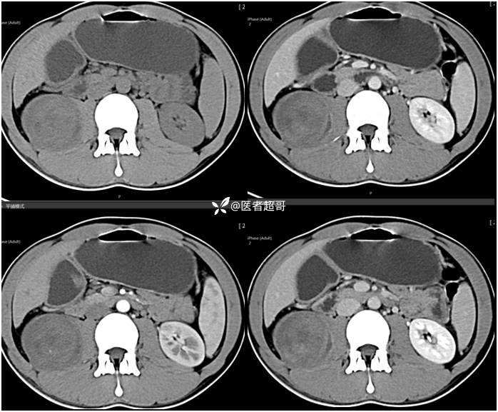
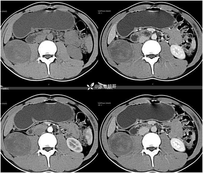
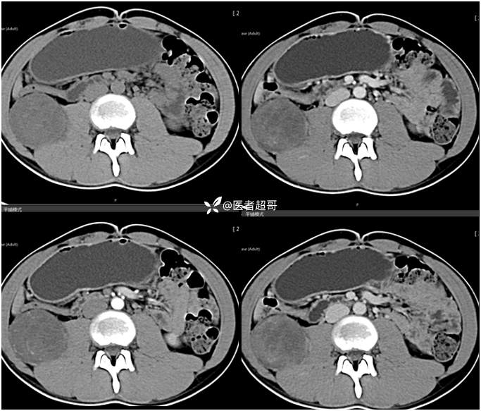
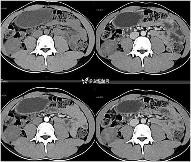
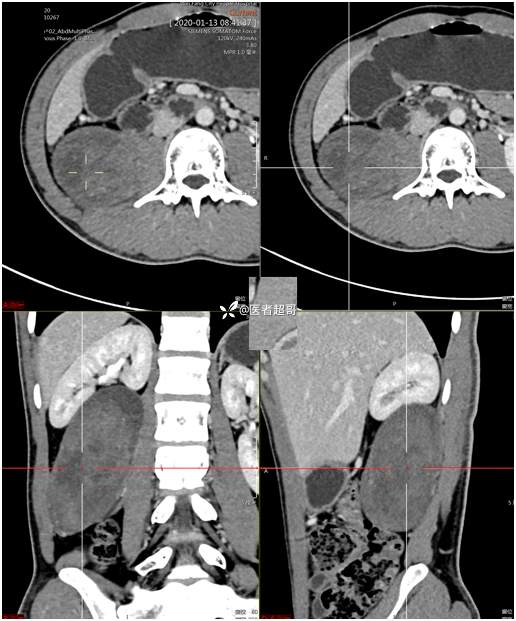
【影诊笔记754】腰痛就诊,腹膜后实性占位,请诊断分析!
华夏览雄 等 2 位达人已点赞男,21岁
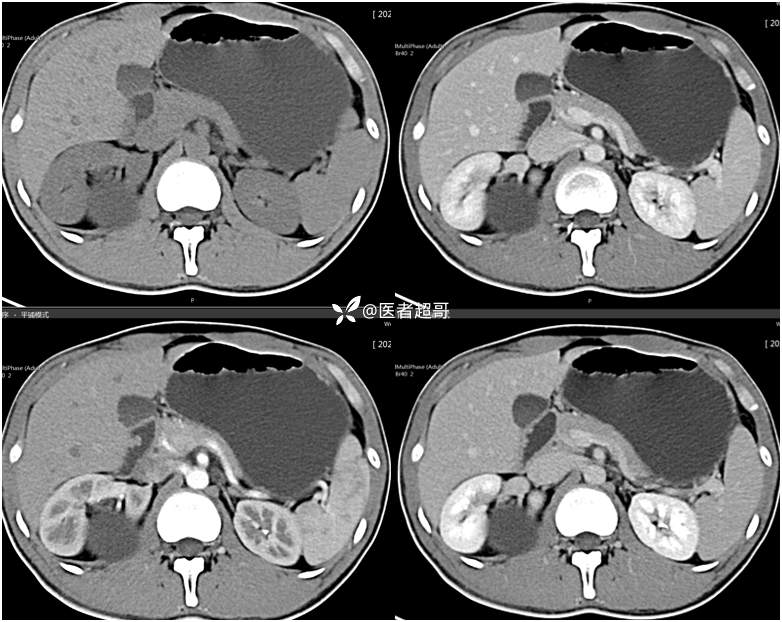
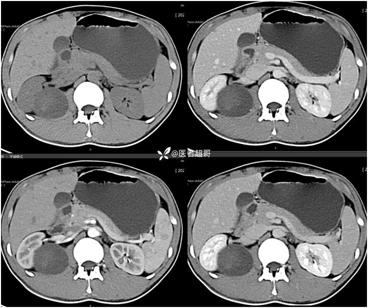
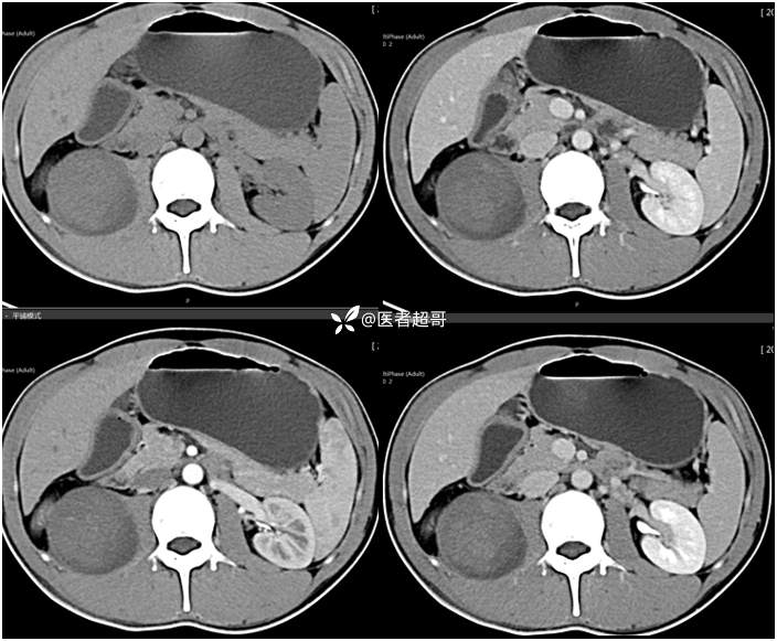
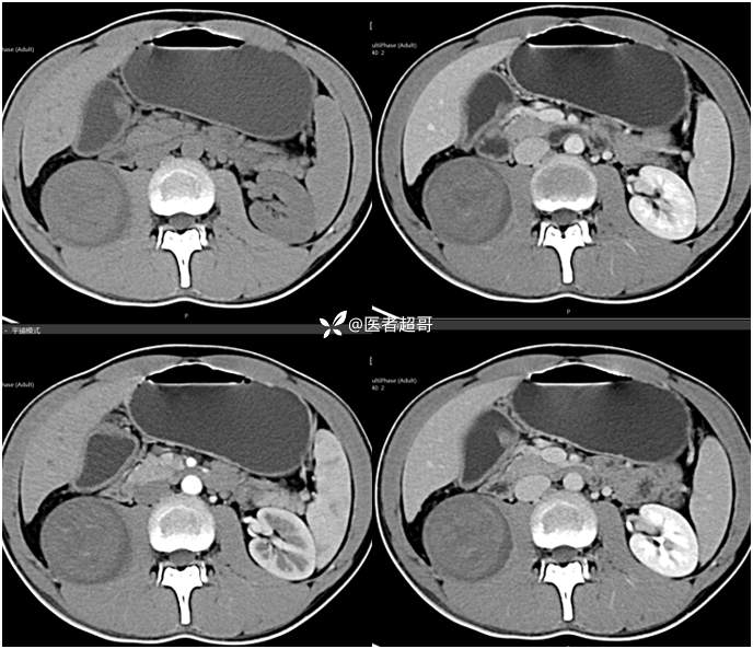
主 诉:腰痛2月。
现病史:患者2月前无明显诱因出现腰背部疼痛,夜间为著。患者无头痛、头晕,无恶心、呕吐,无胸闷、憋气,无腹痛、腹胀。无尿频、尿急、尿痛等现象。患者在院外未作特殊治疗。为求进一步诊疗,来我院肾内科门诊就诊。门诊行双肾、输尿管、膀胱(前列腺)彩超提示:腹膜后实性占位。患者遂来我科就诊。我科以“腰痛”收治入院,患者自发病以来,神志清,精神可,饮食可,睡眠差。小便如上述,大便未见明显异常。体重无明显增减。
既往史:既往体健,否认高血压、糖尿病、心脑血管病等疾病史,否认肝炎、结核或其他传染病史及密切接触史,预防接种史不详,否认药物及食物过敏史,否认外伤史,否认手术史,否认输血史,其它无特殊。




























































