踝关节骨折没你想的那么简单
58岁中年女性,扭伤左踝关节肿痛活动受限2小时来诊。拍片是左踝关节骨折(SER 四度损伤?),患者门诊要求保守治疗,跟其讲明踝关节骨折属于毫米级手术,四度的损伤预示着踝关节的不稳,容易产生骨折再次移位,踝穴不匹配等并发症,而且没有CT进一步评估,对下胫腓是否存在Tilaux骨块和或后踝Volkman骨块无法评估,种种不确定因素预示着保守治疗并发创伤性关节痛可能性较大,建议住院进一步评估,积极手术治疗,患者及家属同意入院完善CT检查确定指征明确,准备择期手术。术后待奉上。
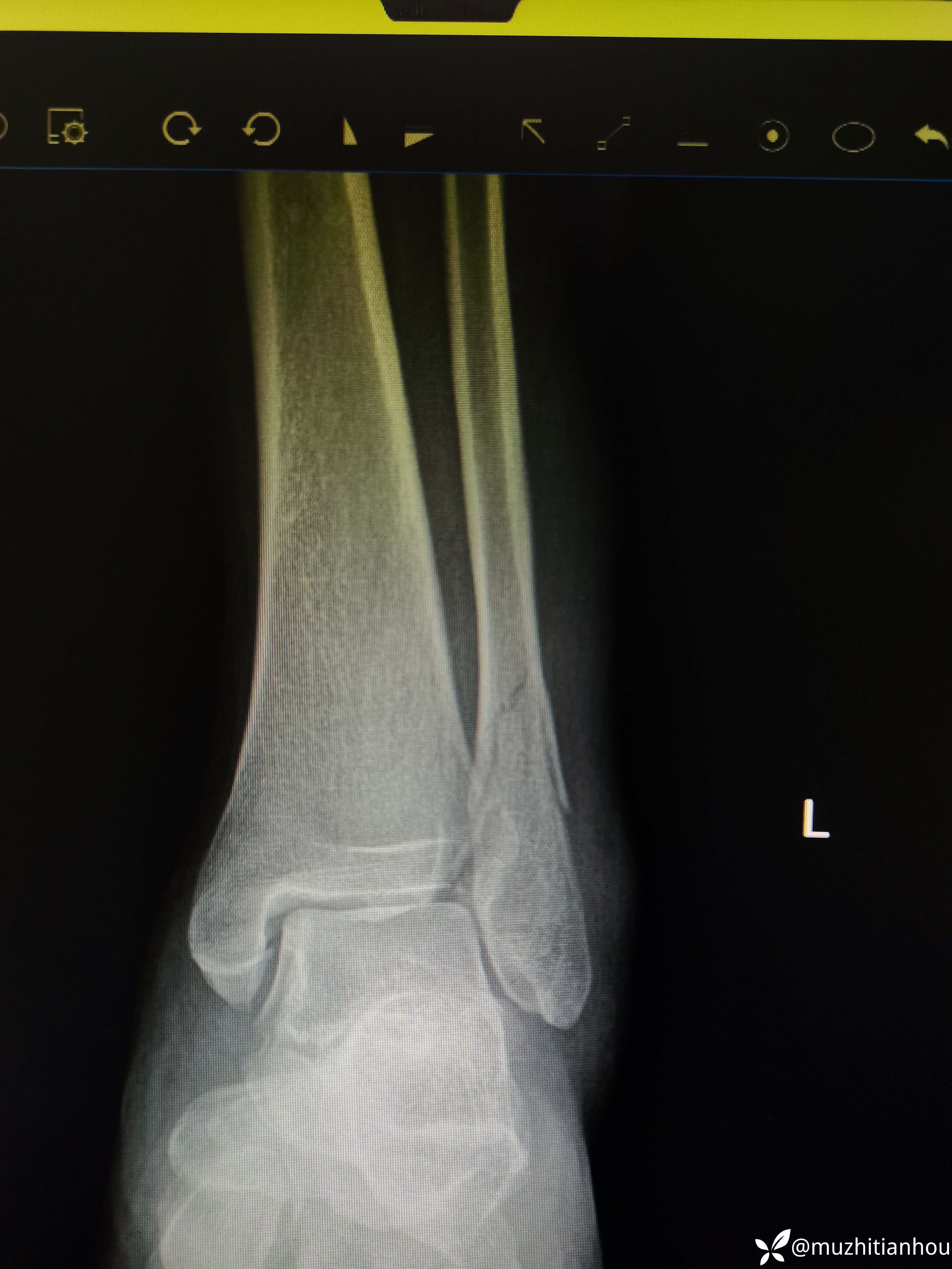
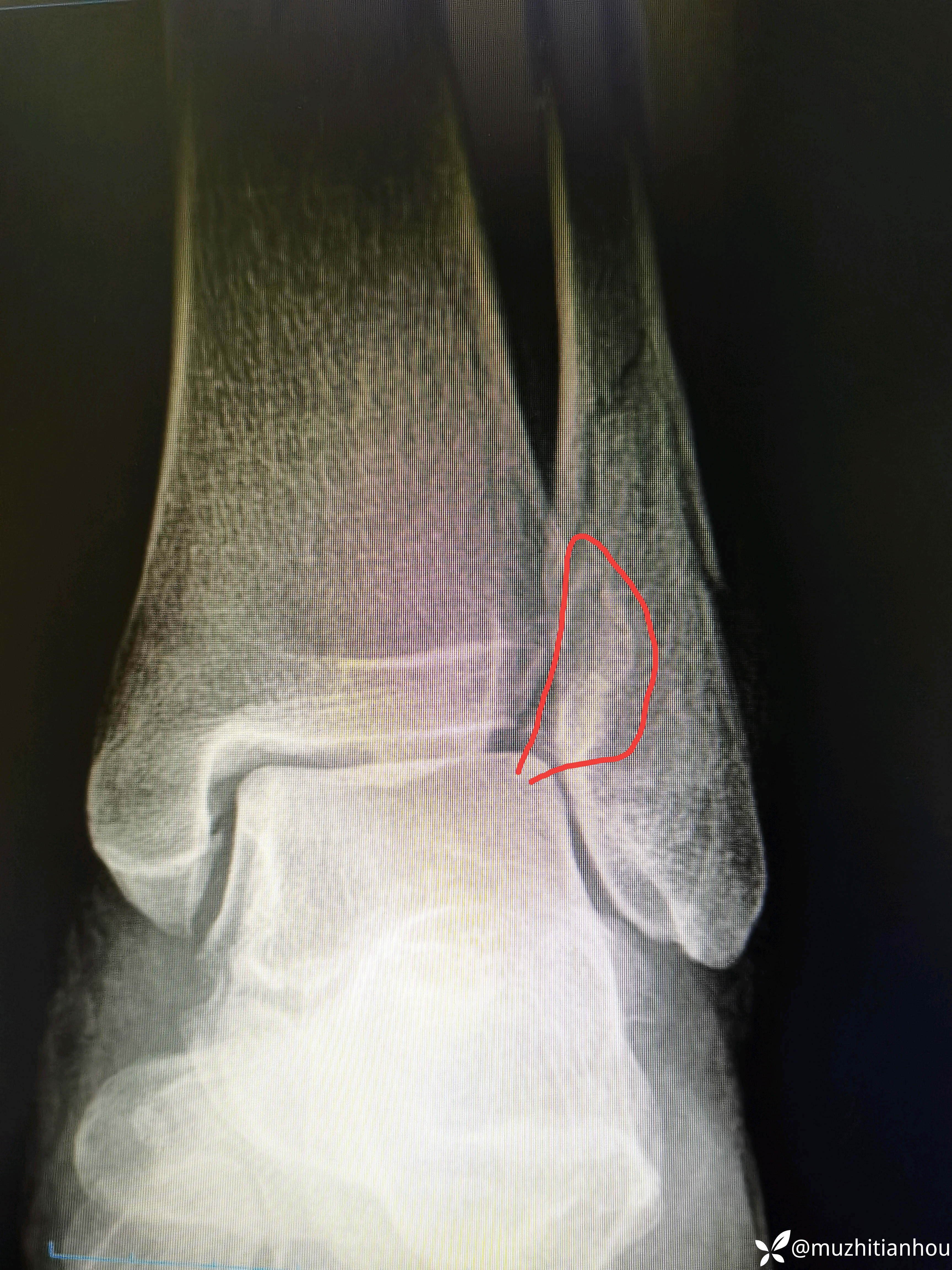
返回头来我们再阅片发现正位下胫腓存在骨块,存在分离移位,内踝侧位片骨折线前上后下亦存在分离移位,虽然腓骨长度没问题,但凭借这两处骨折和四度损伤样也完全说明手术指征明确。
在此发此病历告诫像我一样的年轻大夫们共勉。针对踝关节骨折一定不要妄下论断,我当年的师兄告诉我看到踝关节如果你不能确定是否需要手术的时候还有一个比较笨的方法就是建议患者积极手术治疗。因为踝关节的优良率评价不是一年两年,应该是五年十年二十年。踝关节绝非一个简单的骨折。

看着腓骨长度没问题,旋转没问题,踝穴也可以,这个岁数是不是可以保守的?

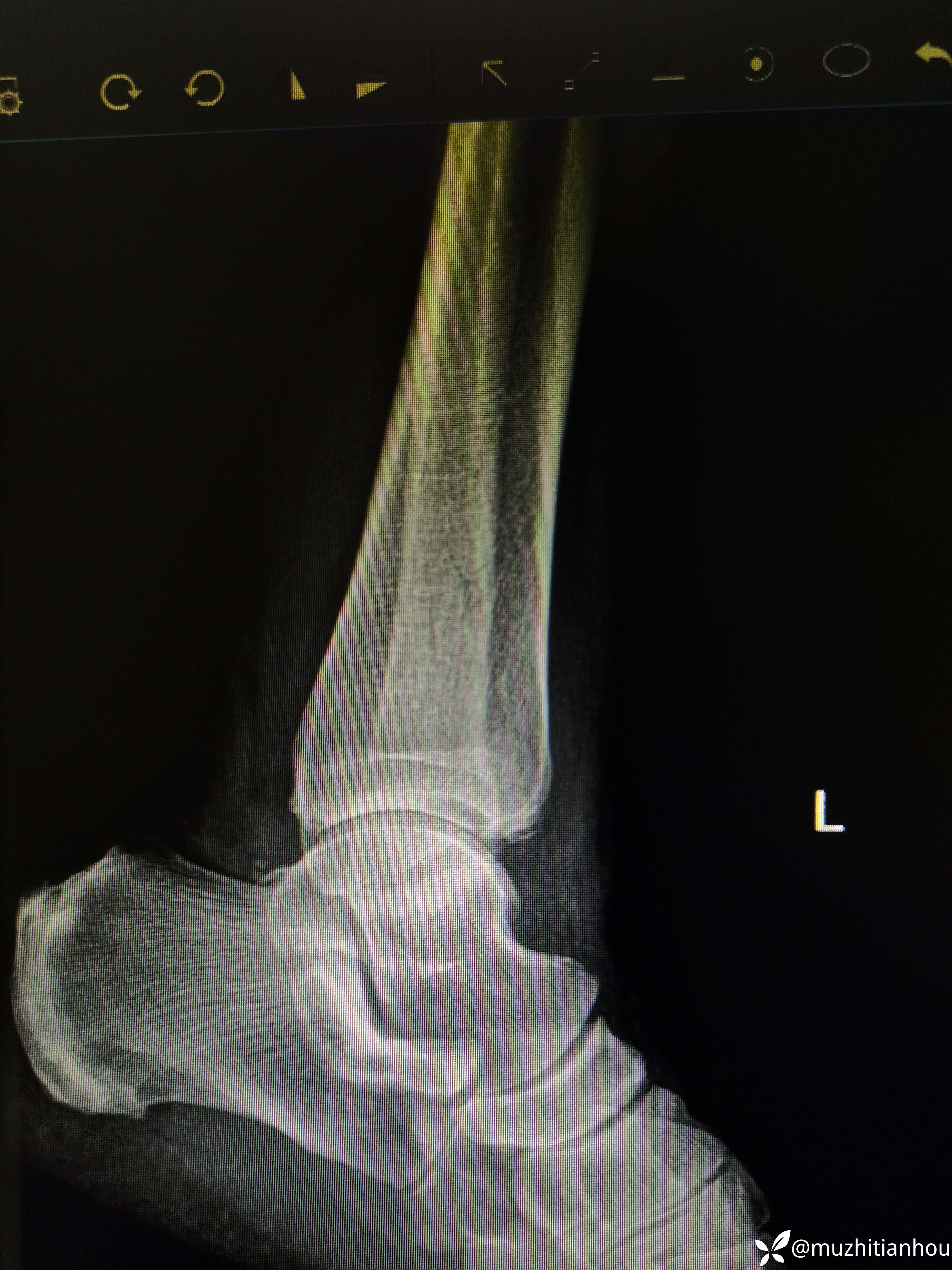
侧位没经验的大夫会不会看内踝呢?有什么端倪吗?门诊碰到这样的患者问你能不能保守治疗,你会怎么处理?

讲明白道理后取得患者信任,入院做了三维CT真像慢慢浮出水面,看到这个您是不是觉得收获很大

后踝骨块无需处理

三维重建来的更直观,Tillaux骨块的分型和处理选择大家是否铭记在心呢?我想大多数人跟我差不多,回头去复习下吧。收获会很大

内踝看到了移位,没有想象的那么好。

返回头来再看会不会有收获呢?

沈通氏线中段,tillaux骨块累及到下胫腓
最后诊断清楚了,手术方案如何定呢?外踝后外侧大弧形切口钢板固定外踝后往前方剥离显露Tilaux骨块然后固定?还是前外侧切口处理?还是外踝微创插板固定,Tillaux骨块正前方单独切口固定?选择什么固定?4.5空心钉?3.0哈勃特钉?还是?内踝就不说了常规空心钉固定吧。下胫腓需要固定吗?欢迎各位老师指教。















































