半年前住院没发现问题,近期腹痛来诊
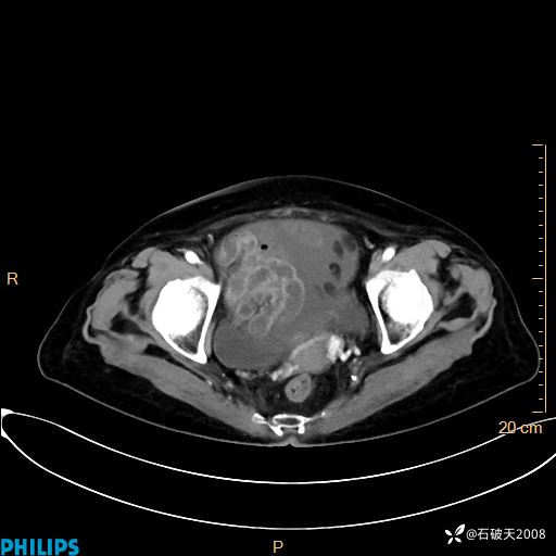
女82岁 主 诉:腹痛半月,加重3天
现病史:半月前患者无明显诱因出现腹痛,上腹部、下腹部间断隐痛,进食后明显,腹胀,大便干,无反酸、烧心,无恶心、呕吐,无腹泻、发热,无咳嗽、咳痰,无心慌、胸闷、无头痛、头晕,无粘液脓血便等症状,患者就诊XXXX医院,给予中草药治疗(具体药物不详)治疗,效差,3天前患者腹痛较前加重,上腹部、下腹部间断隐痛,伴间断性绞痛,今为求进一步诊治来诊我院,门诊以“腹痛”为诊断收住院,自发病来神志清,精神差,饮食差,睡眠一般,小便正常,体重无明显变化。
既往史:10年前曾因胆囊结石就诊我院行胆囊切除术,术后恢复良好。否认肝炎、结核、伤寒等传染病病史及其密切接触史。否认糖尿病病史,否认药物、食物过敏史,否认重大外伤史,无献血、输血史,预防接种史不详。
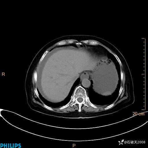
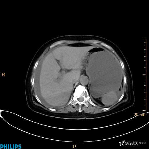
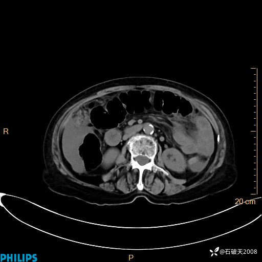
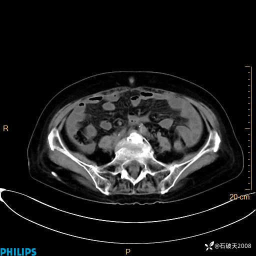
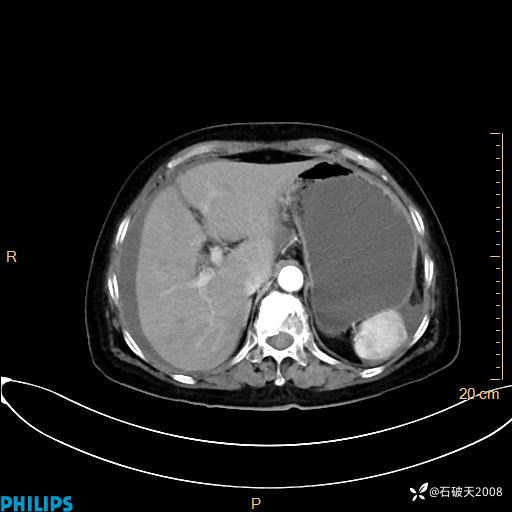
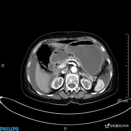
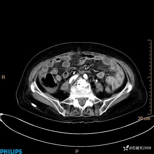
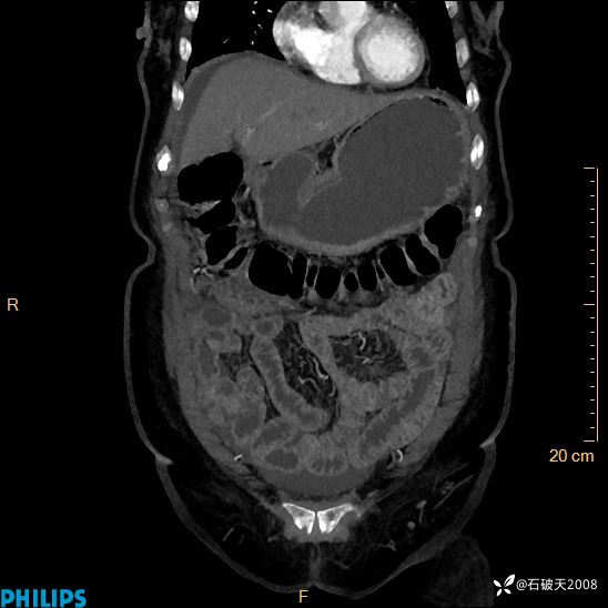
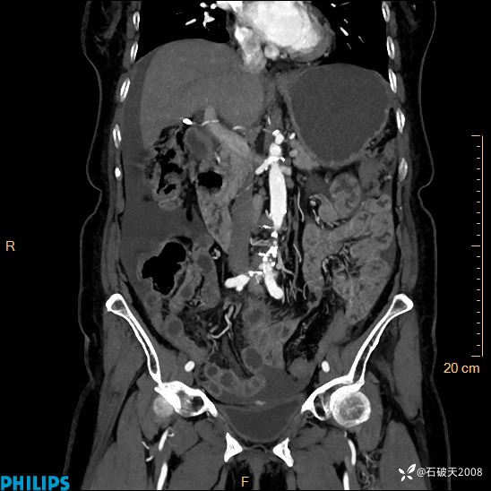
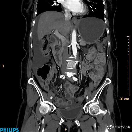
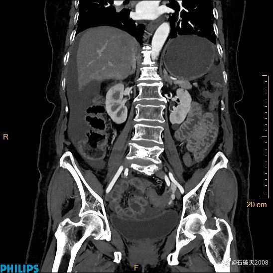
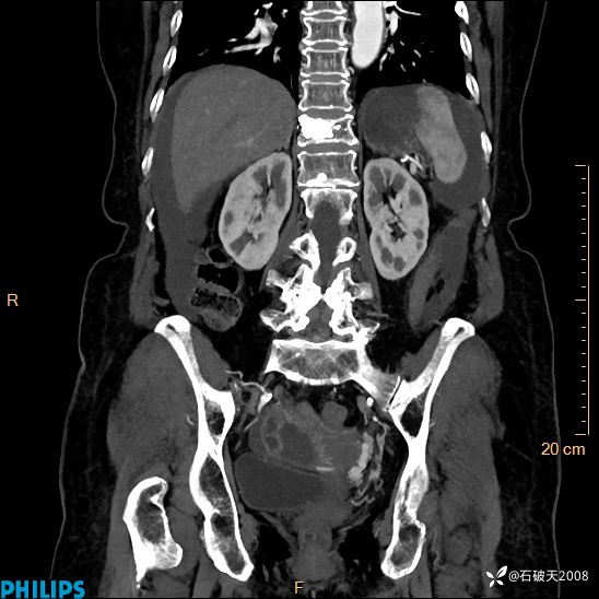
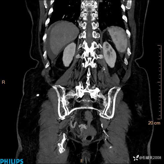
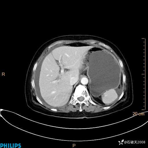
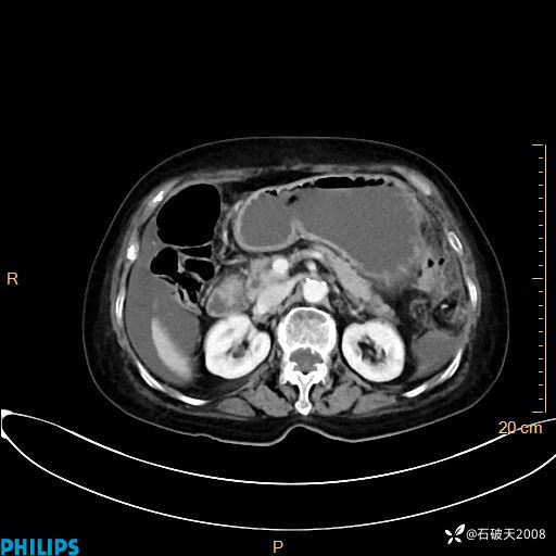
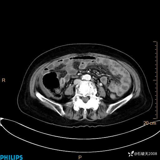
平扫







































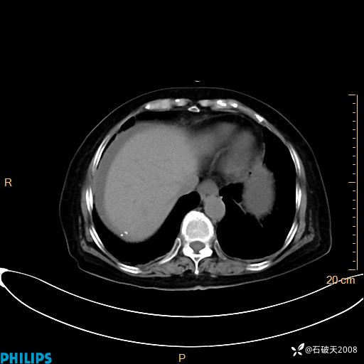
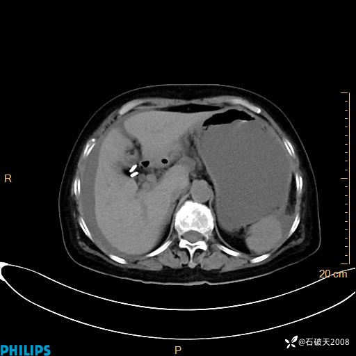
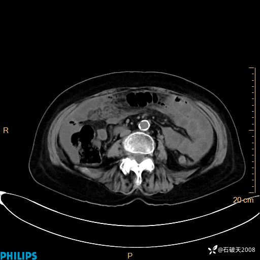
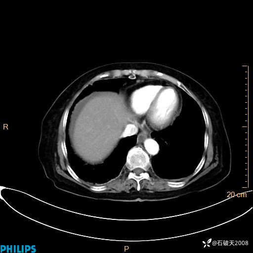
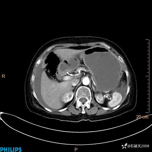
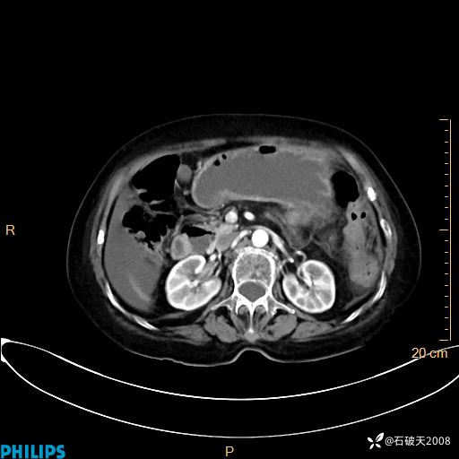
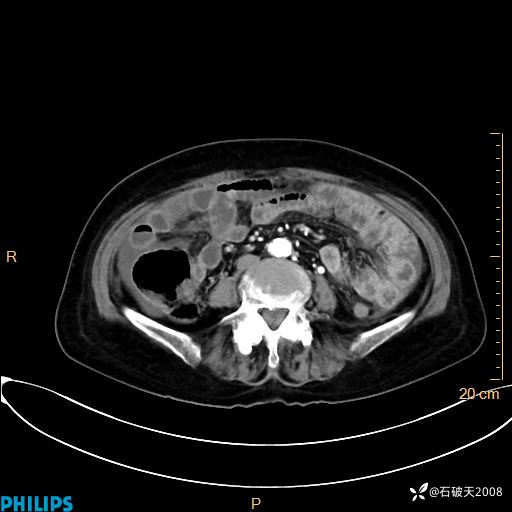
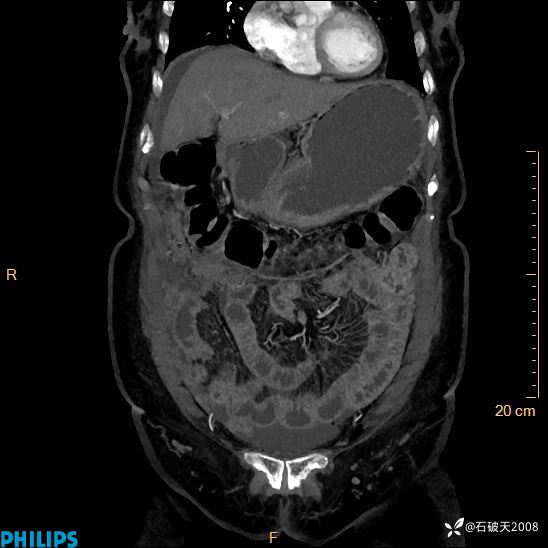
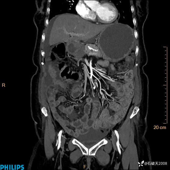
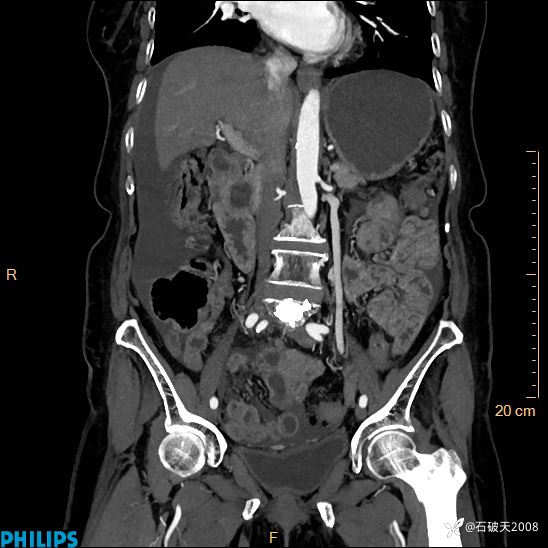
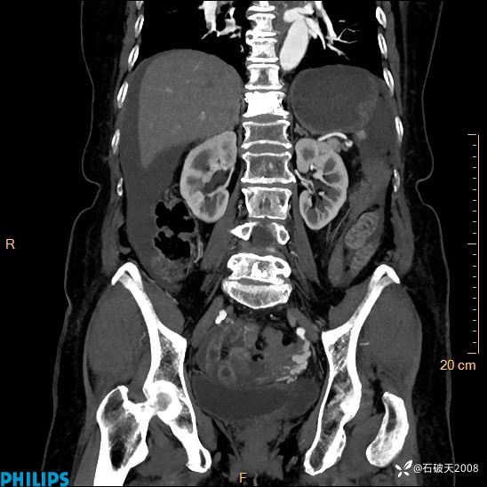
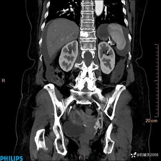
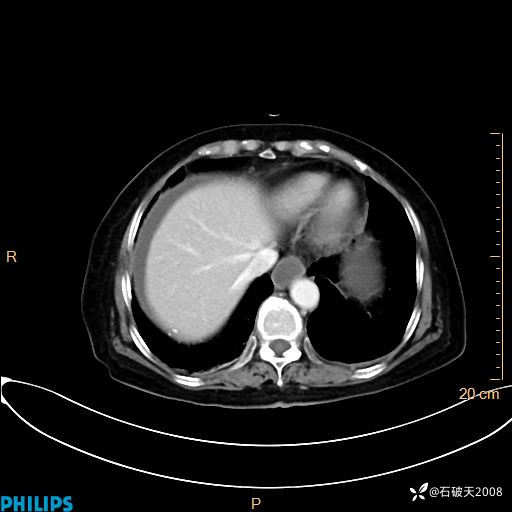
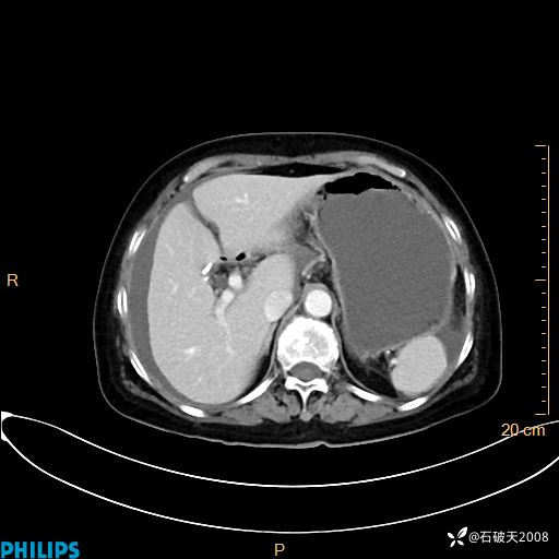
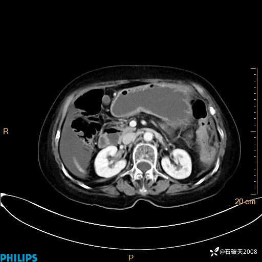
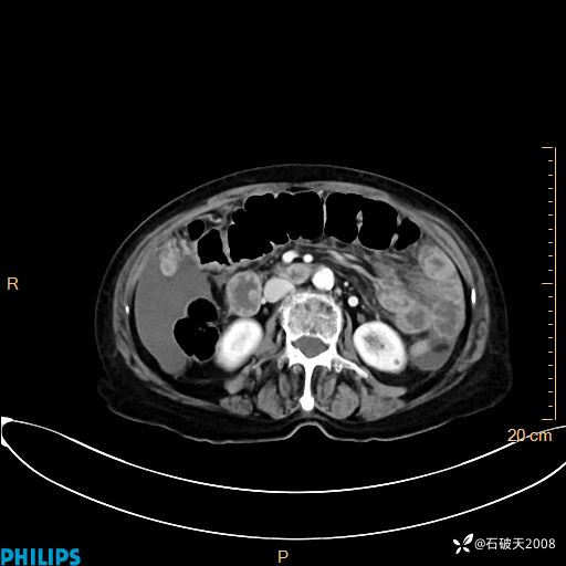
动脉期







































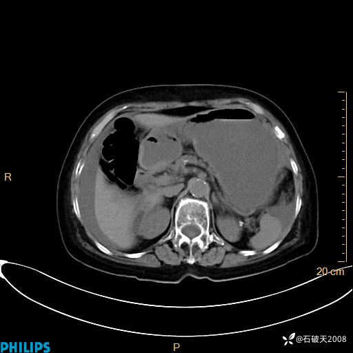
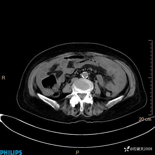
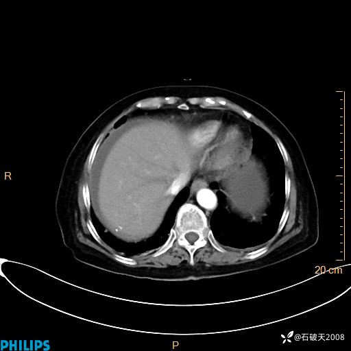
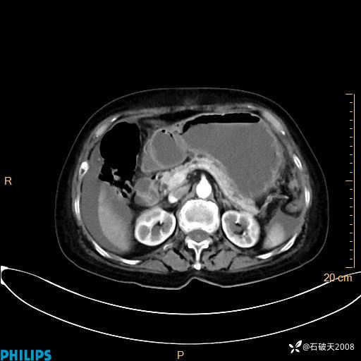
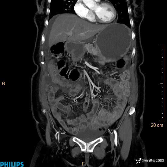
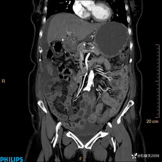
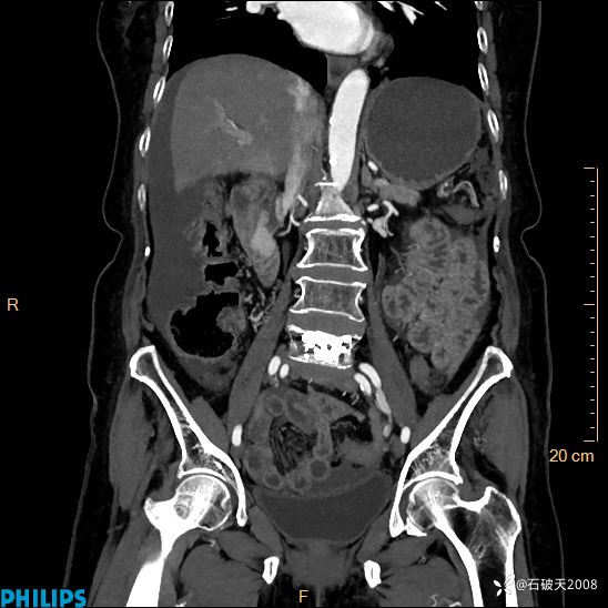
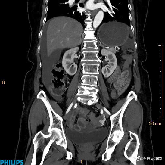
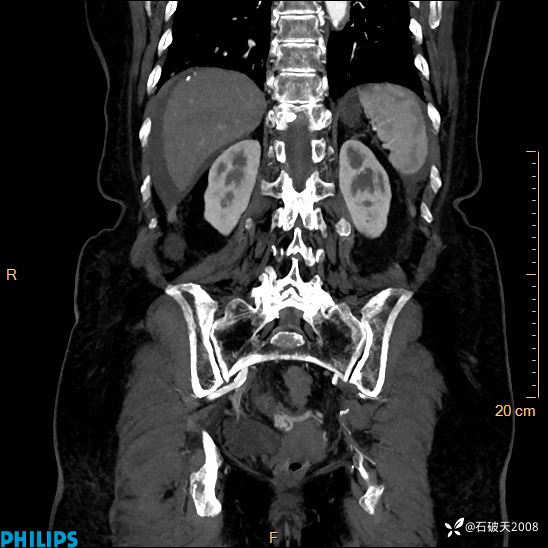
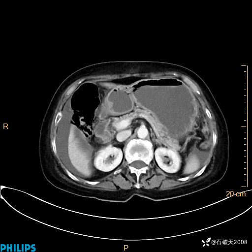
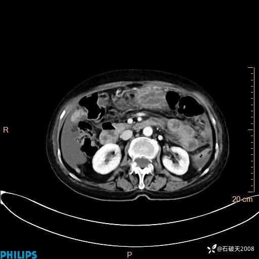
MIP






























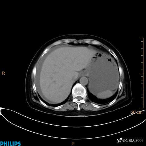
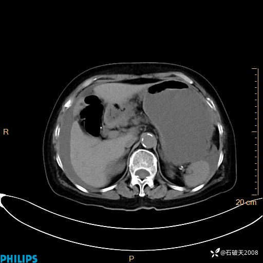
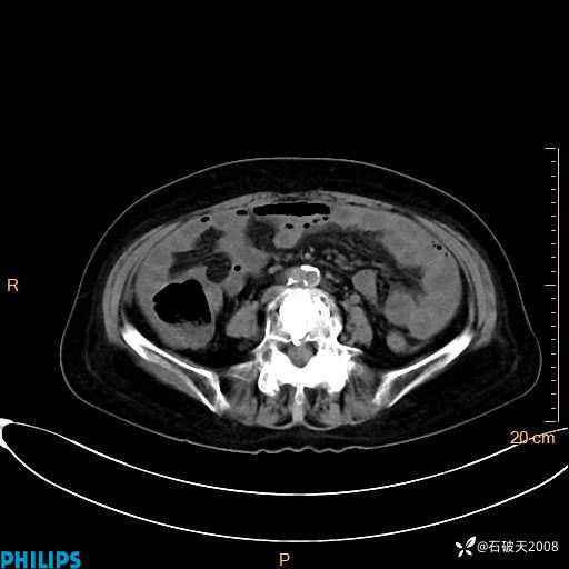
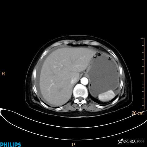
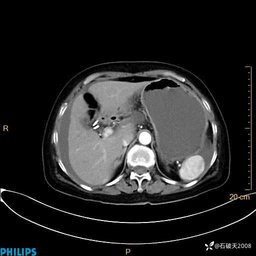
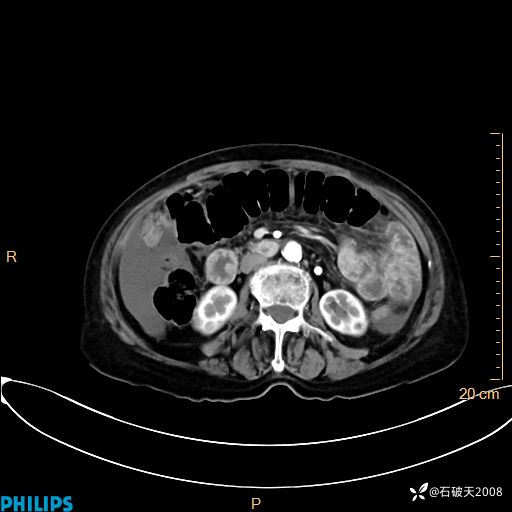
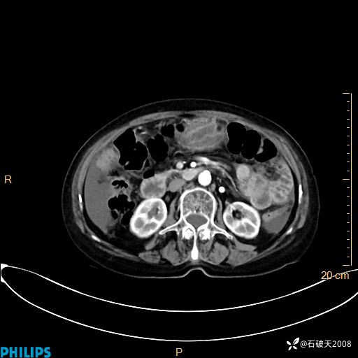
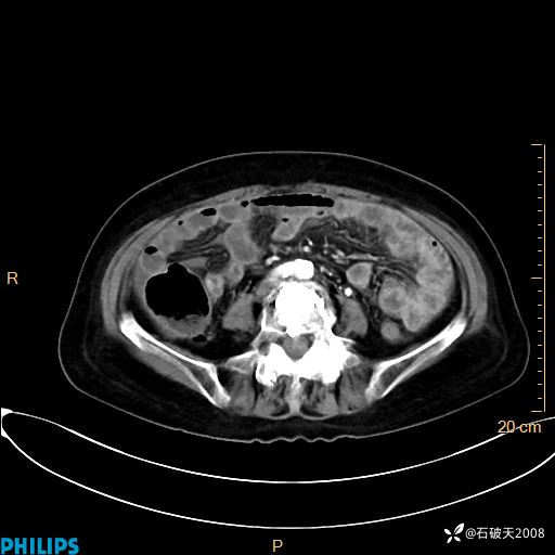
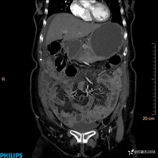
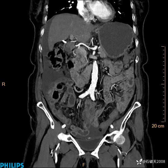
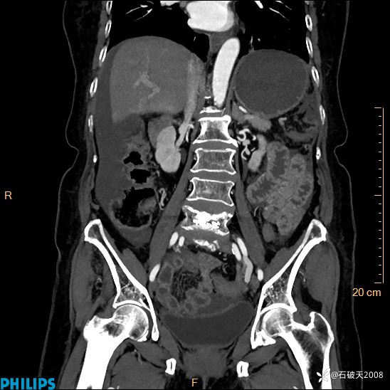
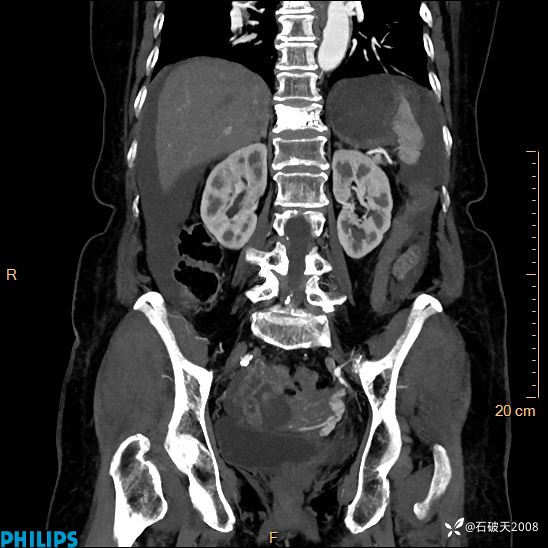
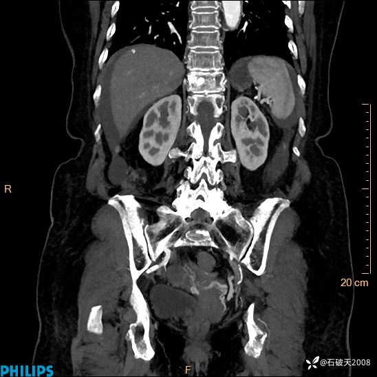
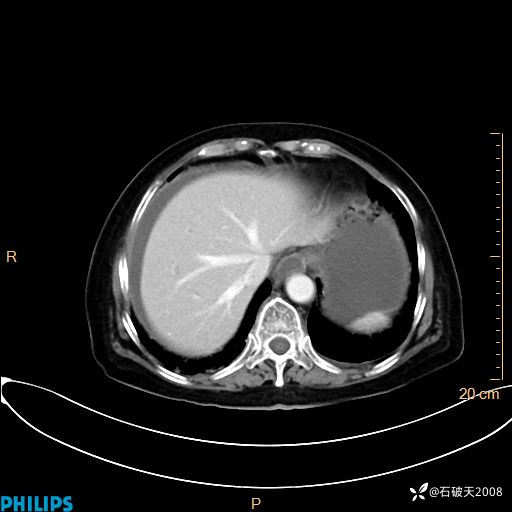
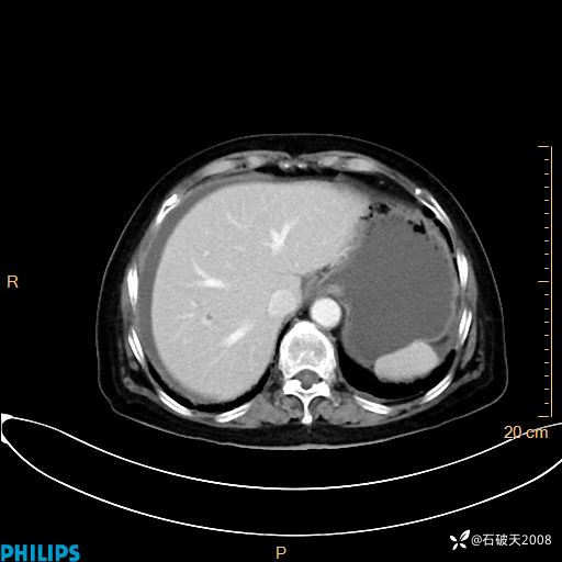
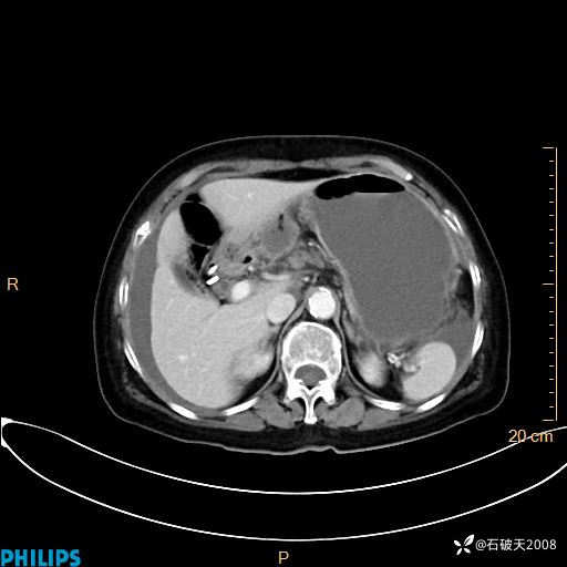
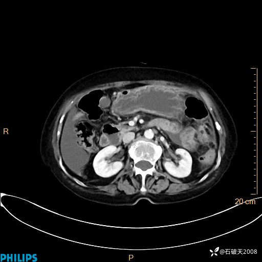
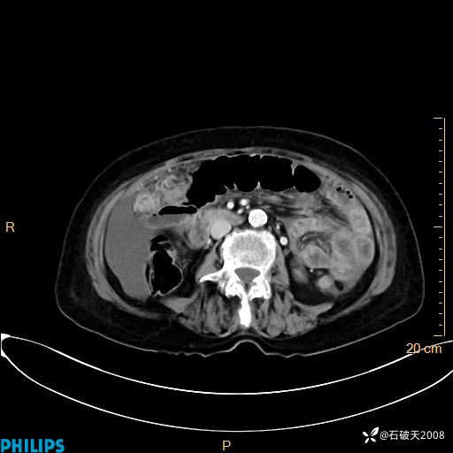
静脉期




















































































