大年三十︱年轻女性,饮酒后突发腰痛,很意外---结果公布~
患者性别:女
患者年龄:29岁
主诉:右侧腰部疼痛2天
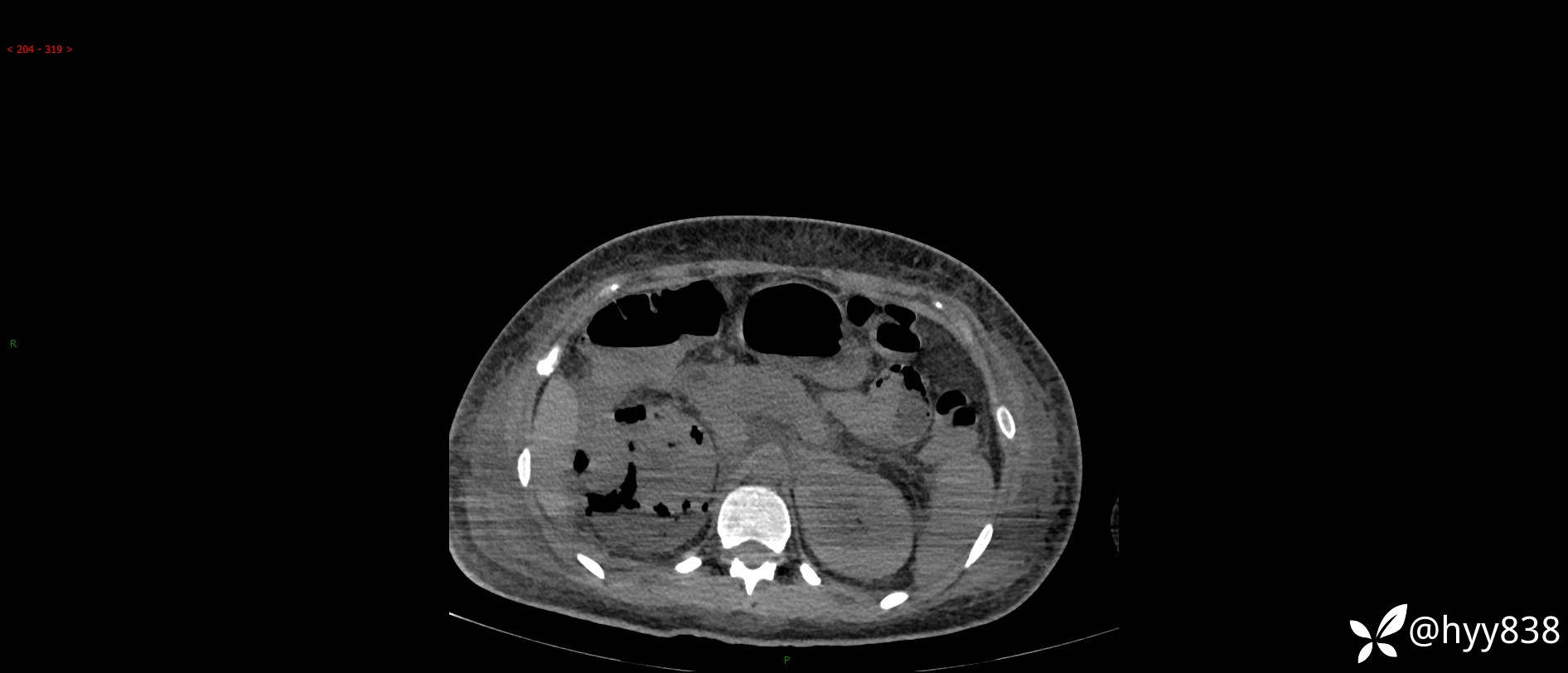
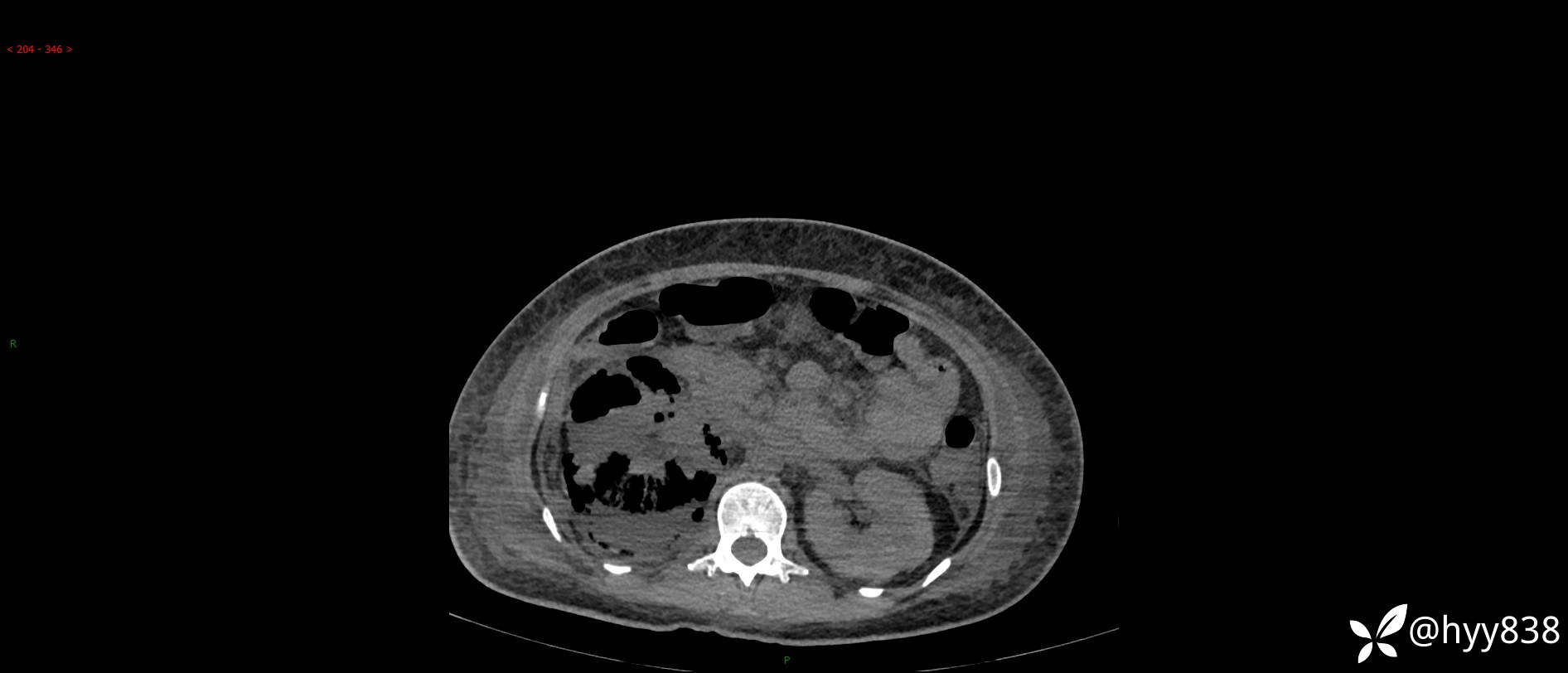
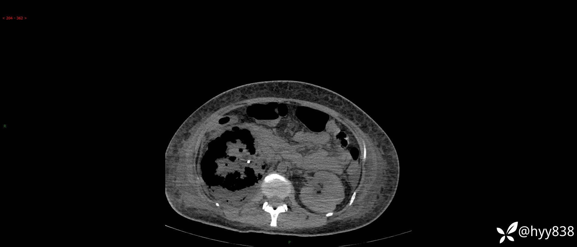
简要病史:患者2天前和朋友聚餐饮酒时出现右侧腰部疼痛不适,呈间断性胀痛,伴发热、呕吐,无头晕、心慌、胸闷等不适,不伴有尿频、尿急、尿痛等症,院外与当地诊所输液对症治疗症状未见明显改善,今来我院急诊就诊全腹部CT自阅片考虑右肾周围炎,现患者为寻求进一步就诊,来我科就诊,我科以“右肾周围炎”收治入院。 起病以来,患者精神、饮食、睡眠可,大小便正常,体力体重无明显减轻。
体格检查:(-)
辅助检查:CT
临床诊断:肾周围炎
治疗经过:---
讨论:病变性质?
肾脏CT平扫




































































