(原创)高热、高血糖但不口渴的少女
“可能急诊科接诊的确实都是急症,新药引入临床后,急诊科看到的都是不良反应,没看到效果。”
凌晨一点,本院双职工带着孩子走进诊室,“断断续续发烧很多次了,这次又发高烧,来看看。”
这个点,我有点困了,本以为就是这波肺炎支原体导致的,就说,“有没有干咳,咽痛,咳嗽?”
患者年龄23岁,但婴儿肥的脸很明显,回答我,“没有。”
“没有?畏寒、寒颤吗?”
“有”
“既往有糖尿病、高血压、冠心病吗?”
“有二型糖尿病。”
听到这,我看了下病人,继续问,“尿频、尿急、尿痛有吗?”
“没有。”
这!听到这,瞬间有点没头绪,继续问“腹痛吗?”
“没。”
这!我说,“留观吧?需要完善一些血检、尿常规和CT。”
“嗯”
整个过程可能是因为双本院职工的原因吧,很顺利。
开了个降烧药,她就去做检查了,很快,所有检查都出来,如下:







就这些检查,病例的特点出来了,白细胞24、c反应蛋白316、PCT1.9感染很重吧,血糖20,可能是高烧诱发的。
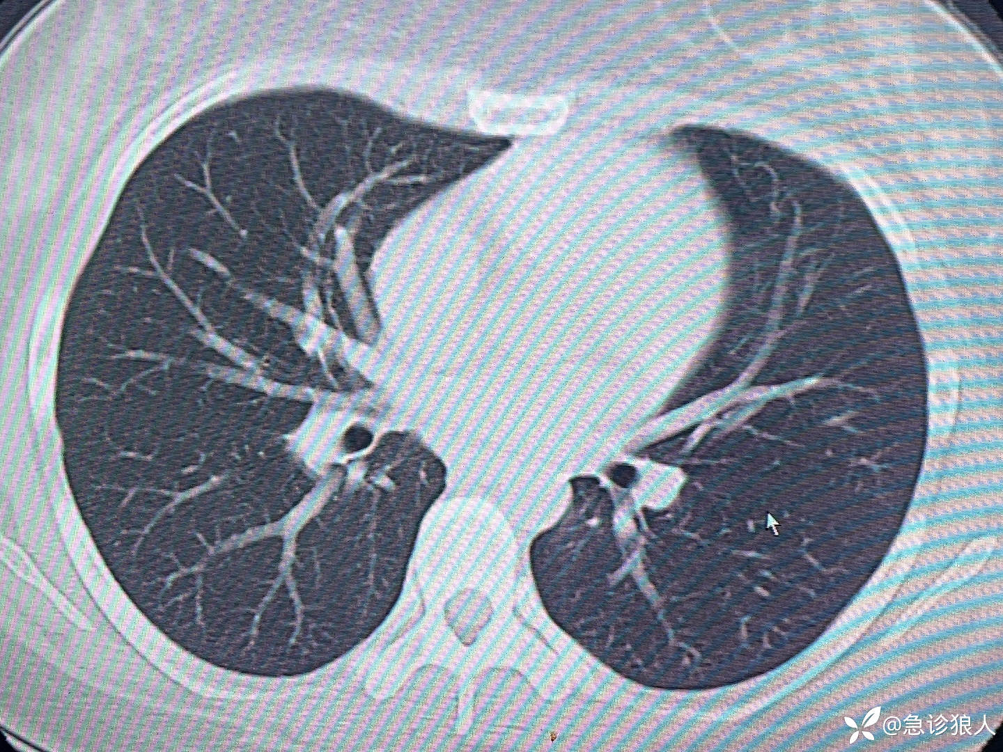
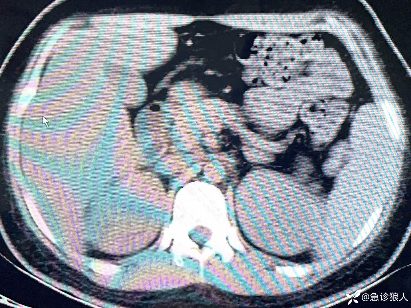
CT和尿常规没找到明显的感染灶。
问题是这个年轻,白细胞及炎症指标为什么这么高!
看完检查,就走去了留观室,体温下降了,病人正坐在床上和她爸爸聊天,我问“有哪里不舒服吗?”
看着我,带着笑容说,“现在没有了。”
“没有了?”
我看了下她父亲说,“你跟我来吧?”
转身刚要走回诊室,我转头说,“多喝点水吧?”
“我不渴,为什么要喝水?”
啊!我快速扫视一圈她床边和柜子上,确实没有水,这怪了哎!
“你不口渴?喝了水,会怎么样?”
“我不口渴,喝了会有点恶心。”
“一直这样?尿的多吗?”
“尿的多,一直这样。”
“你血糖这么高,肯定尿的多,你平时喝水不多?”
“一般吧,但我现在不渴。”
这!
带着患者的父亲,走回诊室,我说,“C反应蛋白316,白细胞24,pct1.9感染很重,但是没找到感染灶。”
她父亲很淡定说,“一直断断续续这样,好多次了,你看着弄吧。”
“啊?还有个事,我一般遇到这种病人,患者都会口渴,但是她不口渴。”
我想问他是哪个科的,没好意思,我继续说,“血糖20,钠129,钾4.1,尿酮体弱阳性,渗透压不高,可以不渴,但总感觉她应该口渴。”
她爸看着我不说话。
我说,“好吧,我给开上抗生素,你回去吧,好好守着,天亮了住院吧?”
“嗯”
她爸站起来要走,快走出门,我突然意识到啥说,“平时用…什么糖肽控制血糖?就是一周打一次的那个?”
她爸转身看着我说,“是啊,度拉糖肽,这个药怎么了吗?内分泌主任开的。”
“这,没啥,你回去吧!”
度拉糖肽!
确实有意思,上次接诊一个患者也是打这个药,为了减肥。
血常规也是白细胞很高接近30、血红蛋白也是高具体值忘了,C反应蛋白稍高,那个很好解释,度拉糖肽的一个副作用脱水,胃肠道失水导致的,且患者没感觉到自己脱水。
这个患者呢?
血红蛋白121不高,但患者肌酐95,我可以怀疑患者存在脱水,但患者也没感觉到,且凌晨1点了,患者胃里、小肠里依然有液体,明显的延缓胃排空,从而也延缓了吸收吧?
这种胃肠道,我个人认为胃肠道菌群移位导致感染也不能排除,毕竟没找到感染灶且PCT1.9,是吧?(度拉糖肽也会导致pct高,要排除。)
我给患者下了1500ml电解质,抗生素给了舒普深、可乐必妥,就这样吧!
问题是如何验证诊断是对的!
我个人感觉很难!
隔了约24小时,患者的复查血如下:




很快,患者白细胞下降到11,肌酐恢复正常,不知道这能不能证明患者存在脱水。
如果患者存在脱水且感染来自胃肠道,那么患者的这个断断续续发热找不到原因,不就可以归因为度拉糖肽的副作用?
希望对各位老师有帮助。
(注,患者应用度拉糖肽半年,糖化一直8左右,这次7.8,既往血脂不知道,这次1.79,尿蛋白阳性,这个药有宣传的那么好?)
















































