女性69岁,胸痛住院,检查发现肺占位性病变,猜病理
患者性别:女
患者年龄:69
主诉:主因胸前区不适2天
简要病史:患者于入院前2天出现双侧胸前区疼痛,每次持续5-10min,伴多汗,无发热,无咳嗽,咳痰,无咯血,无胸闷、憋气,
体格检查:T36.7℃,P70次/分,R18次/分,BP150/80mmHg。神清,呼吸平稳,浅表淋巴结不大,双肺叩清音,双肺未闻及干湿性啰音,心率70次/分,律齐,无杂音。腹部平坦,软,全腹无压痛,无反跳痛及肌紧张,肝脾肋下未触及,双下肢无水肿。
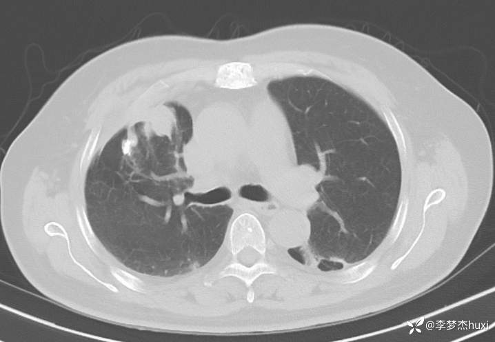
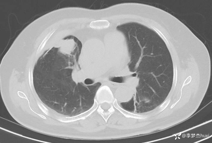
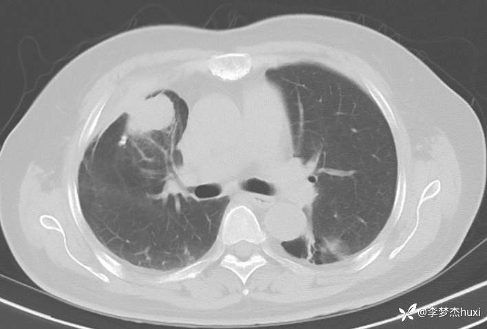
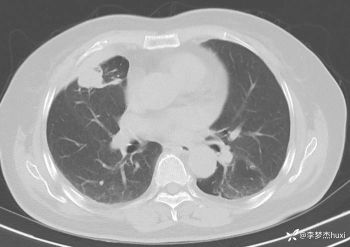
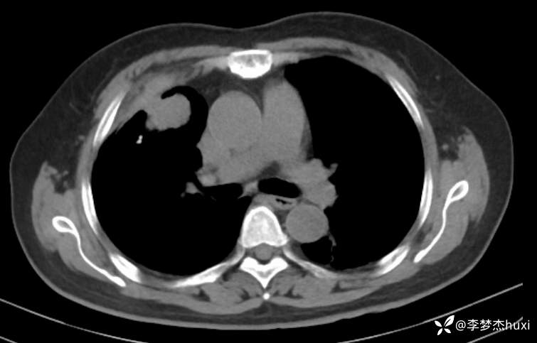
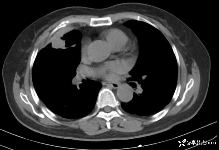
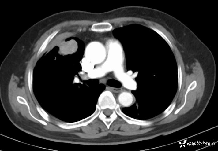
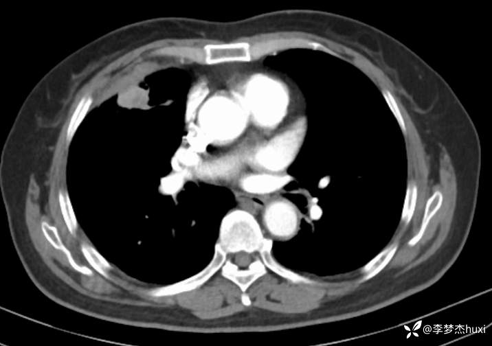
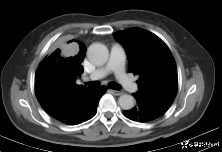
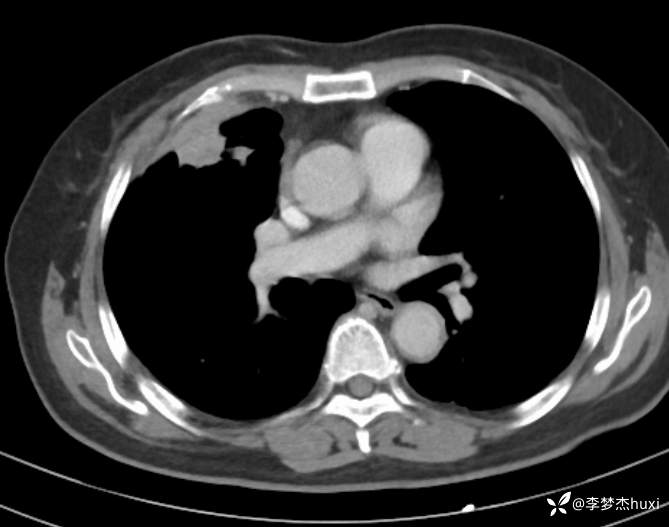
辅助检查:胸部CT:右肺占位?炎症?双肺炎性变,左肺下叶陈旧性病变,双肺纹理增多,主动脉及冠状动脉钙化,双侧胸膜局部增厚,胆囊结石,多发肝囊肿?请结合超声。
临床诊断:肺占位
治疗经过:
讨论:猜病理



























































