踝关节骨折非手术治疗
患者矫,女,66岁,左踝扭伤肿痛畸形2小时
初步诊断:左踝关节骨折(L-H分型:旋后外旋型IV)
分型:


治疗方案:闭合复位外固定治疗
治疗理念:能保守不微创,能微创不开放
正复手法:手摸心会,拔伸牵引,旋转屈伸,端挤提按。
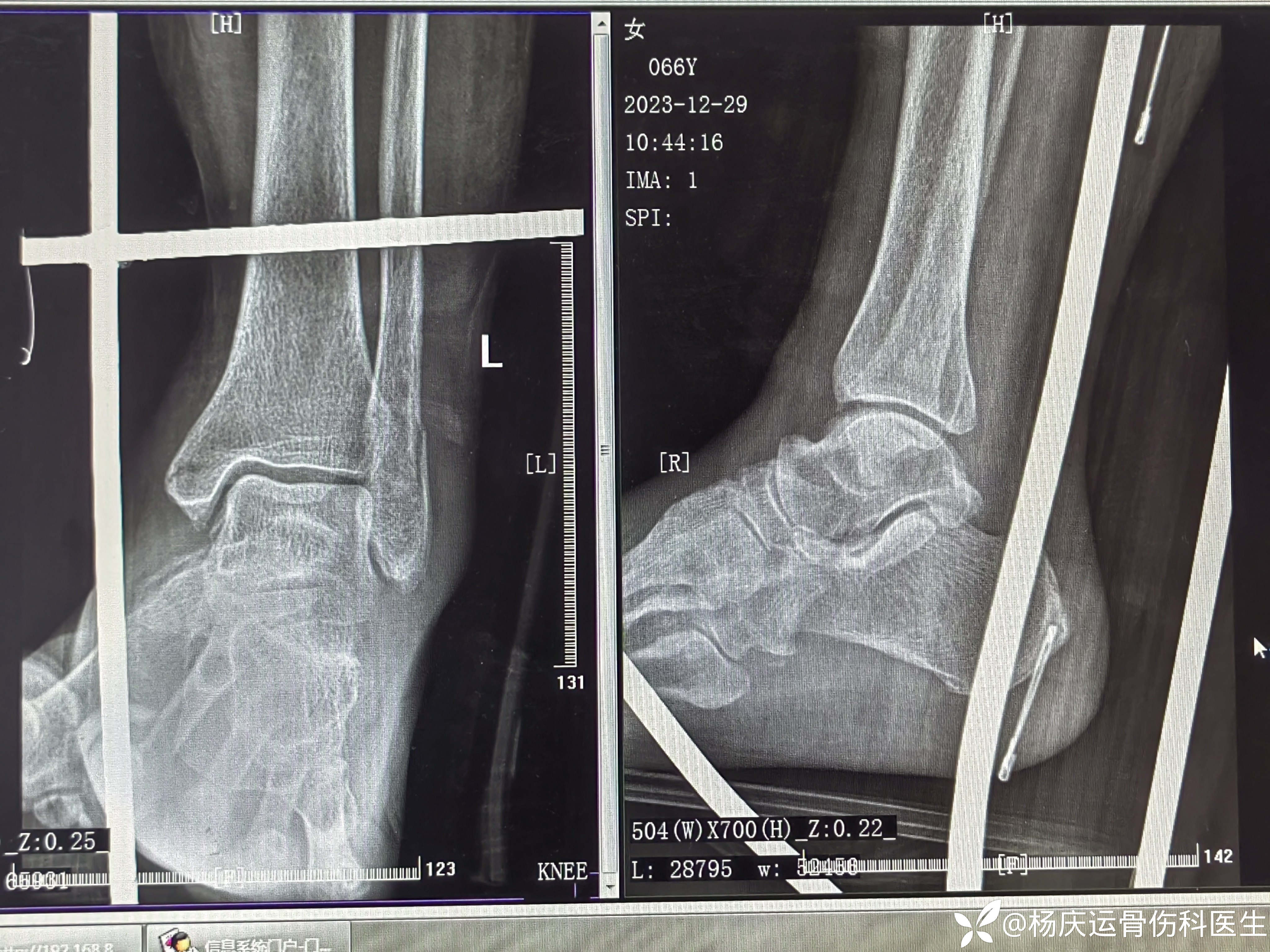
首诊片

CT







复位后

4天复查

9天CT复查




2周复查

随访中。。。
患者矫,女,66岁,左踝扭伤肿痛畸形2小时
初步诊断:左踝关节骨折(L-H分型:旋后外旋型IV)
分型:


治疗方案:闭合复位外固定治疗
治疗理念:能保守不微创,能微创不开放
正复手法:手摸心会,拔伸牵引,旋转屈伸,端挤提按。
首诊片

CT







复位后

4天复查

9天CT复查




2周复查

随访中。。。
