腰痛按腰椎间盘诊治多年,影像检查却有意外发现,难度系数★★★☆---结果公布~
患者性别:女
患者年龄:48岁
主诉:腰背痛5年余,加重伴右下肢麻木1年。
简要病史:患者5年前无明显诱因出现腰背部及右下肢疼痛,自觉为牵扯样酸胀痛,主要集中在右下肢后外侧,不伴下肢麻木,无明显间歇性跛行,曾间断在门诊行局部神经阻滞治疗、口服中药等,疼痛可部分缓解。近1年来,症状明显加重,出现右会阴部及右下肢麻木,久站久坐加重,平卧休息减轻。小便时阴部麻木不适,大便不畅,且自觉肛门坠胀。门诊以“腰椎间盘突出”收入我科。 患者发病以来,精神饮食可,睡眠可,二便欠佳,体力体重未见改变。
体格检查:(-)
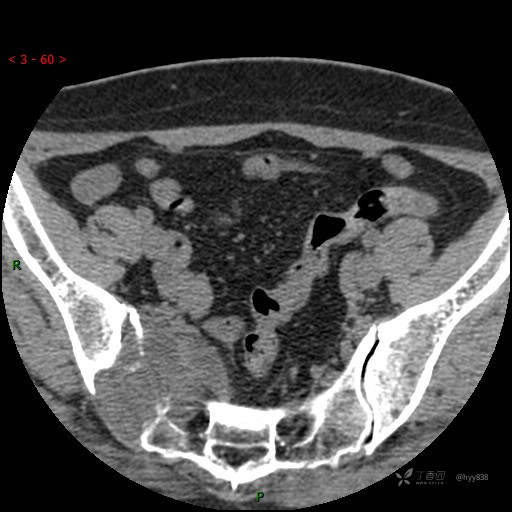
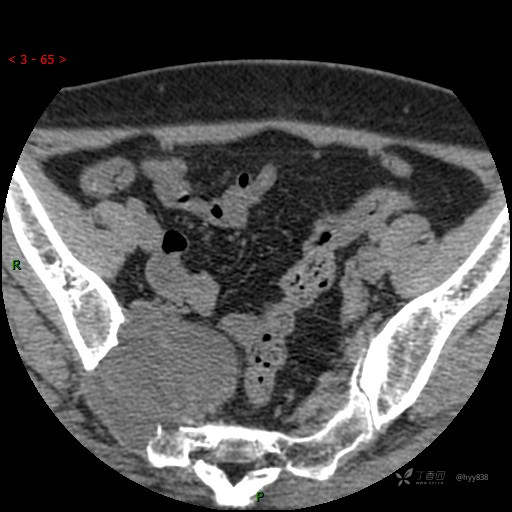
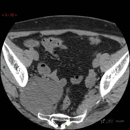
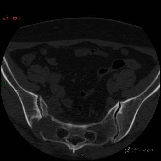
辅助检查:CT MRI
临床诊断:腰痛
治疗经过:手术
讨论:病变性质?鉴别诊断?
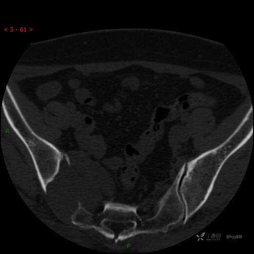
骶髂关节CT平扫

















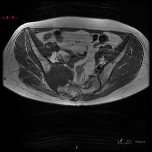
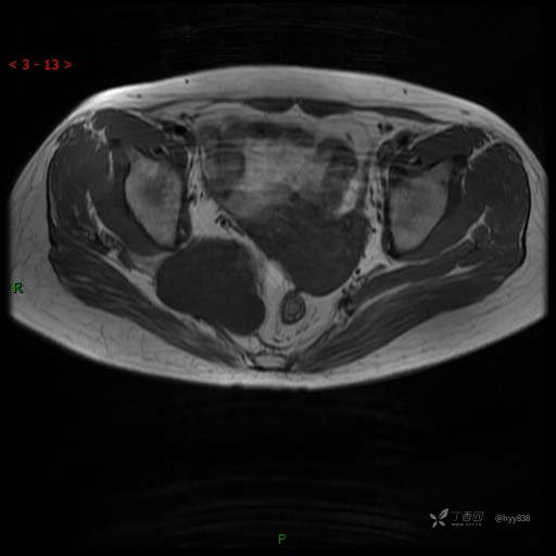
MRI平扫(axi T1WI+T2WI-fs)










T2WI cor


















































