【心胸】特别精彩病例|胸痛1个月
李梦杰huxi 等 3 位达人已点赞病例信息
患者性别:男
患者年龄:36岁
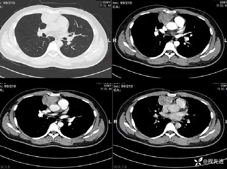
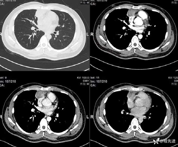
主诉:胸痛1个月
现病史:患者1月前偶有胸痛,行胸部CT检查提示前纵隔占位性病变。病来饮食睡眠可,二便正常,体重无明显变化。


期待您的点赞支持!
期待您的精彩解读!
李梦杰huxi 等 3 位达人已点赞病例信息
患者性别:男
患者年龄:36岁
主诉:胸痛1个月
现病史:患者1月前偶有胸痛,行胸部CT检查提示前纵隔占位性病变。病来饮食睡眠可,二便正常,体重无明显变化。


期待您的点赞支持!
期待您的精彩解读!
