老年女性,腰痛不适就诊。少见病例,信号特征或许是一丝线索,请分析--结果公布~
患者性别:女
患者年龄:60岁
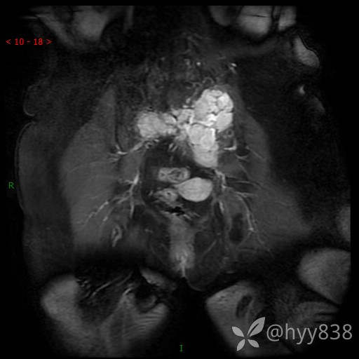
简要病史:腰部疼痛不适,当地人民医院CT示骶骨骨质破坏并髂骨累及
体格检查:(-)
辅助检查:MRI
临床诊断:骶骨骨质破坏
治疗经过:biopsy
讨论:病变性质?
骨盆MRI平扫(T1WI+T2WI+DWI)(外院CT,不能上传)













CE










患者性别:女
患者年龄:60岁
简要病史:腰部疼痛不适,当地人民医院CT示骶骨骨质破坏并髂骨累及
体格检查:(-)
辅助检查:MRI
临床诊断:骶骨骨质破坏
治疗经过:biopsy
讨论:病变性质?
骨盆MRI平扫(T1WI+T2WI+DWI)(外院CT,不能上传)













CE










