(原创)你是否做好了与这个社会告别的准备
“很多人一时的冲动可能带给家人永远的遗憾、自责和漫长的不舍。急诊科最动情的急救,百草枯中毒。”
晚11点,整个急诊科已经安静,几个发热来诊的病人正等着化验结果,我正站在分诊台,闲聊着,急诊科门被打开,“喝了1口百草枯!”
分诊台护士立刻迎上去,“喝了多久了?”
“2个小时?”
我快步走过去问,“哪里转来的?”
所有人都在忙着抬病人,没人回复我,我继续问,“洗完胃了?”
依然没有人回复我!
分诊台护士和120人员把病人推进了抢救室。
留下了两个已经被吓坏的家属,我走到她们身边,“喝了多久了?”
年龄稍大的男生说,“喝了2个小时了。”
“喝了多少?”
“一口,说吐出来一些。”
“你知道百草枯致死量10ml,沾嘴就有死的可能,情绪激动时一口50多ml,够死很多次的?”
男生看着我,不哭,也不回答,应该是已经吓坏了。
我继续问,“没去其他医院?洗胃吧?”
“没有,一直不来医院,我刚回到家,打120才来的。洗胃。”
快步走进抢救室,大喊,“洗胃,开两路补液,推一支速尿。”
洗着胃,我坐在电脑旁写病例、开检查,我继续说,“市区还有百草枯?”
护士大喊,“洗胃液里没颜色,全是饭,继续洗嘛?”
“洗!不行,重新插管。”
“她喝没喝啊?”
“既然她说了,肯定喝了,只会说少,说喝了一点,肯定喝了小半口,继续洗。”
我继续大喊,“陪护,留一管尿给我。”
小插曲,陪护竟然真的快速留了一管尿,直接放在了我键盘上,我看了看陪护,没说啥,站起来快速测了次尿半定量检测,阴性,没有百草枯。
我看了下时间,喝了2小时多,尿百草枯应该是最高的时候,即使喝了,问题也不大。
护士问,“能活吗?”
我站起来走出抢救室的路上看到患者的女儿坐在患者旁边握着她妈妈的手一直在哭,患者被洗着胃,面带笑容看着她女儿,这场景瞬间触动我,我没回答护士的问题,快步走出抢救室。
护士看到我注意到患者的女儿进来了,急忙说,“洗胃挣扎的太厉害,就让她女儿进来了。”
我点头,快速走出抢救室,问,“你多大了,能签字吗?”
“20,能签字。”
“你其他家人没来,怎么你兄妹陪着来,你爸爸呢?”
“我爸不来。”
“吵架了?”
“嗯”
“很重,危及生命,要不要洗血,你最好让你爸爸来做决定,现在在洗胃还有时间。”
因为尿检阴性,我想着可以保守,她儿子已经没有判断能力,只是简单的要救妈妈,直接把字签上了。
我继续说,“可以等你爸爸来再做决定。”
“不用等。”
很快患者的弟弟、对象都来了,还是决定积极治疗。
在抢救室做了两次灌流,快速就收进来急诊监护室。
血药浓度也很快出来,服药2小时,胃液、尿液里检测出百草枯。
具体如下:

下夜班的时候,分诊台问“能活吗?”
我说,“就差在我面前喝了,3天口腔溃疡,一边治疗一边看吧!”
具体检查如下:
血检全正常!
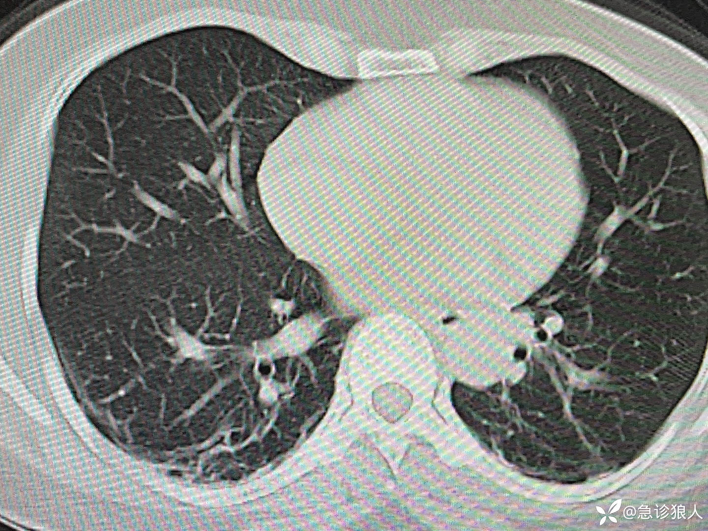
入院12小时,胸部CT如下:

入院第4天,血检全正常,ct如下:



口腔轻微溃疡
问:你们感觉她能不能活?
















































