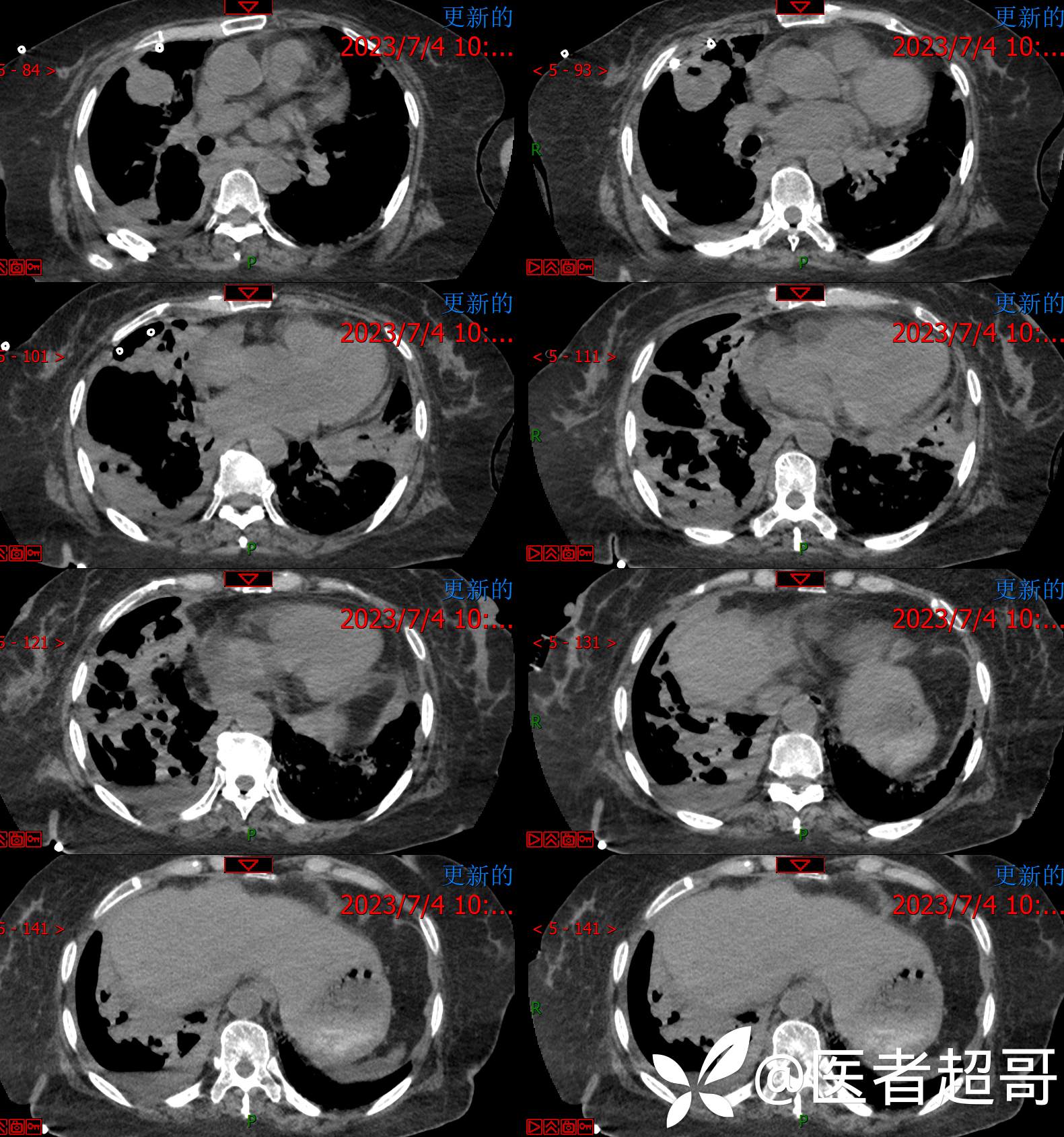
3天后增强检查视频:




2023.07.04检查:


















































