dxy logo
首页丁香园病例库全部版块
搜索
登录

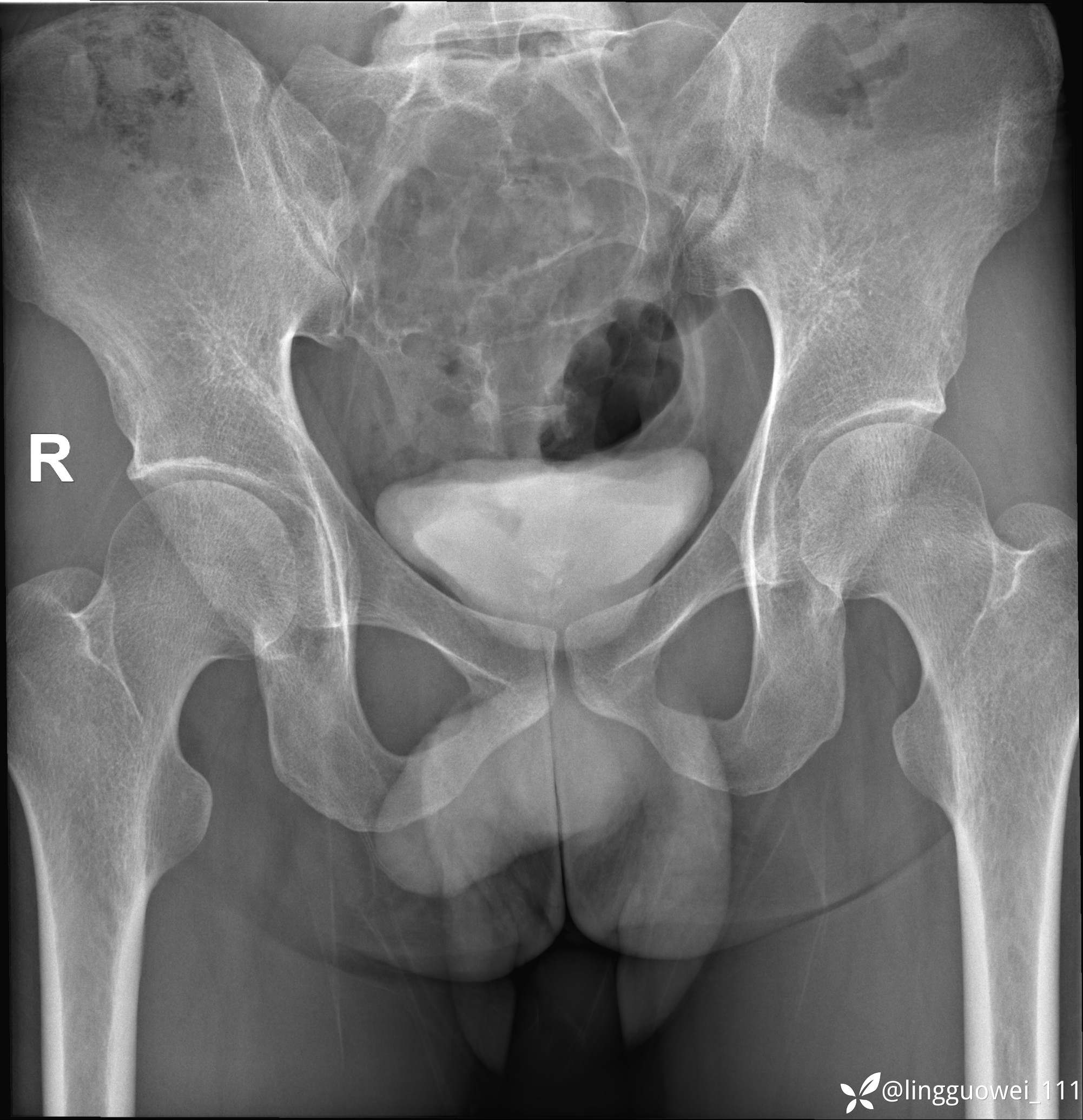
病例男,25岁,腰痛4年,加重左下肢痛5天来诊,发现骶椎骨质破坏,X光,CT,MR全。

影像核医学版版主 · 发布于 2024-05-11 · IP 广东广东
2457 浏览
推荐、达人点赞 2 项荣誉
这个帖子发布于 1 年零 197 天前,其中的信息可能已发生改变或有所发展。

病例信息

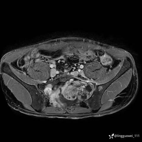
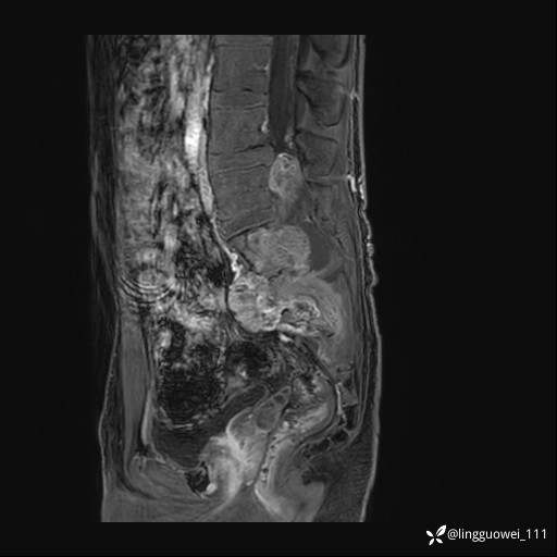
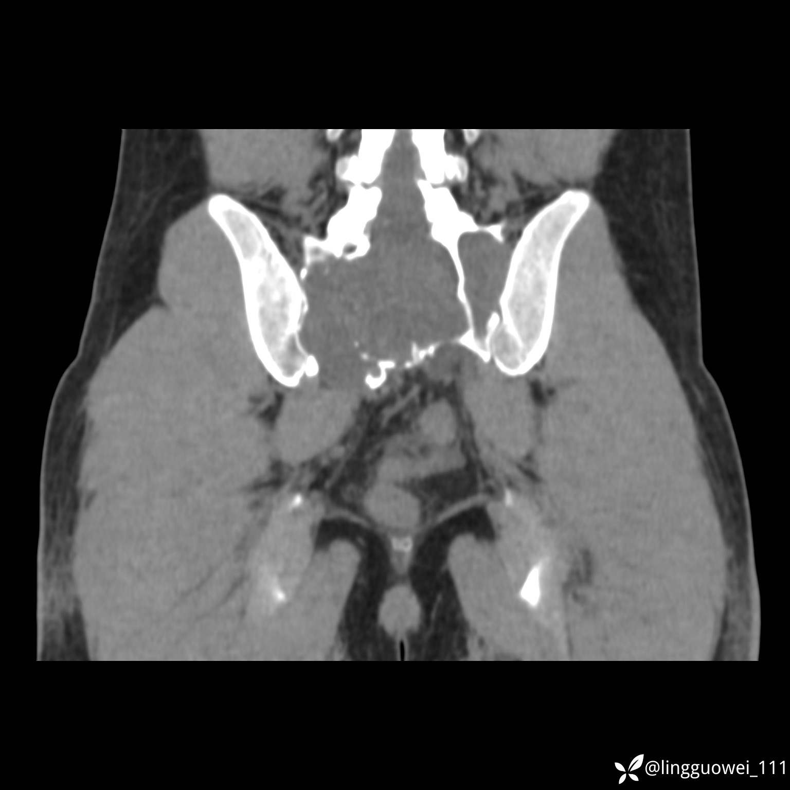
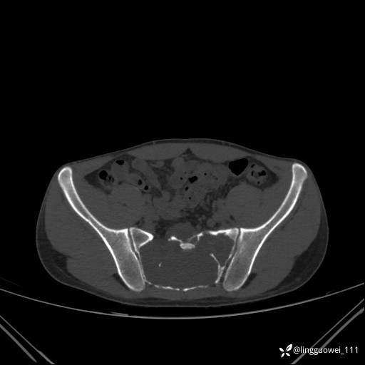
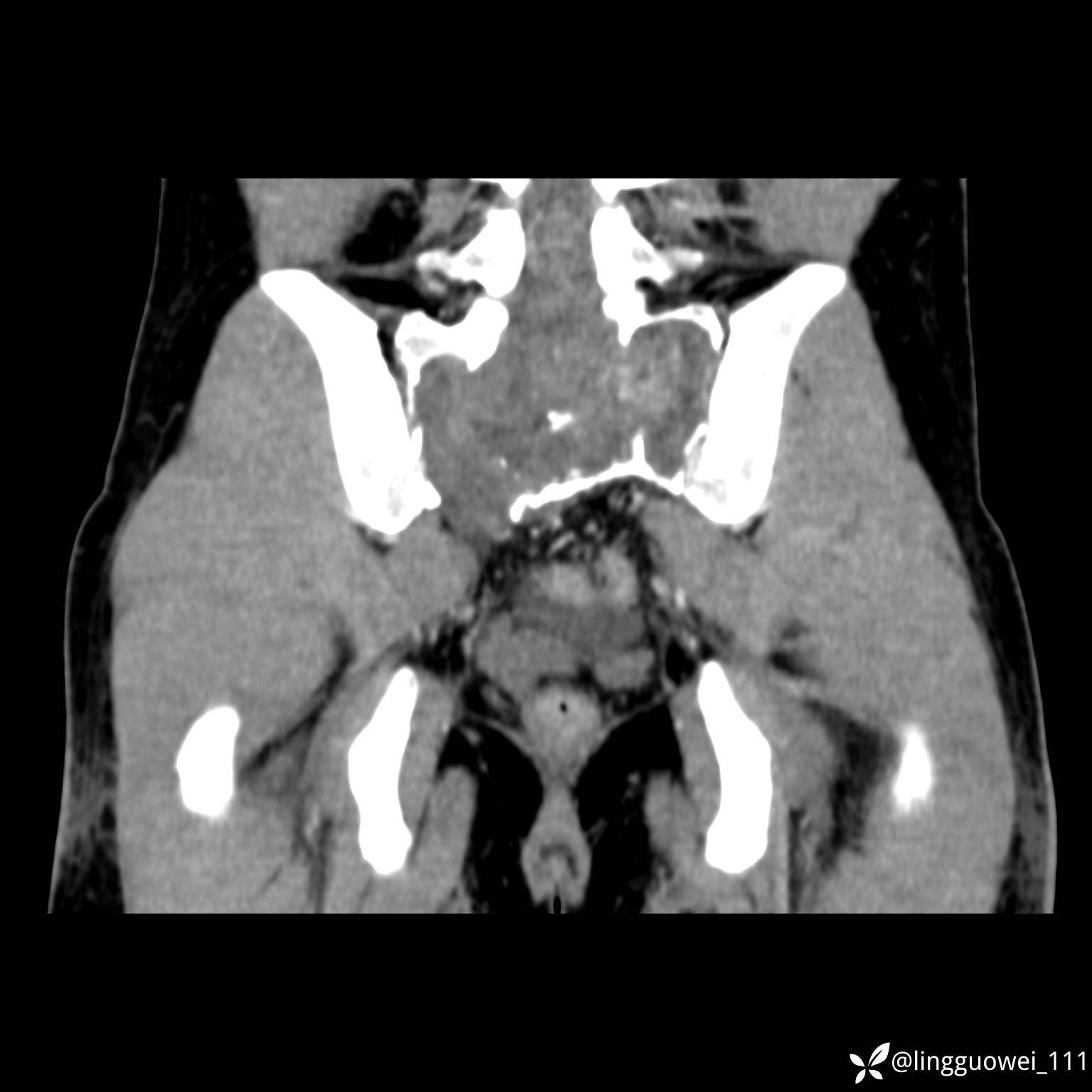
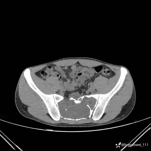
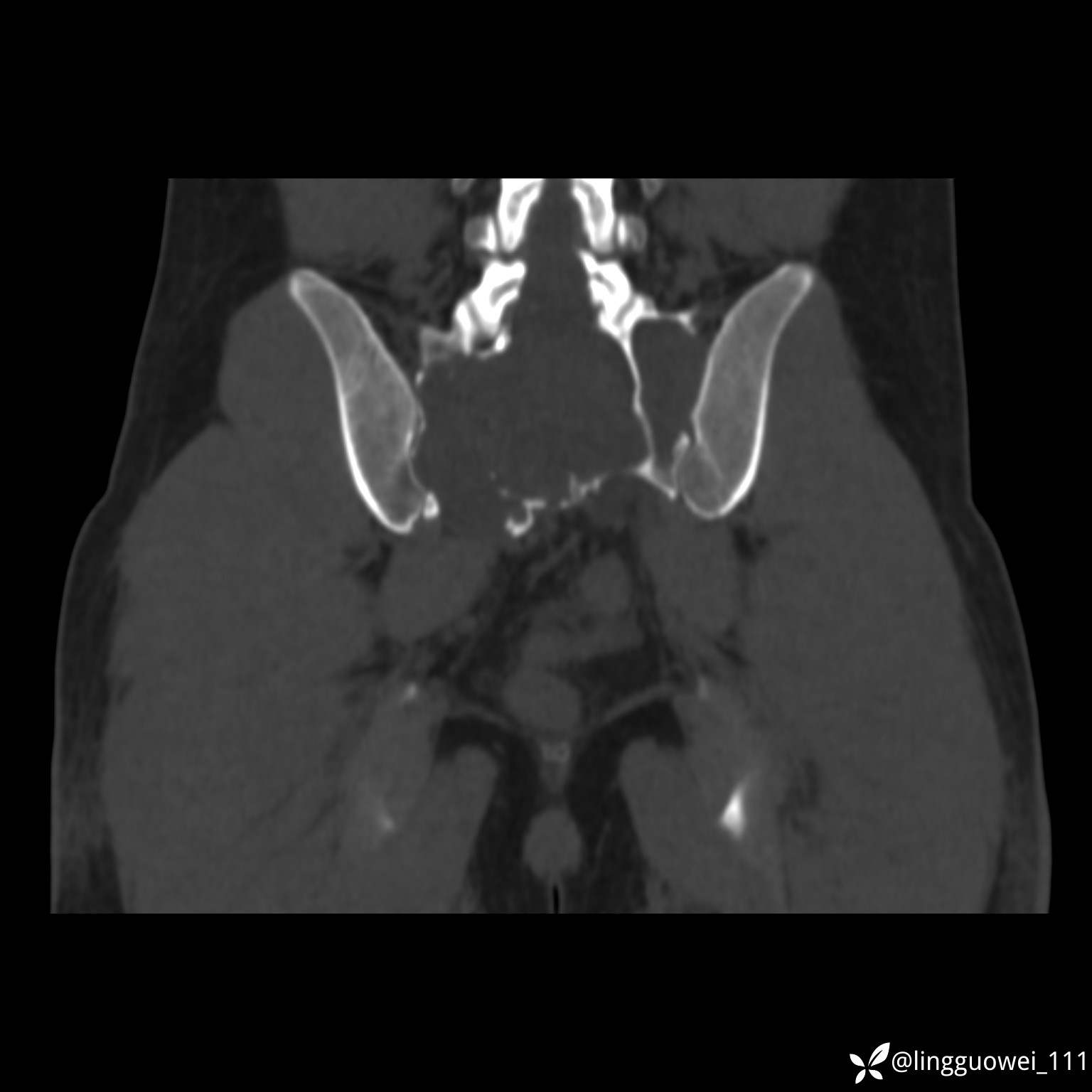
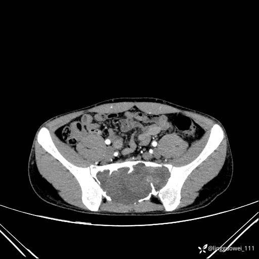
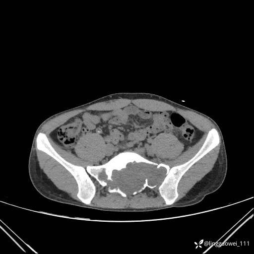
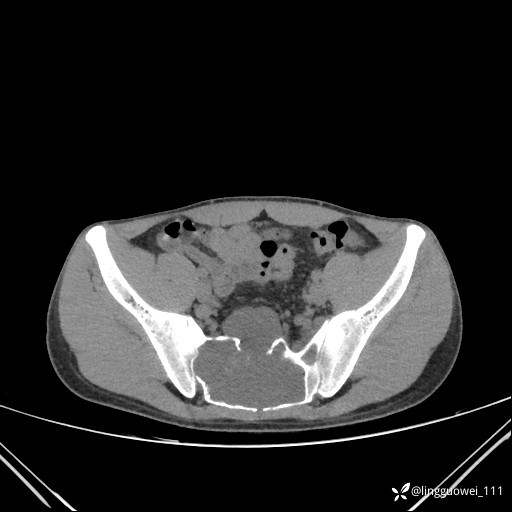
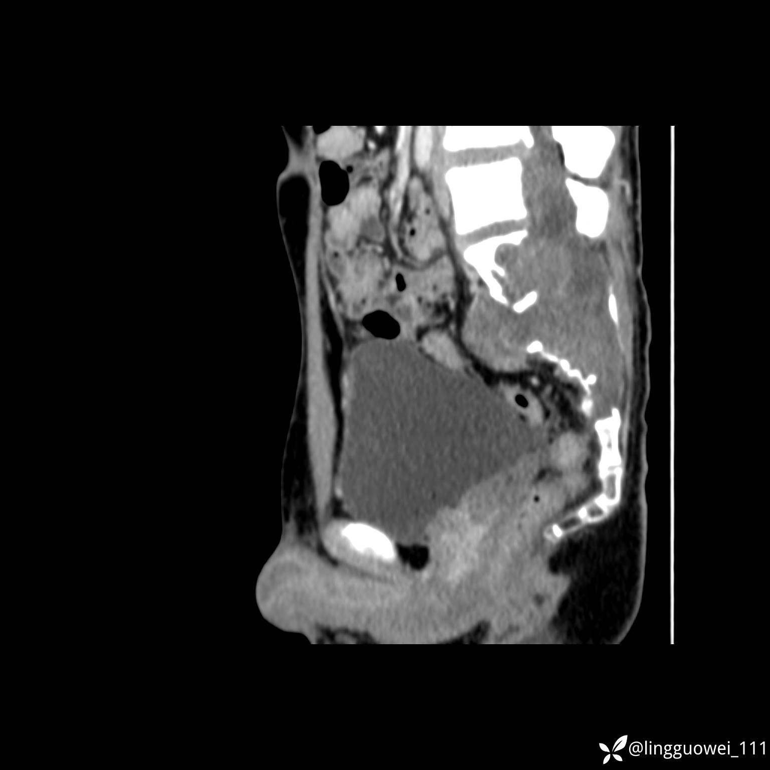
男,25岁,腰痛4年,加重左下肢痛5天,先上传X光片,第2天再上传CT。MR

img
img
img
img
img
img
img

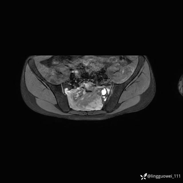
动脉期:

img
img

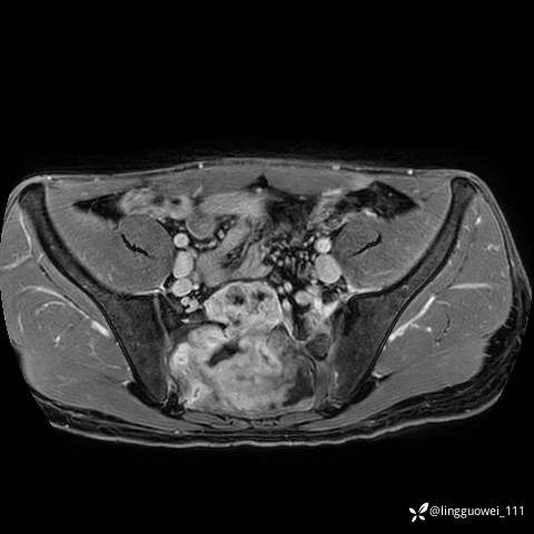
静脉期:

img
img
img
img
img
img

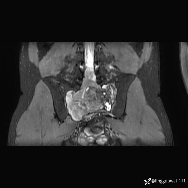
MR:(忘记截图常规序列,不过应该不影响诊断)

img
img
img
img
img
img
img
img
该帖还没有疾病标签去添加
28 9 44
同行评议(0)
已评议
不开通精选
开通精选
精选已授权,待上线
评议结果暂未公布
参与评议
去邀请
NaN
病例完整NaN
临床实用NaN
诊疗科学NaN
学术价值NaN

全部讨论(0)

默认最新
avatar
28
分享帖子
share-weibo分享到微博
share-weibo分享到微信
认证
返回顶部