典型病例134:诊断需谨慎--被腰痛掩盖的髋关节病变
患者男性,33岁。
主诉:腰痛伴右下肢无力、麻木1月余,加重2天。
现病史:患者自诉入院前1月出现腰部疼痛伴右下肢无力、麻木,腰痛呈困痛,间歇性发作。腰部活动未见受限。每次劳累及久站、久坐后症状加重,夜间平躺休息后可缓解。2天前在家劳累后上述症状加重,在家休息未见缓解,今日为求进一步诊治,遂就诊于针灸科门诊,门诊以“腰椎间盘突出症”收住入院。
查体:

既往史:此次就诊前,曾在某诊所以“腰椎间盘突出症”针灸治疗一月。
治疗措施:手术治疗。
入院查腰椎MRI:


症状+影像+习惯性思维=诊断腰椎间盘突出症顺理成章
查体-习惯性思维=???
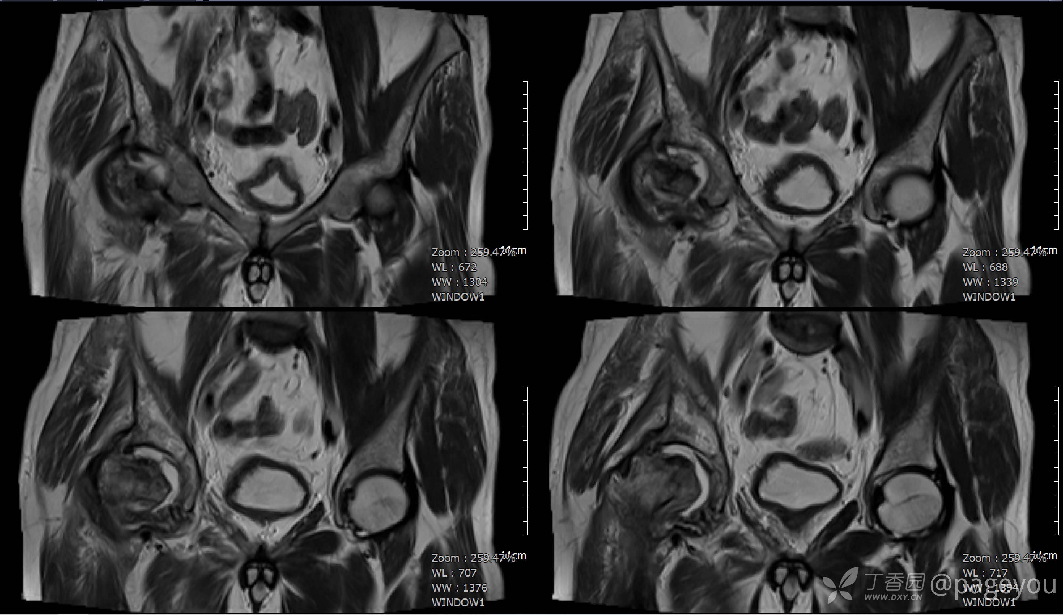
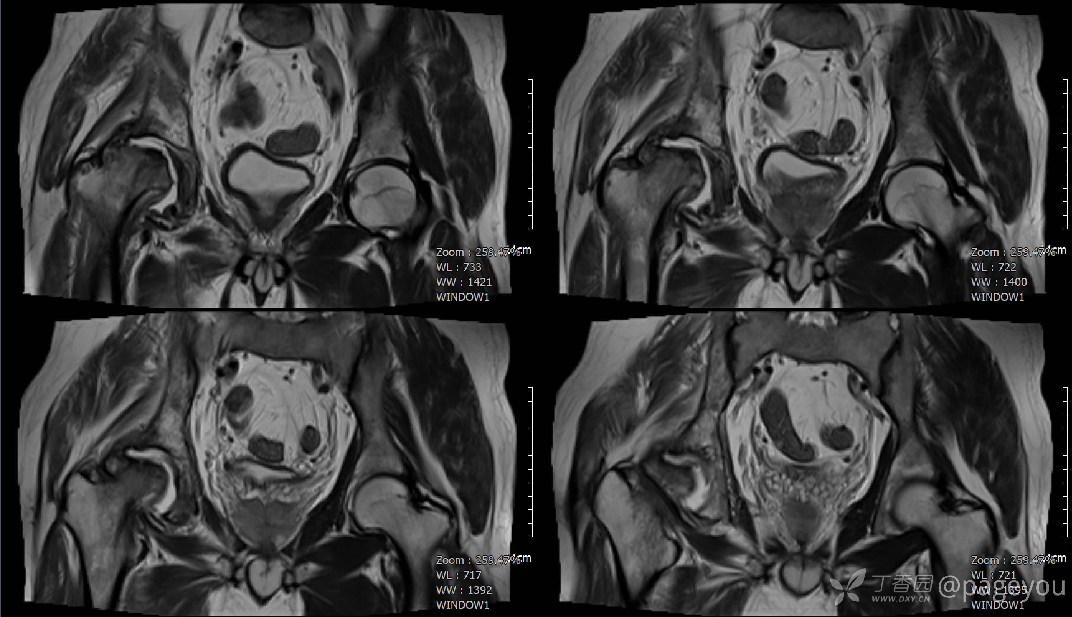
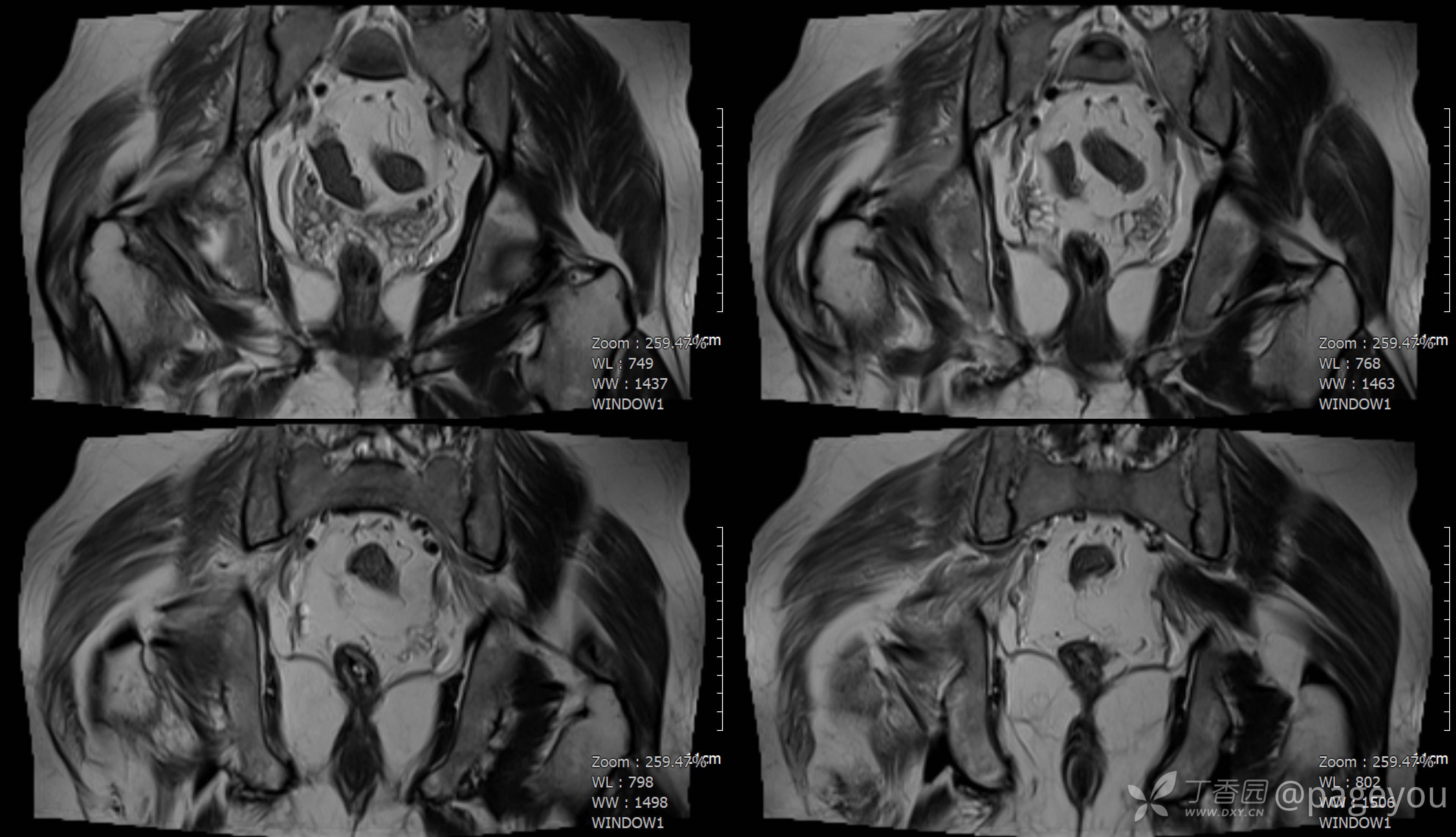
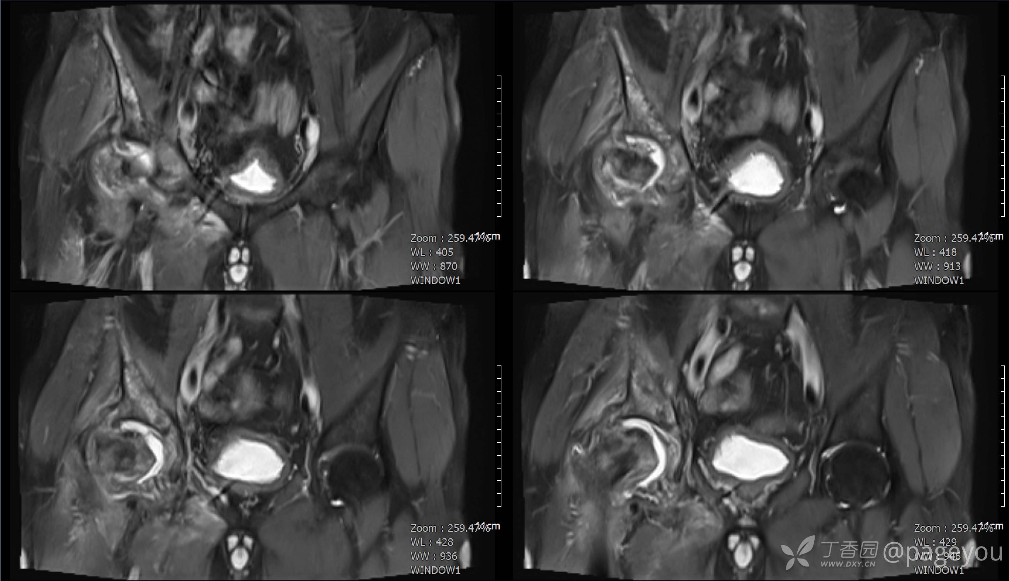
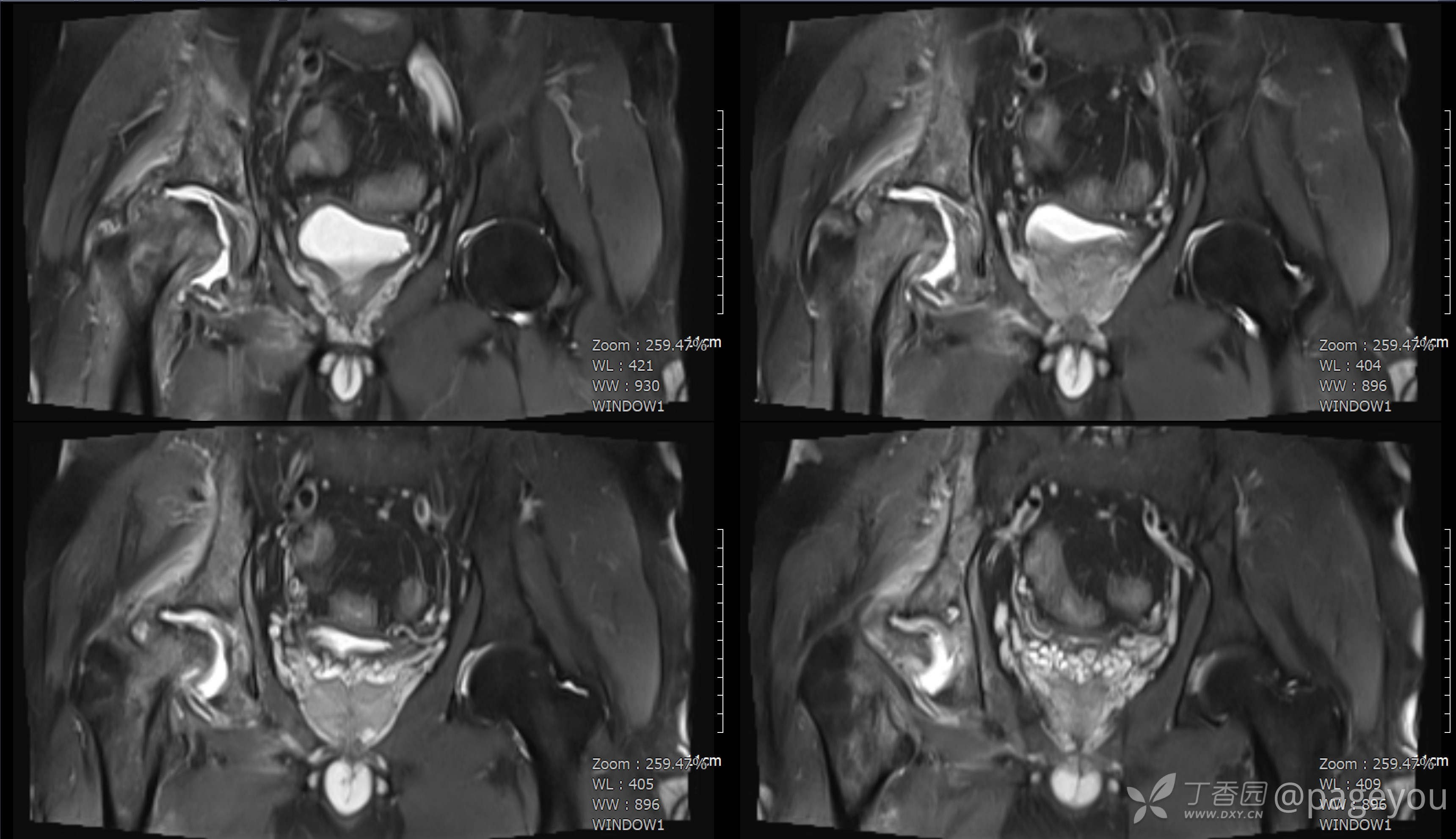
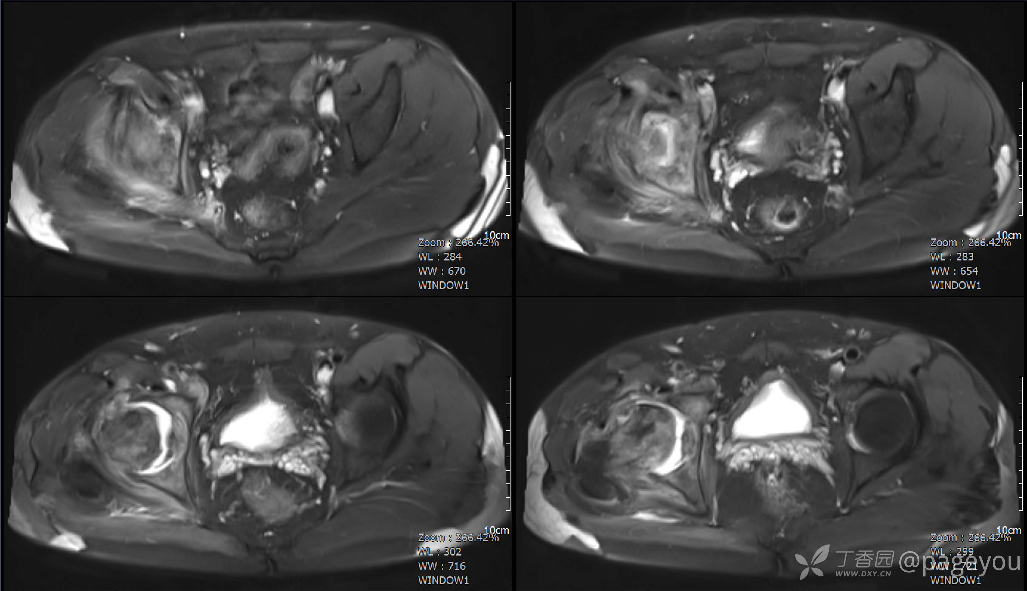
查骨盆MRI:





























































