老年女性,多发肺部阴影
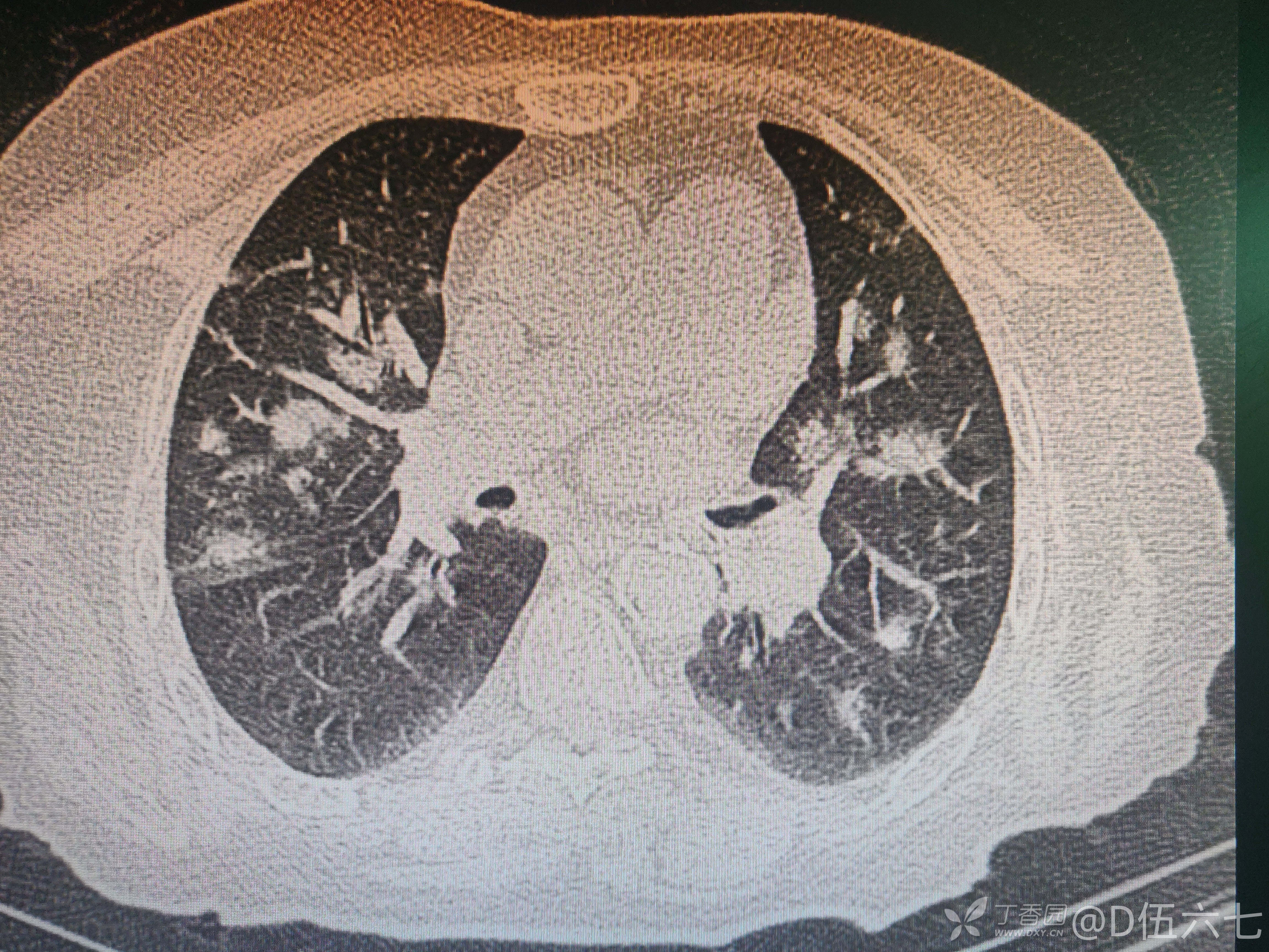
李梦杰huxi 达人已点赞68岁女性,有糖尿病、脑梗塞史,平素胰岛素控制血糖,血糖控制不稳定。三天前无明显诱因低热一次,后未再出现发热,近两日来失声、呼吸急促来诊,急诊测SpO2 92%,右肺痰鸣音。
请各位大佬分析影像特点
金葡?结核?真菌?其他?







李梦杰huxi 达人已点赞68岁女性,有糖尿病、脑梗塞史,平素胰岛素控制血糖,血糖控制不稳定。三天前无明显诱因低热一次,后未再出现发热,近两日来失声、呼吸急促来诊,急诊测SpO2 92%,右肺痰鸣音。
请各位大佬分析影像特点
金葡?结核?真菌?其他?







