男性,27岁,反复咳嗽5年,咯血伴胸痛2月
男性,27岁,瘦高体型,BMI=17.9kg/m2。反复咳嗽5年,咯血伴胸痛2月,于2021-02-19入院。
否认慢性病史,否认输血史,否认药物及食物过敏史。
否认有机粉尘接触,否认有毒有害物质接触史。
未婚未育,无性伴侣,否认冶游史。
否认家族性遗传性疾病,2019年其父因“肝癌”过世。
2016年左臂内固定器取出术后发病(具体时间回忆不清),渐起咳嗽、咳痰,无咯血,无全身皮疹,具体伴随症状回忆不清。当地医院诊断为“肺结核”,予2HRE/7HR化疗,症状好转,遵嘱停药,胸部CT仍有病灶,咳嗽、咳痰症状未再发生。

2019-01 因咳嗽、咽痛再次当地医院就诊。咽痛为主,咳嗽症状不重,无咳痰。
胸部CT示双肺病灶,考虑结核复发,动态喉镜检查示:粘膜组织慢性炎伴肉芽组织增生,部分区见上皮样肉芽肿形成及多核巨细胞反应,未见明显凝固性坏死。
再次予抗结核治疗一年,具体化疗方案不详,症状好转,病灶未吸收。

2021-01-15 咳嗽症状再发,伴咯血,伴胸痛(不剧烈,与呼吸相关,不影响活动)及活动后气喘,就诊于浙江。
外周血嗜酸粒细胞比率最高44.1%,外院气管镜下未见明显管腔异常,灌洗液送检常规病原学培养及结核X-pert无阳性发现,BALF细胞分类未查。
建议肺穿刺,患者拒绝,回原籍治疗。

支气管可见痰液黏着,予吸除,右中叶肺泡灌洗液送检结核菌、细胞培养、GM试验未见异常。GeneXpert未见异常。右下行毛刷找抗酸杆菌、找真菌未见异常。结核菌培养(二月后回报阴性)
转回原籍县医院
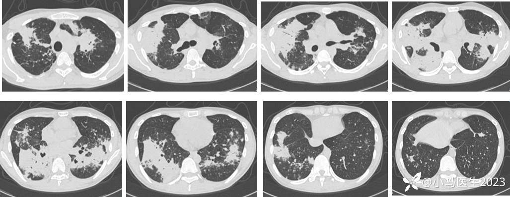
头孢哌酮舒巴坦抗感染治疗2周,胸部CT报告描述病灶与前相仿。
予甲泼尼龙40mg qd静脉治疗1周,病灶有所吸收,咳嗽、咯血及胸痛症状好转,后继用1周。
外周血嗜酸粒细胞仍升高,应用甲泼尼龙治疗后下降。免疫球蛋白IgG升高,诊断不明,建议上级医院就诊。


2021-02-19 入院症状及体征
阵发性咳嗽,不剧烈,不影响睡眠。偶有痰中带血丝及暗红色血块,量少。活动后有气喘,登三楼感气促。
阳性体征:静息心率110次/分,右上肺叩诊实音,双肺呼吸音粗。全身未见皮疹,浅表淋巴结无肿大,无肝脾肿大,无双下肢水肿。
总结病史特点
青年男性,个人史无特殊。症状较轻微,但肺部病变累及多个肺叶,形态多样。外周血嗜酸粒细胞升高。气管镜未见明显异常。常规抗感染无效,激素治疗病灶有所吸收。
初始治疗方案
停用甲泼尼龙,不使用ICS,咯血量多时予止血治疗,平喘对症。完善检查,以期明确诊断。

1.肺实质疾病
2.慢性嗜酸粒肺炎
3.勒夫勒综合征
4.气道疾病
5.Churg-Strauss
6.感染?
7.药物?
8.寄生虫?
入院相关检查
超敏CRP:70.20mg/L
血常规:嗜酸粒细胞 16.5% 1.54*10^9/L
痰真菌荧光:-/+/+
乙肝 两对半及丙肝、艾滋、梅毒抗体均(-)。
痰涂片:G-杆菌2+/2+/2+。
免疫球蛋白:IgM 0.33g/L,余未见异常
血沉:50mm/h
感染四项:PCT 0.152ng/ml、CRP 70.2mg/L、SAA 91.7mg/L、IL-6 15.0pg/ml
吸入、食入过敏原组合:(-)
血真菌G试验、GM试验:(-)
结核效应T细胞:不确定
肿瘤指标:proGRP:24.89pg/ml ↑ ,Cyfra-211:3.38ng/ml ↑ ,NSE:31.78ng/ml ↑ ,CA-125:212.40U/ml ↑
CD4 308/uL ↓ ,CD8 200/uL ↓ ,CD3 544/uL ↓
肌电图:排除MG改变
鼻窦MRI:副鼻窦未见明显异常,右侧下鼻甲肥厚
抗核抗体主要核型:细胞浆-纤维型
抗核抗体主要核型滴度 1:100弱阳性
余自身抗体谱筛查均为阴性
IgE 216 IU/ml
IgG4 4.34g/L
抗Mi-2抗体、抗Ku抗体、c-ANCA、p-ANCA、抗肾小球基底膜抗体IgG、抗髓过氧化物酶抗体IgG、抗蛋白酶3抗体IgG阴性。

停用激素后病灶增多

骨髓穿刺——排除白血病

骨髓穿刺补充结果:
染色体分析未见异常
JAK2 V617F突变检测为阴性
BCR-ABL P210拷贝低于检测下限
MPL W515L/K突变检测为阴性
CALR exon9突变检测阴性
FIP1L1-PDGFRα拷贝低于检测下限
JAK2 exon12突变检测为阴性
排除血液病!
经皮肺穿刺

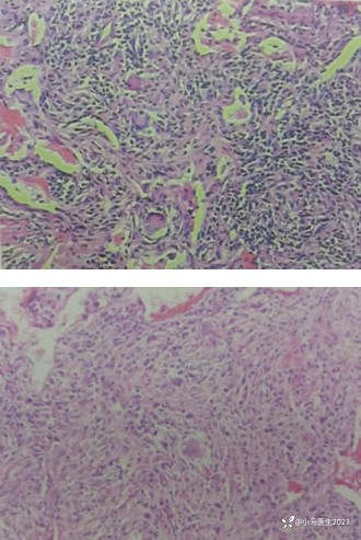
肺实变,肺间质内见大量慢性炎症细胞浸润和微小上皮样肉芽肿形成,特殊染色未见明确病原体,未见嗜酸粒细胞浸润
特殊染色PAS(-),抗酸(-)
结核PCR(-)
讨论:
患者目前的诊断?
诊断依据?
下一步诊疗方案?
诊断与治疗
首先考虑:
嗜酸粒细胞肺炎?
EGPA?
隐源性机化性肺炎?
过敏性肺炎?
感染?
寄生虫?
患者拒绝再行气管镜及肺穿刺
第一阶段激素治疗有效,要求经验性治疗
第一阶段治疗
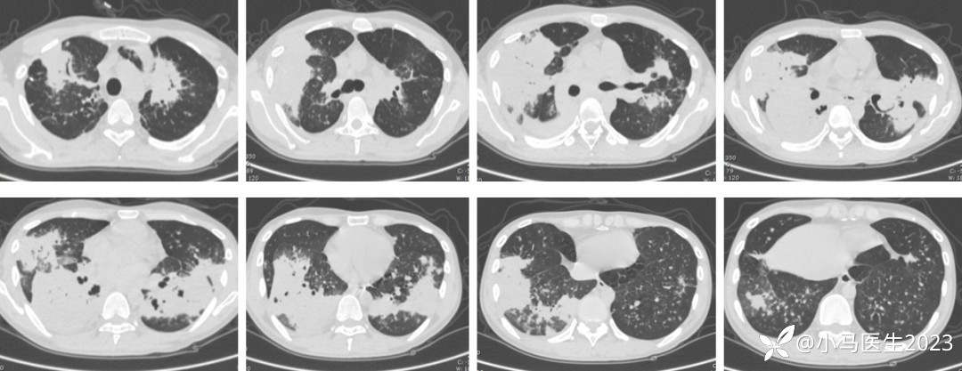
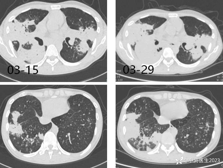
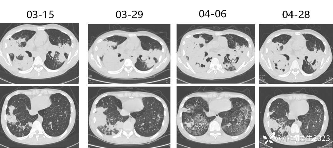
患者要求经验性治疗,予甲泼尼龙40mg qd×7天,03-15复查

胸部CT无明显变化,予口服甲泼尼龙40mg带药出院
第四次入院 03-29
出院后第3天淋雨后咳嗽症状加重
咳黄脓痰,量约40ml/日
咯血,痰中带鲜血或血痰,量约15ml/日
胸痛加重,活动后气喘加重
颜面浮肿,颜面及躯干部散在红色斑丘疹
收入院停激素后发热
氧合指数154,经鼻高流量氧疗

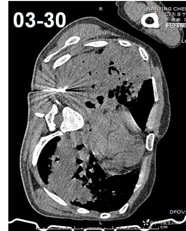
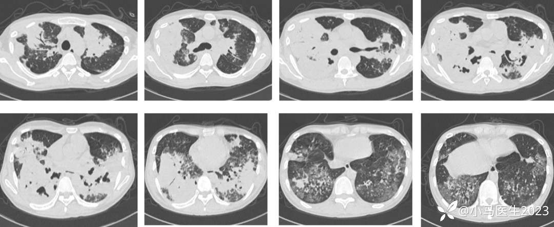
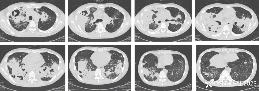
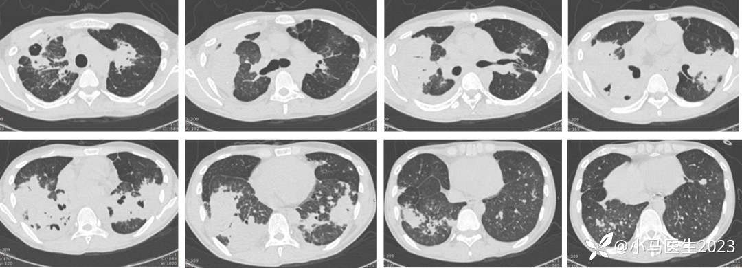
03-29复查胸部CT进展

胸部CT对比

讨论:
症状加重的原因?
下一步诊疗方案?
经皮肺穿刺

04-02
(右肺穿刺标本):送检组织镜下为坏死和少量残存肺泡,其中见反应性组织细胞,细胞浆内见球形病原体,特殊染色阳性,形态学倾向为荚膜组织胞浆菌,请结合临床
免疫组化结果:IgG(+),IgG4(-)。特殊染色:GMS(+),PAS(+),弹力纤维(显示肺泡壁破坏)
治疗

体温不降,氧合不佳,复查CT病灶进展
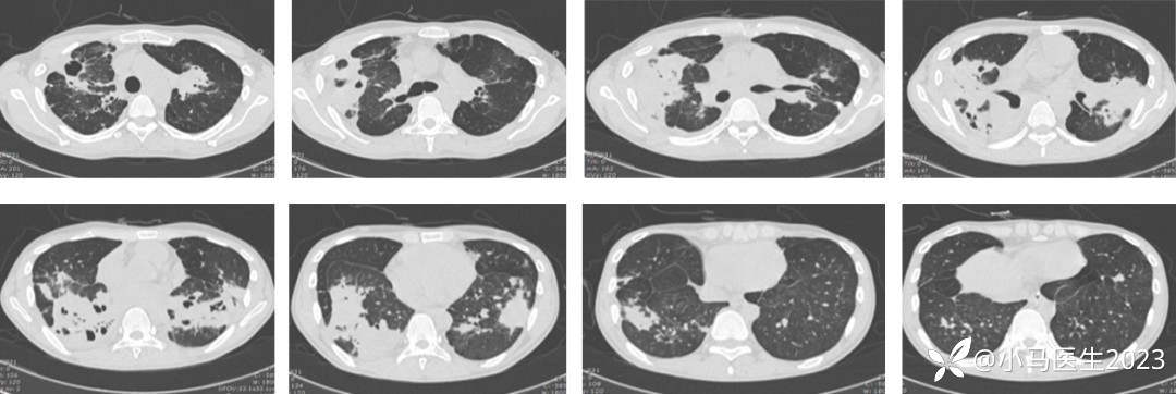
04-06 胸部CT仍进展

即刻追问病史及04-07病原体高通量检测
否认岩洞探险、打扫鸡舍、拆除旧屋、蝙蝠接触、野味食入史
血液

组织屑

抗IFN-γ自身抗体:阴性!

治疗

两性霉素B说明书
1~5mg或按体重一次0.02~0.1mg/kg给药,以后根据患者耐受情况每日或隔日增加5mg,当增至一次0.6~0.7mg/kg时即可暂停增加剂量,此为一般治疗量
成人最高一日剂量不超过1mg/kg,每日或隔1~2日给药1次
累积总量1.5~3.0g,疗程1~3个月,也可长至6个月
为减少本品的不良反应,给药前可给解热镇痛药和抗组胺药,如吲哚美辛和异丙嗪等,同时给予琥珀酸氢化可的松25~50mg或地塞米松2~5mg一同静脉滴注
两性霉素实际应用
1mg D1,以后根据患者耐受情况每日或隔日增加5mg
首次用药前给予异丙嗪+琥珀酸氢化可的松25mg
后续用药仅给予异丙嗪
再次遇到瓶颈
实际操作0.6mg/kg时不耐受

恶心、呕吐,嗜睡,血钾 1.6mmol/L

再度发热

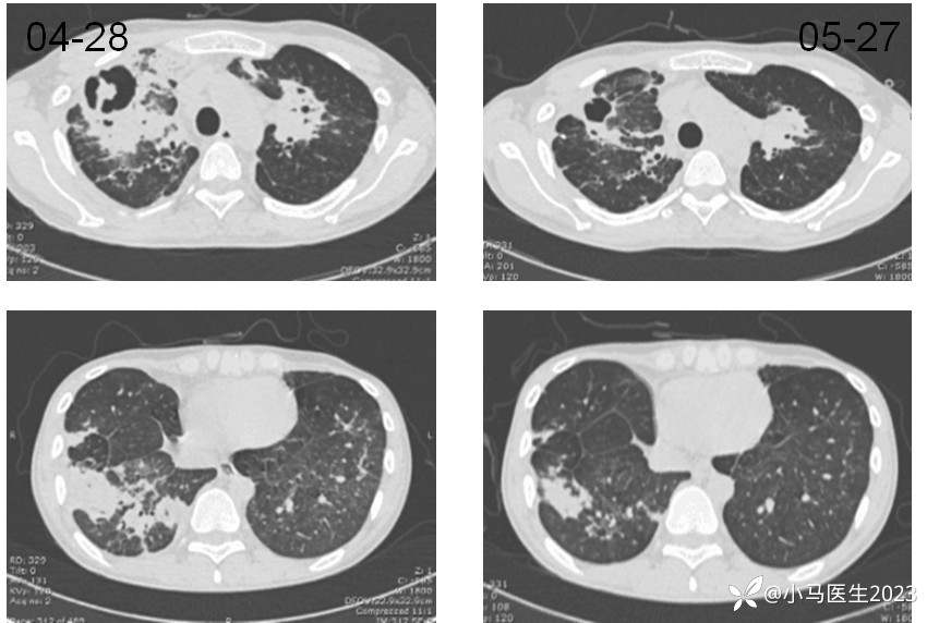
2021-04-28胸部CT进展,空洞形成

胸部CT对比

讨论:
再度发热、症状加重的原因?
下一步诊疗方案?
皮疹再发,皮疹穿刺液送检


二次NGS 血+痰


换用两性霉素B脂质体

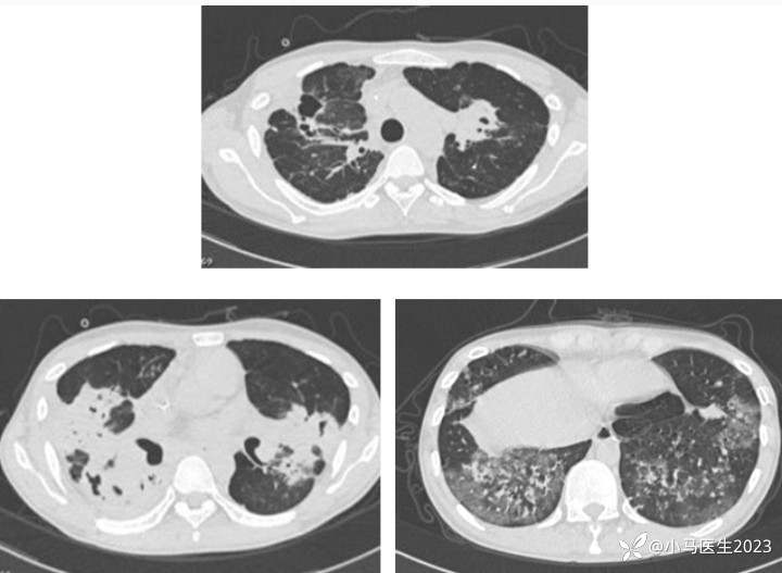
05-12

05-27

对比


马尔尼菲篮状菌的前世今生
原名为马尔尼菲青霉菌penicilliummarneffei(蓝绿色孢子)
2011年更名为马尔尼菲篮状菌(Talaromyces marneffei,TM)
篮状菌属中唯一的温度双相型真菌,腐生,有亲土壤性
菌丝相为传播相,酵母相为致病相
甘蔗、竹笋生长、竹鼠为唯一中间宿主
主要累及单核-巨噬细胞系统

马尔尼菲篮状菌病特点
有地域特色;
竹鼠为唯一中间宿主,不发病;
接触传播,气溶胶传播;
好发于AIDS,免疫缺陷人群,特种养殖业;
主要是侵犯单核吞噬细胞系统,即肺、肝、肠淋巴组织、淋巴结、脾、骨髓、肾和扁桃体等,以肺及肝最为严重;
胞内菌——淋巴间质道感染。
临床表现
发热,可高达40℃以上,不规则热,时隐时现,持续时间长;
累及肺部可有咳嗽、咳痰、胸痛等;
肝、脾、淋巴细胞肿大;
血液系统:白细胞可升高可正常,可有贫血及血小板减少;
播散型约70%可见脐凹诊;
骨骼可有溶骨性破坏或骨折;
累及腹部腹痛、腹泻、便血。
肺马尔尼菲篮状菌病的病理
无反应性/坏死型:仅含酵母样孢子的巨噬细胞及坏死组织,无淋巴细胞、浆细胞及中性粒细胞浸润
脓肿型:大量巨噬细胞及周围中性粒细胞和纤维素渗出(可表现为肺脓肿、皮下组织脓肿、溶骨性骨髓炎)
肉芽肿型:上皮样肉芽肿及多核巨细胞组成,大量泡沫状巨噬细胞增生浸润,胞浆内见大量酵母样真菌孢子(可有皮下结节,肝、脾、淋巴细肿大)
小气道炎症,壁增厚,小气道内充满脓液。
胸部CT表现

吸入/淋巴道传播
下肺分布优势
累及双肺,多叶段分布
实变、磨玻璃、粟粒细节、网格结节等
胸膜增厚,胸腔积液
与结核极易混淆!
马尔尼菲篮状菌的治疗
早期识别,早期治疗有助于挽救生命
伏立康唑
伊曲康唑口服液
两性霉素B
两性霉素B脂质体
有泊沙康唑治疗成功的个案
与组织胞浆菌的鉴别
菌体是否有分隔
腹腔淋巴结是否有融合
环境接触史
抗INF-γ自身抗体



反思与小结
真菌两面性:致病性与致敏性,初始治疗激素有效可能与真菌致敏相关
激素在临床应用需慎之又慎
结核、NTM及马尔尼菲篮状菌影像学极其类似,需仔细鉴别
抗真菌治疗的过程中需要有足够耐心
多学科共同会诊是大势所趋
















































