求救,反复发热,干咳7天
 李梦杰huxi 达人已点赞
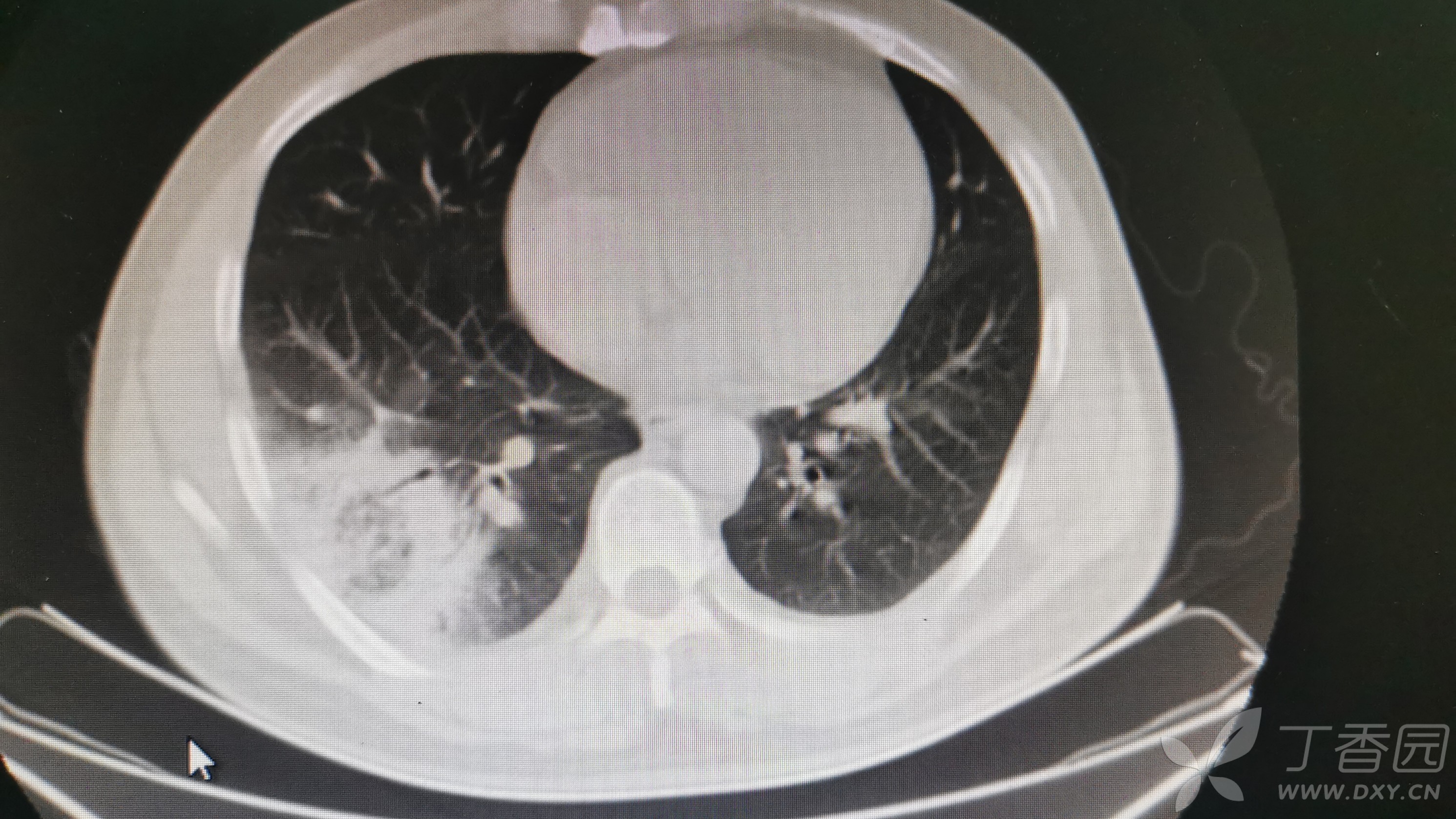
李梦杰huxi 达人已点赞47岁男性,装修工人





G试验阴性,用了头孢他啶+左氧2天,仍有反复发热,最高达39.5摄氏度,头痛、肌肉酸痛好转。
血培养、痰培养都没出结果,考虑啥病原体感染???求抗生素指导
各位老师们,感谢大家的支援!28号早上主任休年假回来一看,说考虑大叶性肺炎,让我把头孢换成了哌拉西林,哌拉没药,所以上的阿莫西林克拉维酸钾1.2g q8h,当天下午就不发热了,真是😭😄🙅♀️🉐
 李梦杰huxi 达人已点赞
李梦杰huxi 达人已点赞47岁男性,装修工人





G试验阴性,用了头孢他啶+左氧2天,仍有反复发热,最高达39.5摄氏度,头痛、肌肉酸痛好转。
血培养、痰培养都没出结果,考虑啥病原体感染???求抗生素指导
各位老师们,感谢大家的支援!28号早上主任休年假回来一看,说考虑大叶性肺炎,让我把头孢换成了哌拉西林,哌拉没药,所以上的阿莫西林克拉维酸钾1.2g q8h,当天下午就不发热了,真是😭😄🙅♀️🉐
