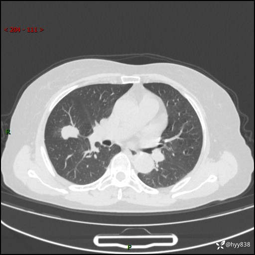
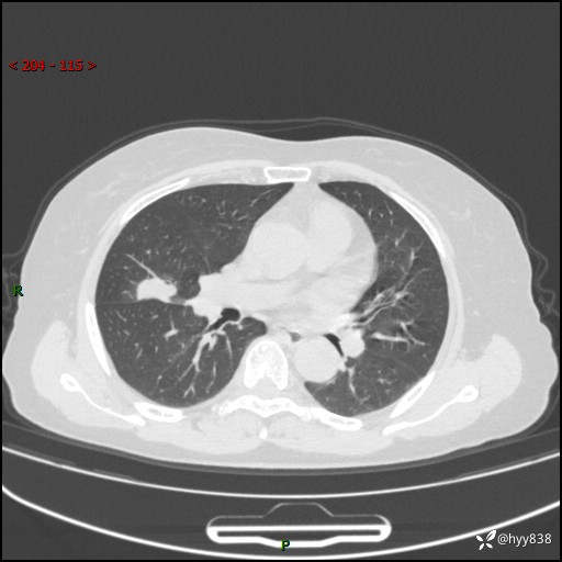
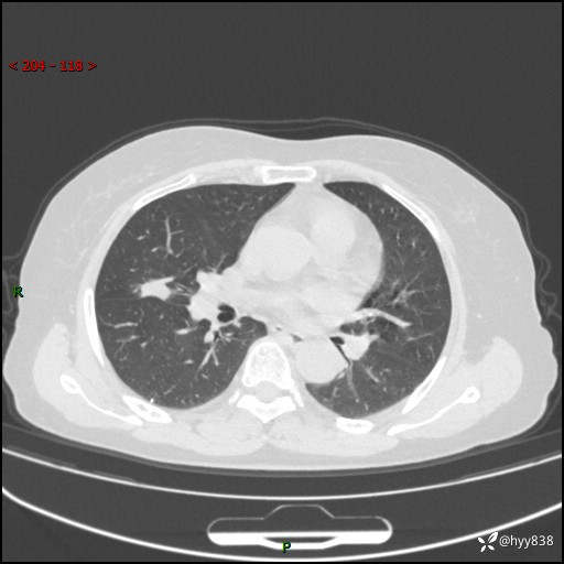
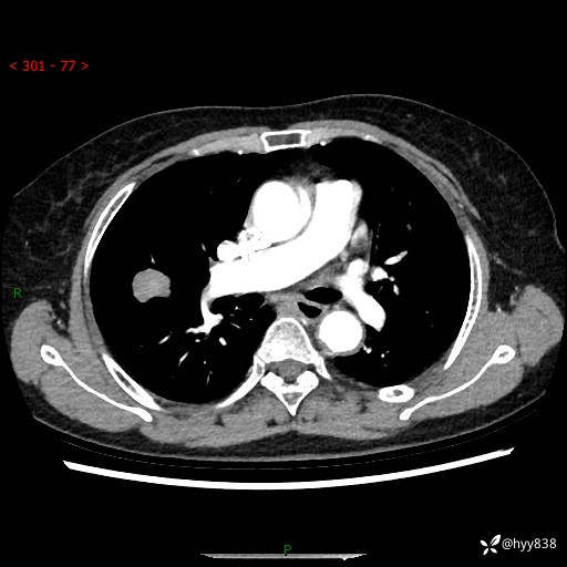
规培和研究生教学片:老年女性,孤立肺结节,明显且渐进性强化,提示---结果公布~
胡志勇HZY 达人已点赞病例信息
性别:女
年龄:72岁
主诉:间断痰中带血1月余,发现肺结节1天。
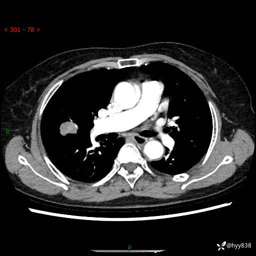
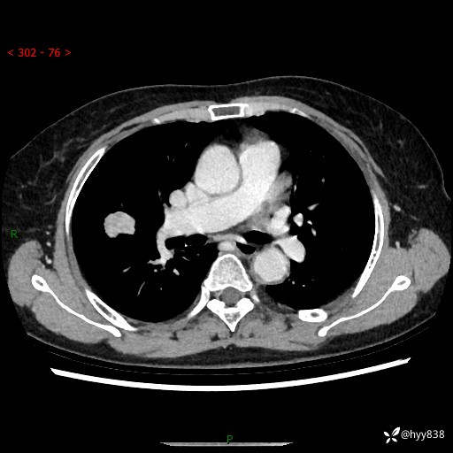
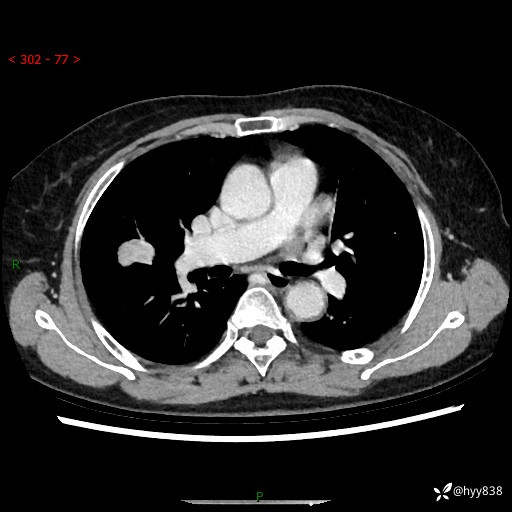
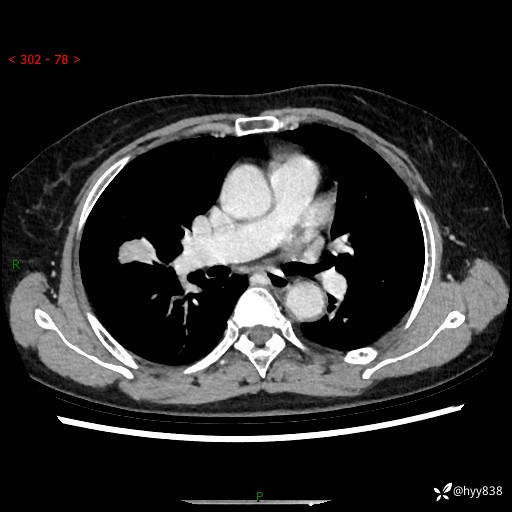
现病史:患者1月前无明显诱因出现痰中带鲜红色血丝,伴间断咳嗽,晨起明显,无胸闷、胸痛,无恶心、呕吐,无发热、畏寒,无活动后气短,无盗汗、咯血、消瘦等不适,未行诊疗。患者1天前于我院就诊,行胸部CT:右肺中叶及右肺下叶结节影,右肺上叶磨玻璃影,左肺上叶纤维灶。门诊以“咯血原因待查 肺结节”收入我科。 起病以来,患者精神、饮食、睡眠尚可,大小便正常,体力、体重未见明显改变。
胸部CT平扫+增强







































































