dxy logo
首页丁香园病例库全部版块
搜索
登录

【影诊笔记574】胸痛就诊检查,发现双肺多发高密度,请赏析!

影像核医学版版主 · 发布于 2023-12-04 · IP 山东山东
4503 浏览
icon程先进 等 2 位达人已点赞
这个帖子发布于 1 年零 355 天前,其中的信息可能已发生改变或有所发展。

患者性别:女

患者年龄:47岁

主诉:胸痛就诊

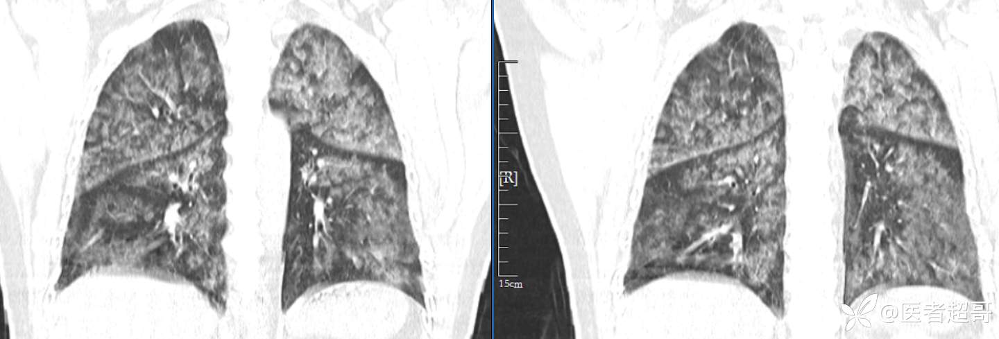
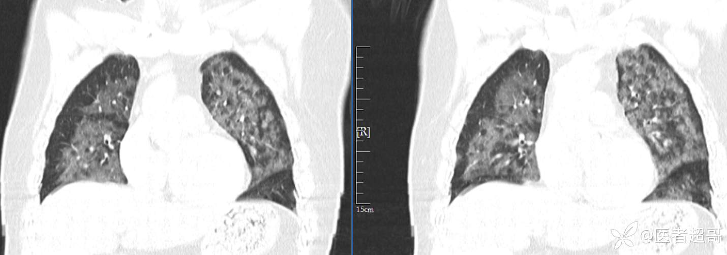
简要病史:因“胸痛就诊”,行冠脉CTA检查,数小时后出现高热,伴畏寒寒战、气喘,暗红色泡沫样痰。

img
img
img
img
img
img
img
急性肺水肿 (17)
纠错
112 10 19
同行评议(0)
已评议
不开通精选
开通精选
精选已授权,待上线
评议结果暂未公布
参与评议
去邀请
NaN
病例完整NaN
临床实用NaN
诊疗科学NaN
学术价值NaN

全部讨论(0)

默认最新
avatar
112
分享帖子
share-weibo分享到微博
share-weibo分享到微信
认证
返回顶部