女性67岁,肺结节猜病理
病例信息
女, 67 岁,主因体检发现肺结节3天于2024-06-05 09:05入院。
病例特点
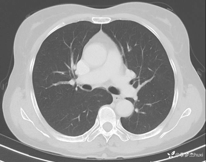
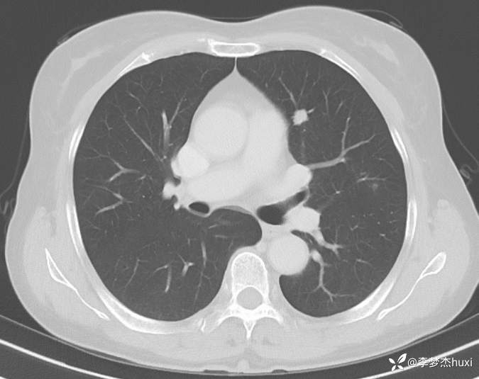
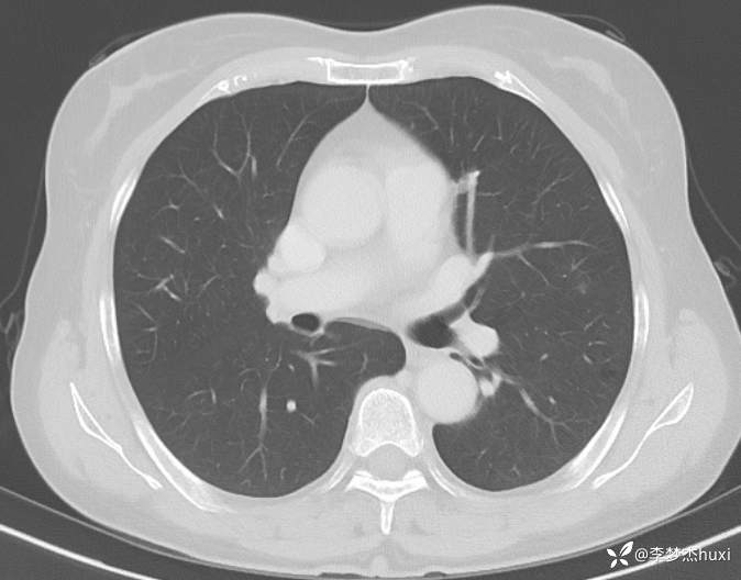
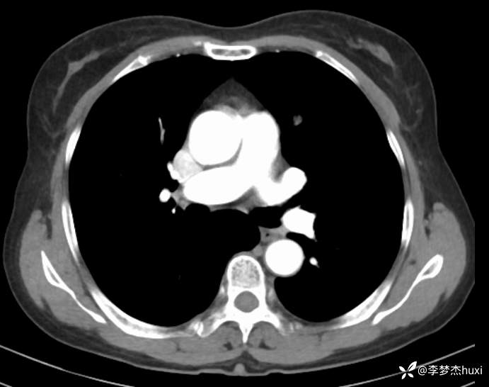
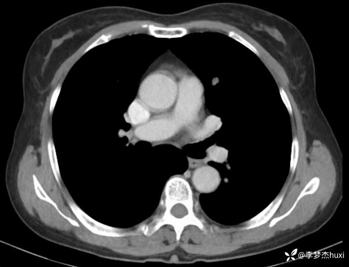
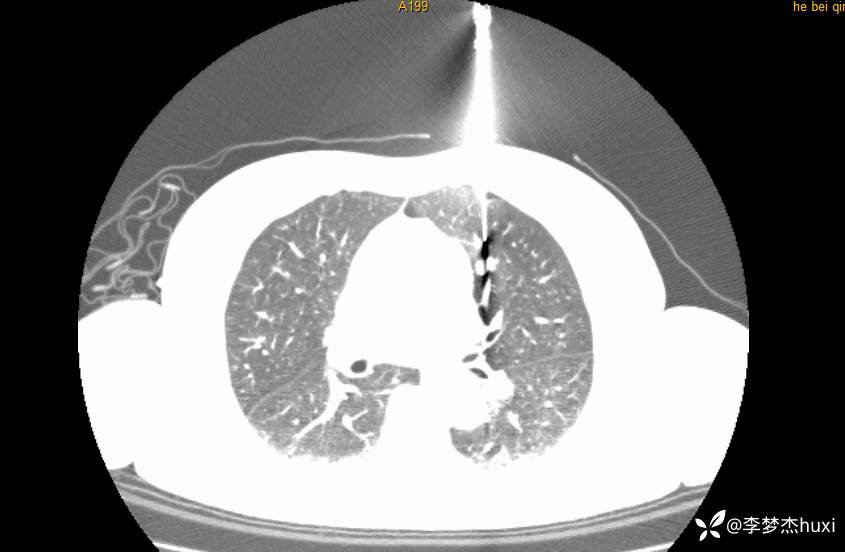
1.现病史:患者老年 女,患者于入院前3天(2024-06-02)体检查胸部CT:左肺部分实性结节,右肺磨玻璃结节,左肺上叶实性结节--性质?建议肺结节门诊会诊检查;双肺索条,双肺下叶条絮状高密度影--考虑肺血坠积效应,主动脉壁钙化,双侧胸膜局部增厚,左侧乳腺钙化点。2024-06-04查胸部增强CT:左肺上叶实性结节--占位?建议结合病理;左肺部分实性结节,右肺磨玻璃结节,建议肺结节门诊会诊检查;双肺索条,主动脉壁钙化,双侧胸膜局部增厚,左侧乳腺钙化点。患者目前无咳嗽、咳痰,无发热,无胸痛,今为求进一步诊治来我院,门诊以“肺诊断性影像异常”收入院。
2.既往史:既往体健;无高血压病、冠心病、糖尿病等慢性病史,无肝炎、伤寒、结核等传染病史,无外伤史,无手术史,无输血史,预防接种史不详,。
3.查体:T36℃,P60次/分,R16次/分,BP120/70mmHg。神清,呼吸平稳,浅表淋巴结不大,双肺叩清音,双肺呼吸音粗,双肺未闻及干湿性啰音,心率60次/分,心律齐,无杂音。腹部平坦软,全腹无压痛,无反跳痛及肌紧张,肝脾肋下未触及,双下肢无水肿。
4.辅助检查:2024-06-02查胸部CT:左肺部分实性结节,右肺磨玻璃结节,左肺上叶实性结节--性质?建议肺结节门诊会诊检查;双肺索条,双肺下叶条絮状高密度影--考虑肺血坠积效应,主动脉壁钙化,双侧胸膜局部增厚,左侧乳腺钙化点。2024-06-04查胸部增强CT:左肺上叶实性结节--占位?建议结合病理;左肺部分实性结节,右肺磨玻璃结节,建议肺结节门诊会诊检查;双肺索条,主动脉壁钙化,双侧胸膜局部增厚,左侧乳腺钙化点。。
初步诊断
肺诊断性影像异常。
分析处理
穿刺活检
总结与讨论
猜病理





















































