病例分享|年轻小伙不明原因高热,原因竟是因为Ta
情Ca晚期等 2人推荐清明前夕,一个23岁男性因间断性发热伴双胸部疼痛5天余就诊于我院急诊医学科,自诉最高体温40.2℃,于当地卫生室输液治疗后可自行降温,最低体温37.0℃。伴有双胸部疼痛,主要为双肋下疼痛,夜间盗汗,偶有恶心。余未诉其它症状,入科查体:T39.0℃,P127次/分,BP148/96mmHg浅表淋巴结未触及肿大。口唇无发绀,扁桃体无肿大及化脓,双肺呼吸音粗,未闻及干湿性啰音。心率127次/分,律规整,各瓣膜听诊区未闻及病理性杂音。腹部平坦,腹肌软,全腹无压痛及反跳痛,墨菲氏征阴性,麦氏点无压痛。
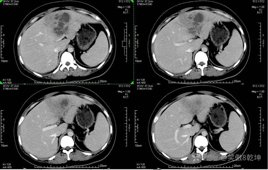
入科后值班医生考虑患者高热,于当地卫生室输液治疗后效果欠佳,于外院就诊时血常规示白细胞、中性粒细胞、CRP明显升高,上腹部CT示脂肪肝,肝左叶6×6cm更低密度灶,患者体温上升时伴有胸腹部疼痛,遂完善相关检查,结果如下:
血常规+CRP+SAA

心肌标志物三项

甲型、乙型流感抗原检测

流感抗原阴性,肺部CT:双肺多发结节,支气管炎,扫描范围内脂肪肝,肝左叶低密度灶。遂以发热原因待查收治住院治疗。
收治住院后完善相关检查:
肝肾酯糖电解质

血沉

降钙素原

尿淀粉酶

疟原虫

甲状腺功能五项

尿液分析

患者热型呈近似间歇热,常见间歇热主要见于疟疾、急性肾盂肾炎等浓腔性疾病,患者尿液分析可除外急性肾盂肾炎,疟原虫镜检阴性除外疟疾,此患者布鲁氏杆菌结果及血培养结果未回,肝左叶可见斑片状更低密度灶。于我院完善肺部CT检查示提示肝脏6X6cm低密度灶,考虑更低密度灶为肝脓肿,但患者无黄疸,墨菲氏征阴性,体温升高时出现上腹部疼痛,查体剑突下压痛,且患者血糖、尿糖、尿酮体升高,考虑是否胰腺脓肿,脓肿累及胰岛细胞,导致胰岛素分泌异常,进而导致血糖升高。
此患者因未入医保,所以在尽可能的省钱的情况下完善检查,后经科室集体讨论,建议患者完善上腹部彩超,结果回示:

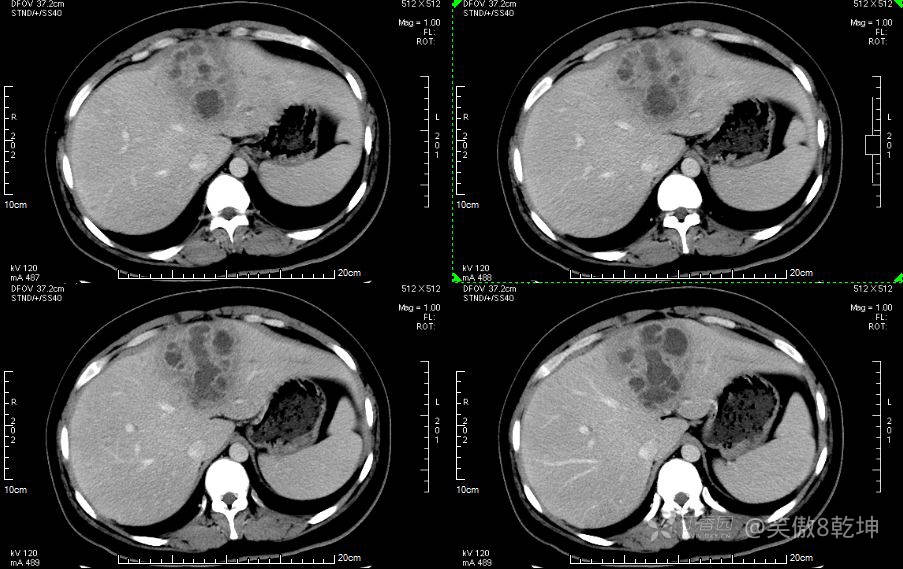
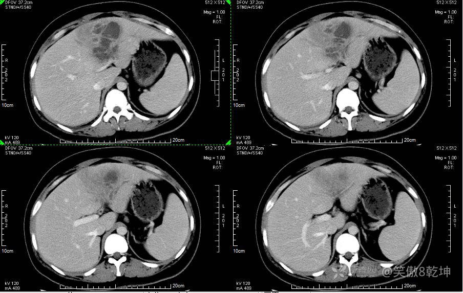
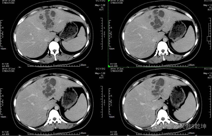
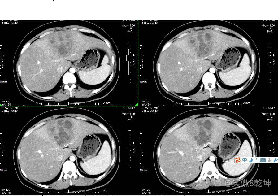
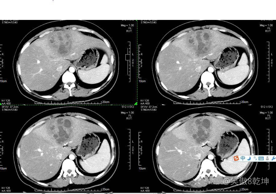
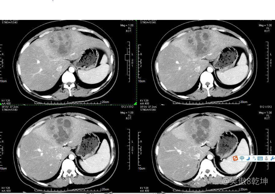
诊断似乎倾向于肝脓肿了,与患者或家属沟通后完善上腹部强化CT:











证实为肝脓肿,至此,诊断思路似乎清晰起来,患者血糖的升高使得微小血管容易出现循环障碍,同时白细胞的吞噬能力及抗感染能力下降,所有易出现感染性疾病。而肝脓肿通常不容易早期发现。患者的年龄同时让临床医生不容易想到此诊断。
















































