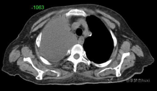
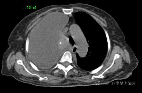
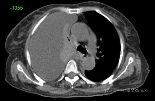
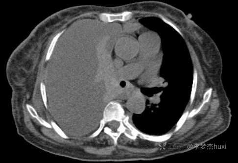
女性78岁,右侧满罐胸水,你绞尽脑汁也想不到的原因
患者性别:女
患者年龄:78
主诉:主因胸闷伴腰背部疼痛1个月
简要病史:患者缘于入院前1个月无明显诱因出现胸闷不适,进行性加重,无明显咳嗽、咳痰,无胸痛及咯血,无喘息,伴进食差,食欲明显减退,无恶心、呕吐,无腹痛、腹泻,伴腰背部疼痛,活动后明显,无尿便失禁,无发热,院外未治疗,来诊
体格检查:T:36.5℃;P:96次/分;R:20次/分;Bp:100/55mmHg,神清,呼吸平稳,浅表淋巴结不大,重度贫血貌,左肺叩清音,右肺叩浊音,右肺呼吸音消失,左肺呼吸音低,未闻及明显啰音,心率96次/分,律齐,无杂音。腹部平坦,软,全腹无压痛,无反跳痛及肌紧张,肝脾肋下未触及,双下肢水肿。
辅助检查:
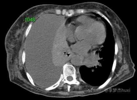
临床诊断:右侧胸腔积液
治疗经过:
讨论:猜病因




























































