dxy logo
首页丁香园病例库全部版块
搜索
登录

胸痛就诊,请分析,领丁当!

影像核医学版版主 · 发布于 2023-07-02 · IP 山东山东
796 浏览
推荐、达人点赞 2 项荣誉
这个帖子发布于 2 年零 146 天前,其中的信息可能已发生改变或有所发展。

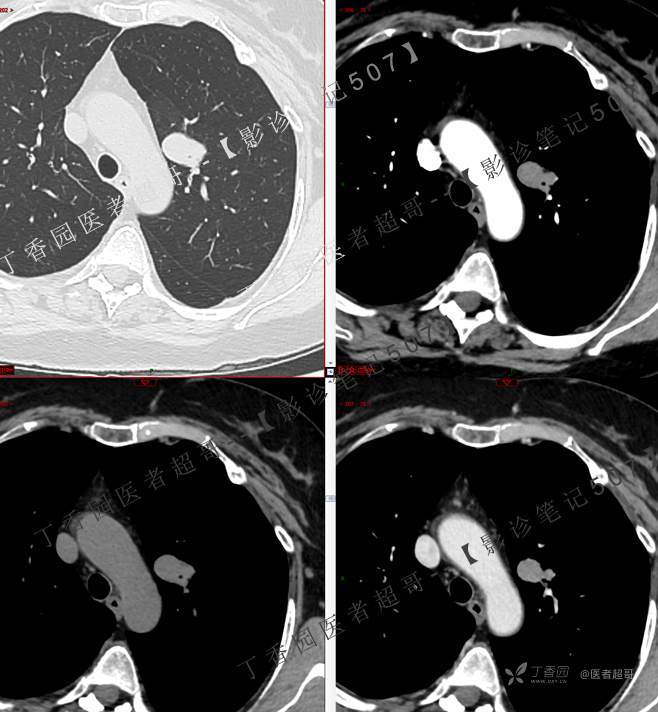
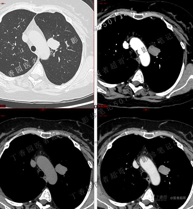
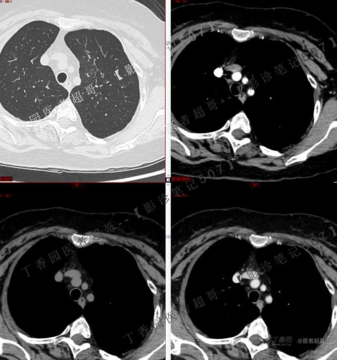
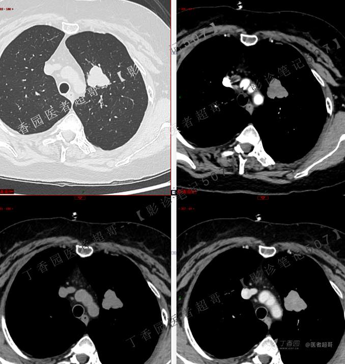
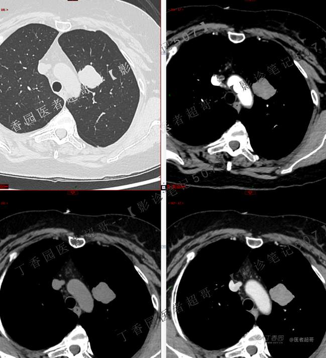
患者性别:女

患者年龄:50岁

简要病史:患者4月余前出现无明显诱因及病因出现胸痛,无咳嗽咳痰等表现。

img
img
img
img
img
img
img
img
img
img
小细胞肺癌 (54)
纠错
31 6 8
同行评议(0)
已评议
不开通精选
开通精选
精选已授权,待上线
评议结果暂未公布
参与评议
去邀请
NaN
病例完整NaN
临床实用NaN
诊疗科学NaN
学术价值NaN

全部讨论(0)

默认最新
avatar
31
分享帖子
share-weibo分享到微博
share-weibo分享到微信
认证
返回顶部