踝关节骨折伴距骨外脱位非手术治疗
患者商,男,42岁,左踝扭伤肿痛畸形活动受限1小时于2024-3-12来诊。
初步诊断:外后踝骨折伴距骨外脱位 (旋后外旋型IV)
治疗方案:闭合复位外固定治疗
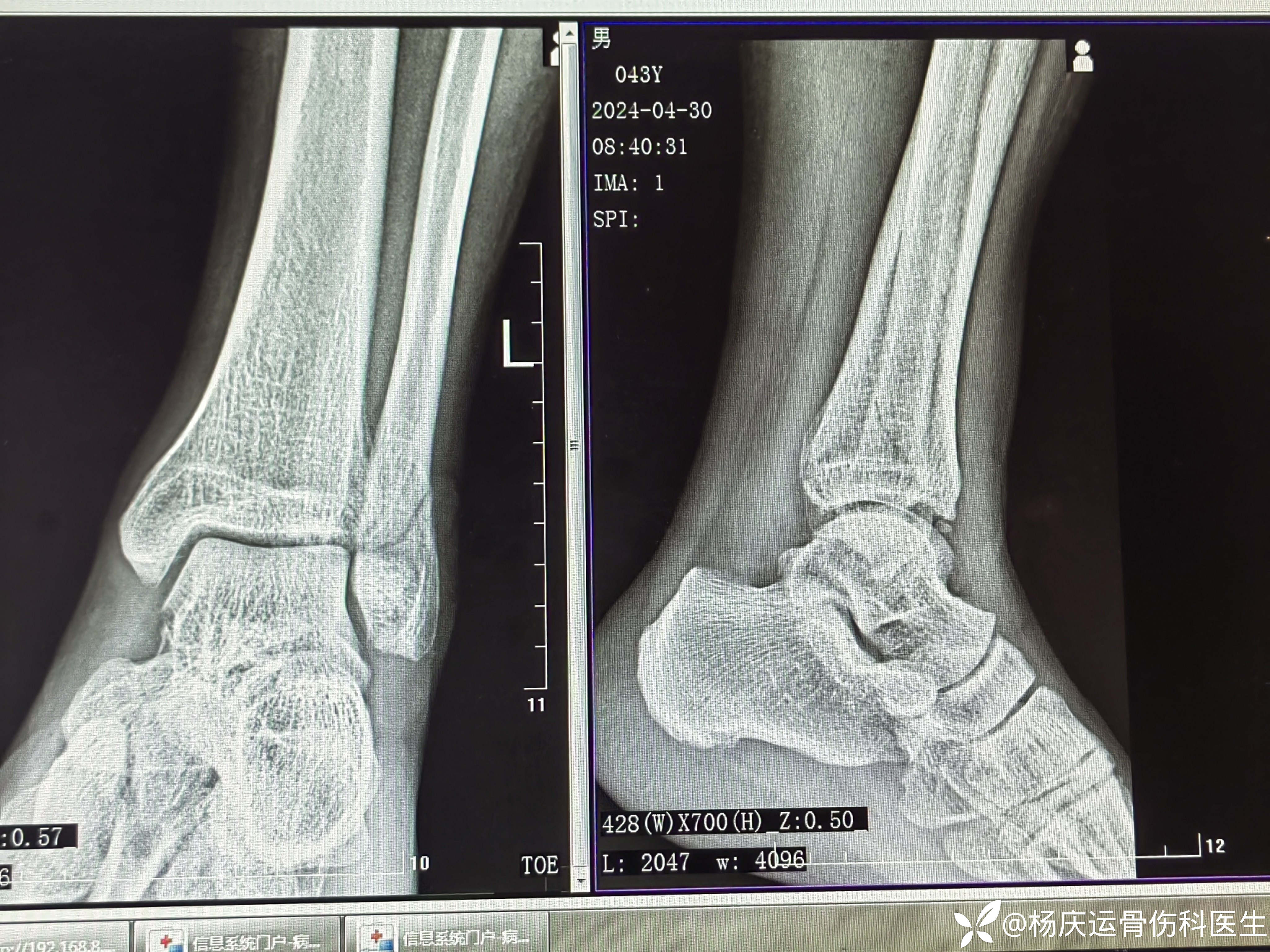
首诊片

复位前CT



复位方法:
手摸心会、拔伸牵引、旋转屈伸、端挤提按、按摩推拿。
复位后

夹板纸壳外固定并丝袜悬吊

4天复查

9天复查

3周复查

5周复查

7周复查

随访中。。。。
小结
踝关节骨折是最常见的下肢骨折类型之一,占全身骨折的3.9%。踝关节骨折可由于直接或间接暴力造成,同时可以合并关节软骨损伤、关节周围韧带损伤、关节脱位及软组织损伤。除了骨折之外,大部分的踝关节骨折均存在韧带损伤、关节软骨损伤等因素。
临床上对于踝关节骨折的治疗,大致分为保守治疗和手术治疗两种方式,骨科医生通过对骨折情况的判断决定是手术治疗还是保守治疗。踝关节的稳定性和关节的复位对于踝关节的功能具有重要的意义,良好的踝关节复位与固定是康复的基础,对位对线不良及踝穴不匹配会影响患者目的在于恢复踝关节的功能,避免后期发生创伤性骨关节炎。
治疗措施应是最简单、损伤最小且能维持复位的方法。
Lauge-Hansen分型

复位后恢复Neer环的连续性

















































