晨读好病例分享|腰痛偶然发现,重在分析,结果公布~
患者性别:女
患者年龄:68岁
主诉:发现肺部占位4天
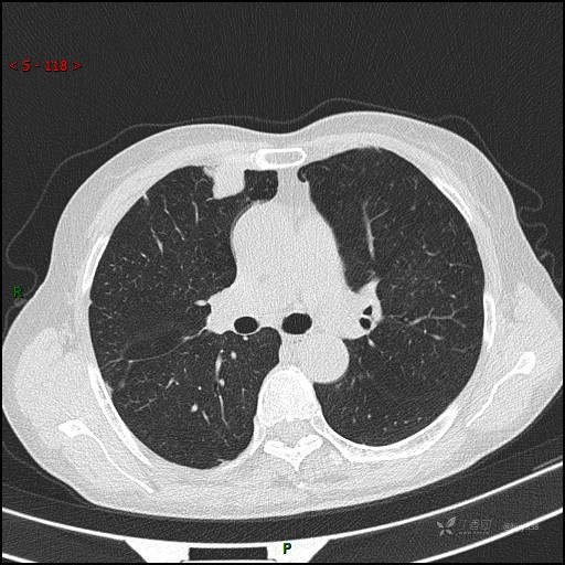
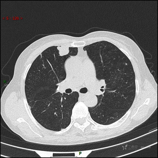
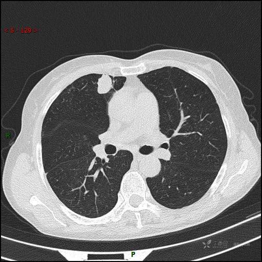
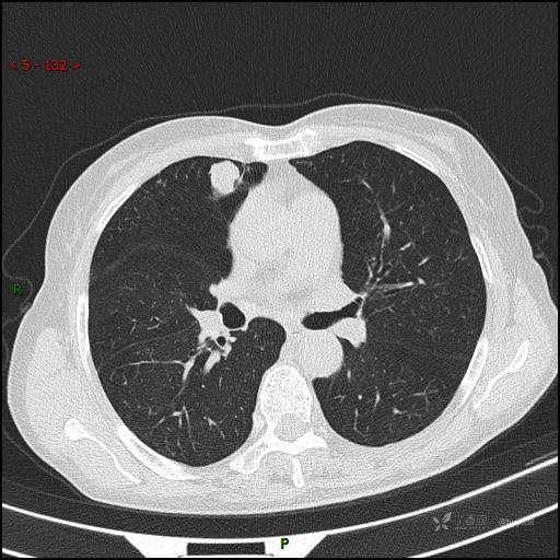
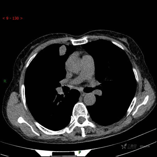
简要病史:者4天前因腰痛于当地人民医院就诊,住院期间完善检查,胸部CT提示:左肺上叶及右肺上叶结节,考虑肿瘤性病变可能,建议进一步检查;予以消炎镇痛、活血化瘀、抑酸护胃、营养神经等对症治疗。现患者为求至上级医院进一步治疗,遂来我院,门诊以“肺占位性病变”收入我科。 病程中,患者精神、饮食、睡眠欠佳,大小便如常,体力体重无明显变化。
体格检查:(-)
辅助检查:CT
临床诊断:占位
治疗经过:---
讨论:病变性质?
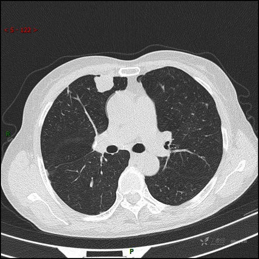
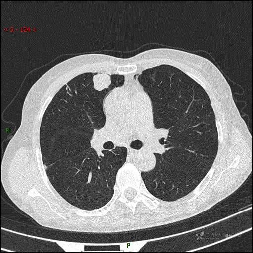
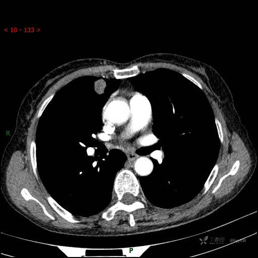
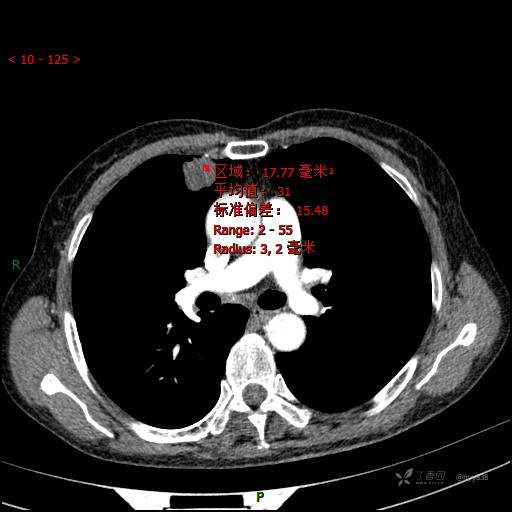
胸部CT平扫










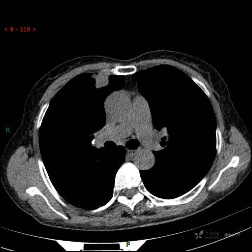
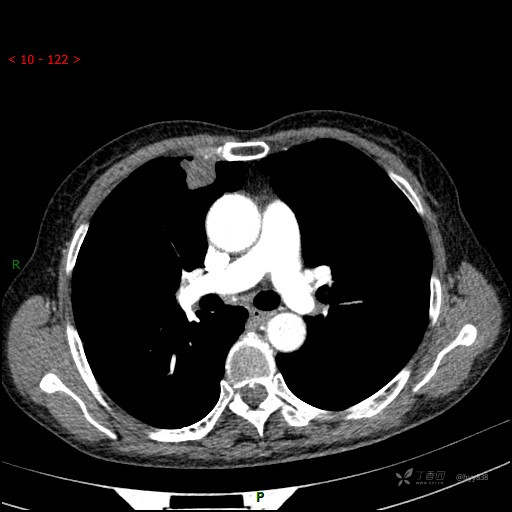
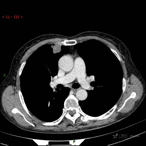
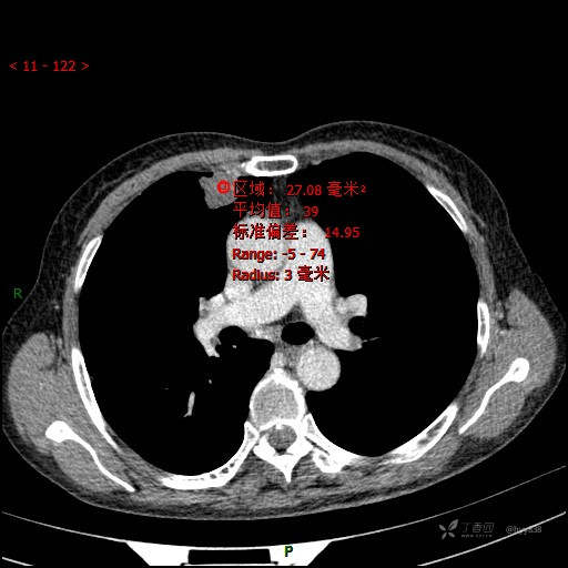
增强动脉期




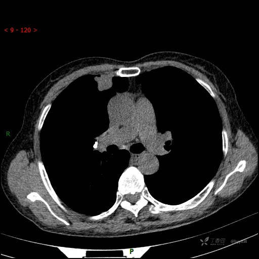
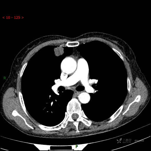
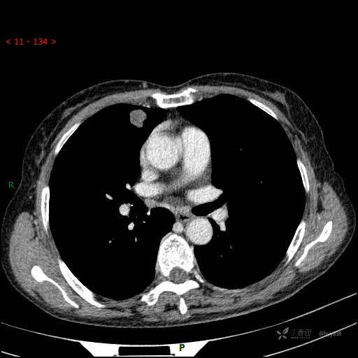
静脉期




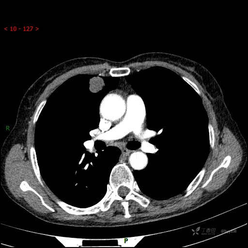
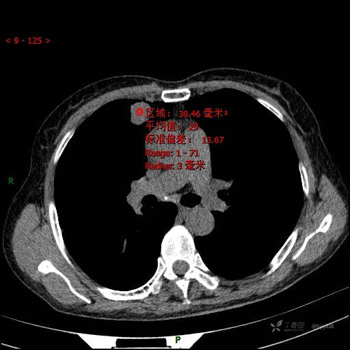
CT值


















































