(原创)不是感染的寒颤、高热
24号留观室白班,不到11点,留观室内科就剩下两人,很得意,很久没有这么少病人。
中午准时吃完饭,走到抢救室、心内科诊室、神经内科诊室遛遛食,顺便分享一下我的喜悦,哈哈!
就这样一直到下午4点,120突然送来了三个呼碱的,心情瞬间不好了,这就不能乱得瑟!
本以为接完三个呼碱,就这样了,谁知道主角还在后面!
4点16分,分诊护士走到我面前说,“又来了个发烧的。”
分到留观的病人一般都很轻,我不慌忙的走到病人床旁,“咋了?”
一个医生,一个护士正站在病人床边,医生回复我,“寒颤、发热一周了,没找到原因,在我们那住了一周了!”
我看向分诊护士,“这,不去抢救室?”
分诊护士,“生命体征平稳!”
“好,你走吧!”
当地的护士、医生也走了!
具体病史如下,患者的对象提供:男、63岁
7天前在外地旅游的过程中出现发热,坐飞机回来的,最高体温39摄氏度,伴畏寒寒颤,伴乏力,无其他不适,就诊于当地医院,给予抗生素等治疗,仍间断畏寒、寒颤、发热,为求进一步诊治,转入我院!
具体检查、治疗不详!
病人的对象陈述完病史,我说,“7天了没找到原因?”
“是。”回我话的时候病人对象一直面带微笑。
我继续说,“除了发热,没有其他了!”
“没有”
“好,你检查都没拿来,血、ct我就重新给做一遍?”
“好!”
查体,心肺听诊都没事,生命体征很平稳,就是四肢在抖,一直说冷,抱着被子,确实像寒颤!!!
这人有个特点让我感觉很奇怪,一直寒颤、高热,当地医院没查出原因?还有个事,他这个最高体温才39?
我是白班上到晚7!我不喜欢给下个班留下问题,就急急忙忙把病人的检查快速做了!
1个小时,结果全出了!如下:






有意思的出来了,PCt、c反应蛋白不高,白细胞都正常!
看完血,除了最近可能发烧,营养差,白蛋白低,看不出来什么问题!
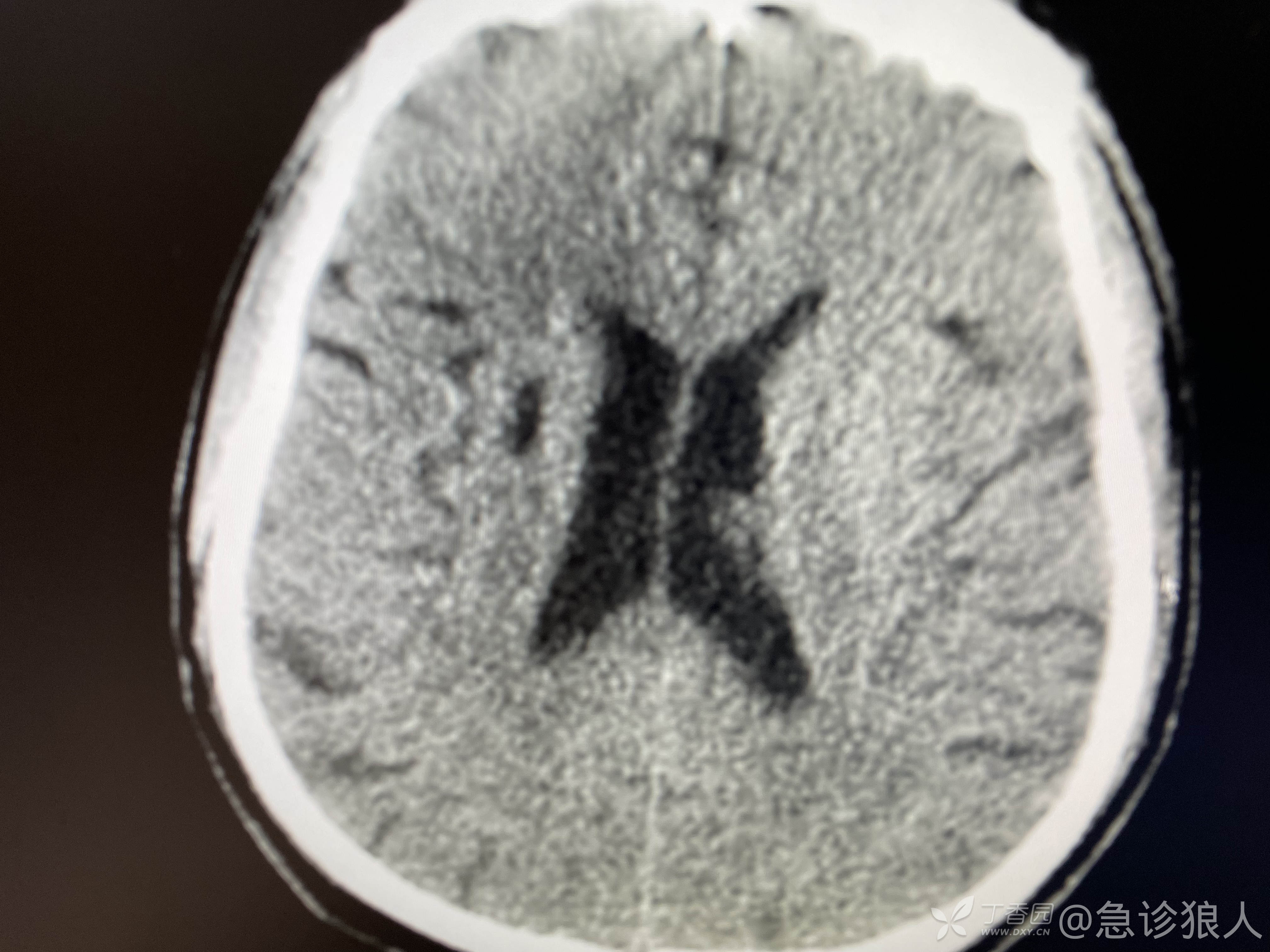
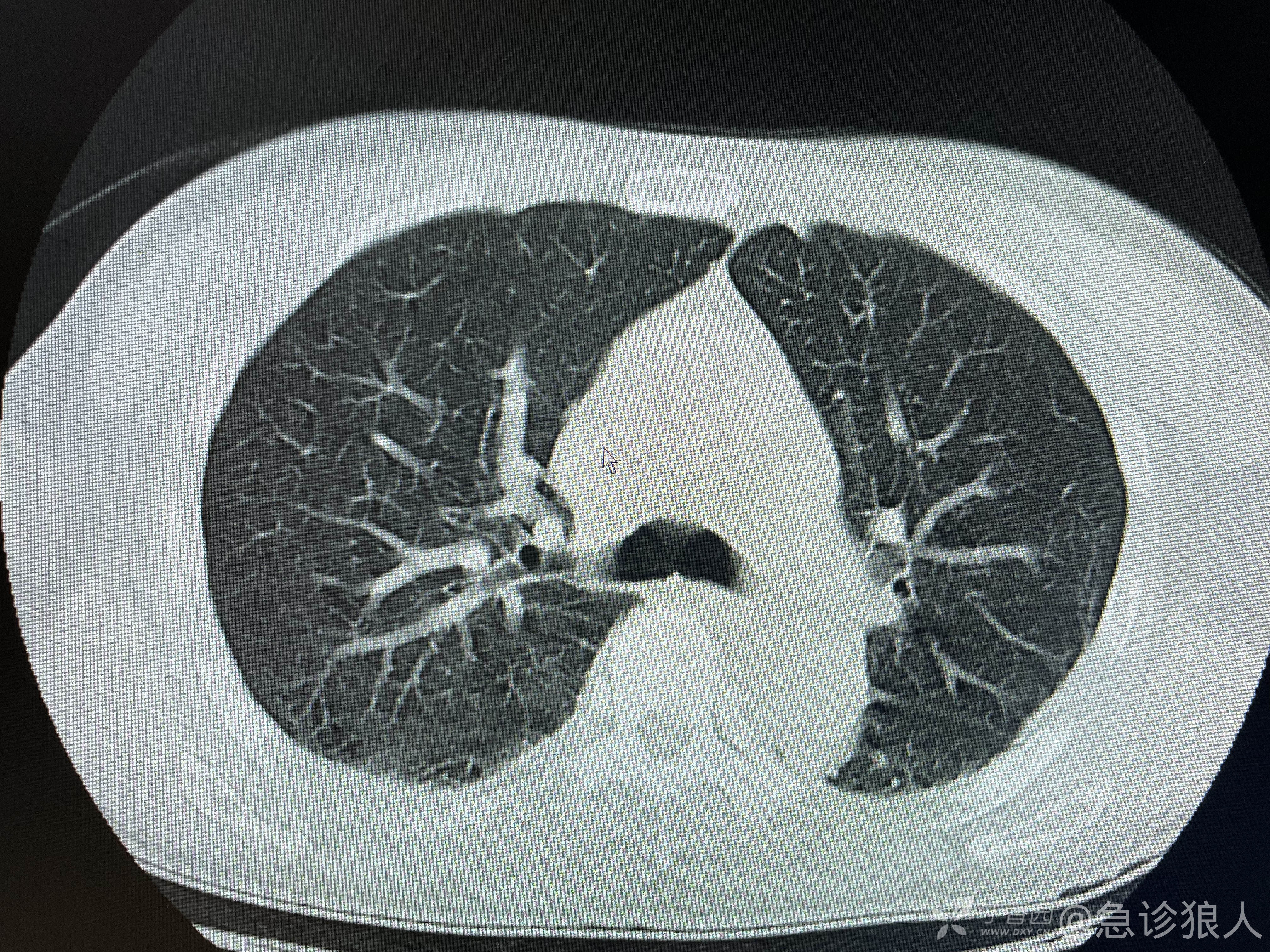
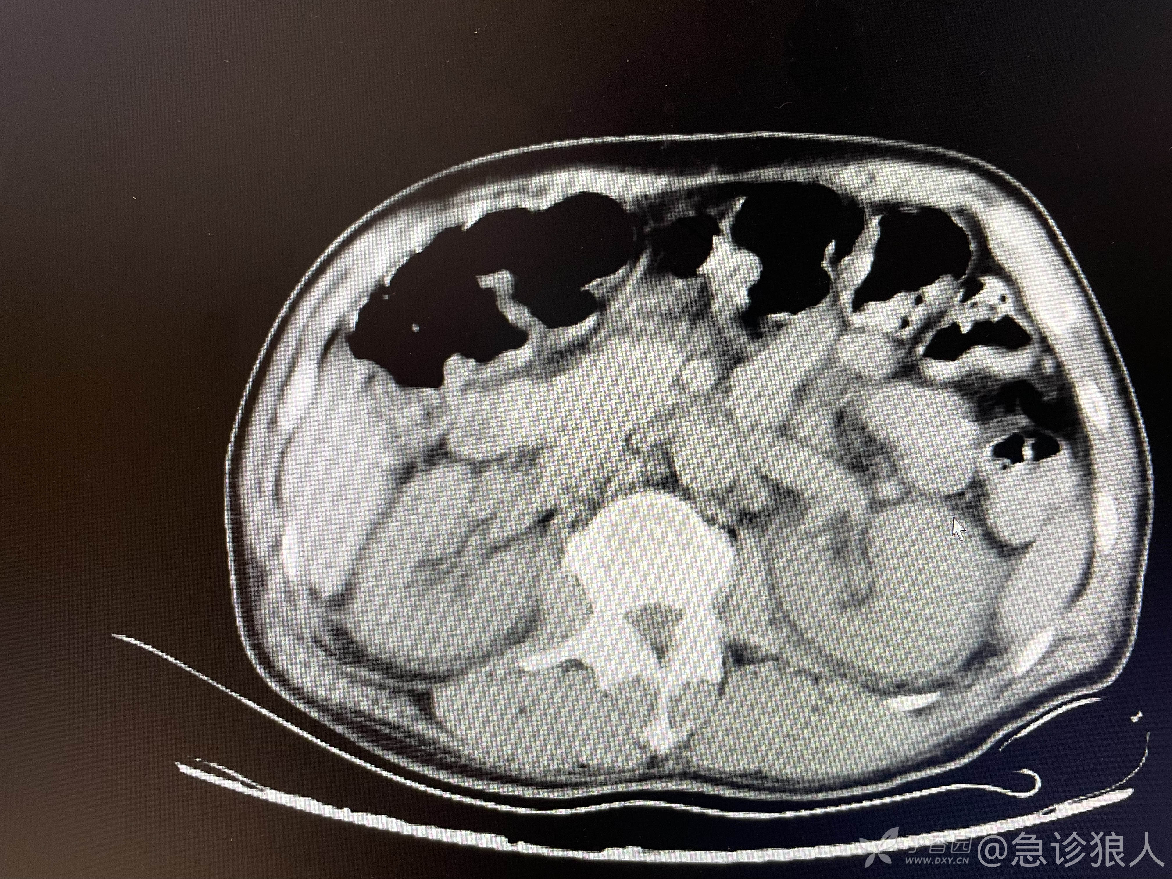
可是ct如下:





看完ct,什么感觉?
脑内软化灶,有点时间了,肾周渗出,可能是新的!
这个病例,就到这里,能交班吗?
不能啊!
感染指标不高,寒颤,高热?
这!
我变得很焦虑,感觉时间不等我!
也许就没事?
哎!就这样吧!
看完血和检查,我走到病人床边,“检查全出来,看着没啥事!”
病人的对象笑着回复我,“没事就好!”
可我发现病人依然,双手拽了被子,一直在抖,并且不理我!我问,“你很难受?”
“嗯”
“量体温了?”
患者的对象说,“38度”
这这!有问题啊!
我把病人对象叫到一边,“原来什么病没有?”
“没有。”
这也太!病人看着确实有事,血却看着还行!
就到这,一点方向性没有!也许确实很多疾病是诊断不明的!
回到电脑前,远远的看着病人,一直在抖!肯定存在问题!但这个抖确实不是寒颤,如果这个抖不是寒颤,那这个发热也不一定是真发热!?
我快步走到病人床旁,把病人抓着的被子拿开!
被子下是一个奇怪的造型,上肢屈曲抖动,下肢不动,下肢明显的强迫体位!
我看了一眼患者的心电监护,呼吸25次,坏了!
我立即问,“啥时候这样的?”
病人的对象,“啥”
“下肢一动不动,上肢一直抖?”
“从下飞机就这样。”
“你没告诉医生?”
“说了啊,就是说累!抬不动腿!”
气死我了!
快速查了一遍体,双下肢肌力最多2级,双上肢肌张力高,最多3级,脑膜刺激征阴性!
说到这,你们感觉这人咋了,重不重?
重啊,呼吸费力,从下肢开始无力,侵袭到呼吸肌就猝死了!
立即把病人转入抢救室,完善血气,血气低钾、低钙,其他正常!
我是没查出来什么病,但是病人要死了!
可笑吧!
把病人转到抢救室,立即走出抢救室和病人家属谈病危!“我没看出病人怎么了,但是病人快不行了,有创的抢救做吗?”
病人对象,“这么重吗?”
“嗯。”
“你确定你对象原来什么病没有?”
“10年前,在法国确诊过狼疮,一直吃激素,回国后,看了中医,说不是狼疮,一直吃中药调理,治好了很久了,最近也不吃中药了。”
“为什么刚开始不告诉我?”
“我们治好了,也确定不是,为什么要说?”
“狼疮治不好,中医能控制狼疮!”
病人对象提供的这个病史,太有价值了!
立即走回抢救室,请了神经内科会诊,没想到,神经内科在我下班前,把病人收走了!
现在猜病人咋了?
提示,中药可以控制住狼疮,即使不用激素,这个病人肯定是停激素后一直吃中药,最近停了中药!
具体免疫系统检查如下:





诊断这一个病例,极具成就感!
来个诊断吧?
很有意思的病例,希望对大家有帮助。
















































