男性51岁,乏力伴胸闷、憋气4天入院,诊断可以秒杀且过目不忘
病例信息
男, 51 岁,主因乏力伴胸闷、憋气4天于2024-06-11 11:57入院。
病例特点
1.现病史:患者中年 男,患者缘于入院前4天无明显诱因出现乏力,伴胸闷、憋气,无咳嗽,咳痰,无发热,无咽痒,无咯血,无鼻塞、流涕,无发热,无恶心、呕吐,无腹痛、腹泻,无尿频、尿急、尿痛,无血尿及腰背部疼痛,院外查血常规:白细胞数目11.52x109/L,中性粒细胞百分比79.9%,血红蛋白69g/L。院外未服药治疗,症状无好转,现为求进一步诊治来诊,查肝胆胰脾肾彩超:脂肪肝(轻度),脾大。急诊以“低色素性贫血”收住院。。
2.既往史:既往高血压病史4年,血压最高达160/?mmHg,未服药治疗;无冠心病、糖尿病等慢性病史,无肝炎、伤寒、结核等传染病史,无外伤史,无手术史,无输血史,预防接种史不详,否认药物、食物过敏史。
3.查体:T36.2℃,P78次/分,R16次/分,BP130/80mmHg。神清,呼吸平稳,浅表淋巴结无肿大,双肺叩清音,双肺呼吸音清,未闻及干湿性啰音,心率78次/分,律齐,无杂音,腹软,无压痛、反跳痛及肌紧张,双下肢无水肿。
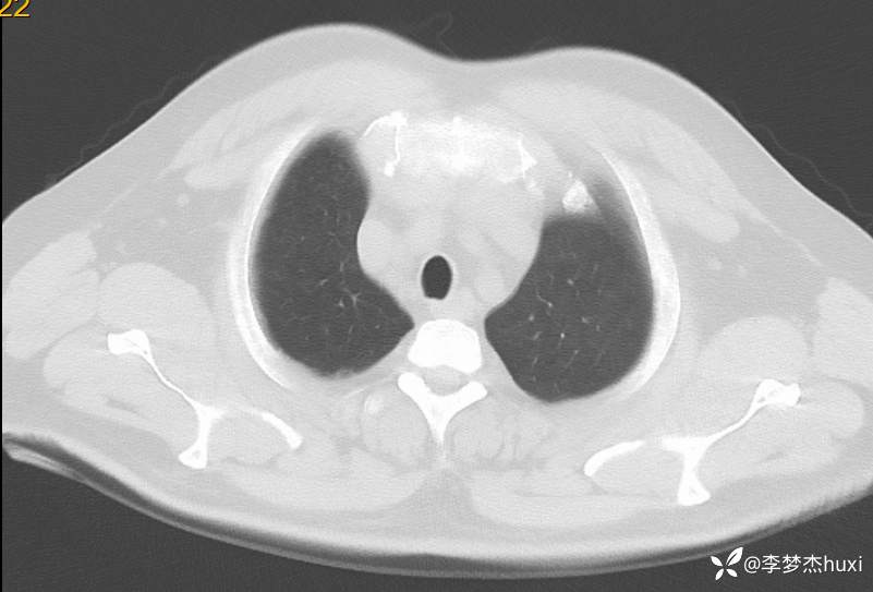
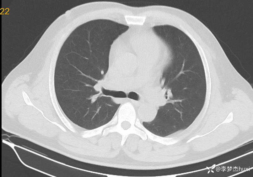
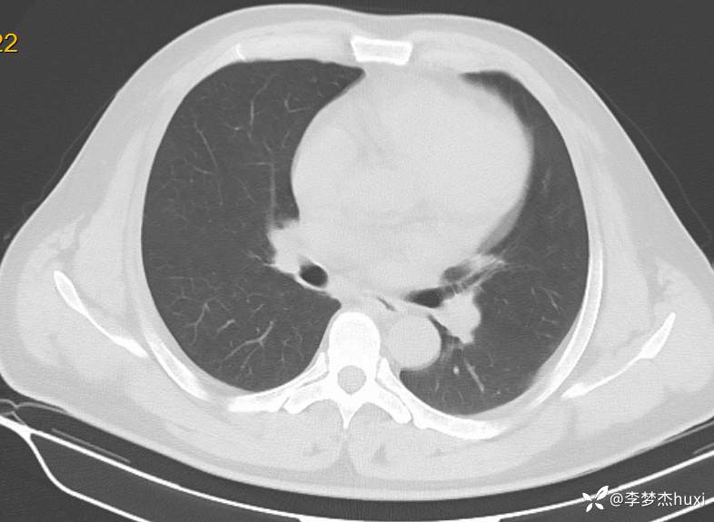
4.辅助检查:暂无。
初步诊断
贫血。
分析处理
患者诊断什么病?
总结与讨论
精准诊断?

























































