男性48岁,咯血3小时,咯血病因?
患者性别:男
患者年龄:48
主诉:咯血3小时
简要病史:患者于入院前3小时无明显诱因出现咯血,为鲜红色,量较多,约10ml,伴胸闷、压气,伴咳嗽,无明显咳痰。
体格检查:T36.2℃,P110次/分,R20次/分,BP250/130mmHg。神清,呼吸平稳,浅表淋巴结不大,双肺叩清音,双肺未闻及干湿性啰音,心率110次/分,律齐,无杂音。腹部平坦,软,全腹无压痛,无反跳痛及肌紧张,肝脾肋下未触及,双下肢无水肿。
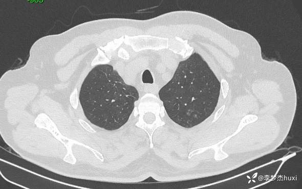
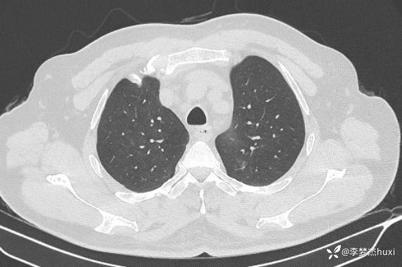
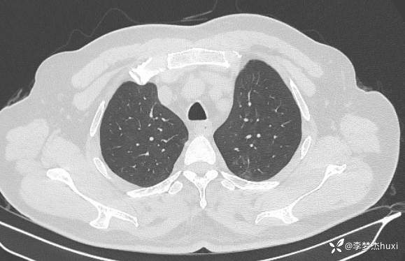
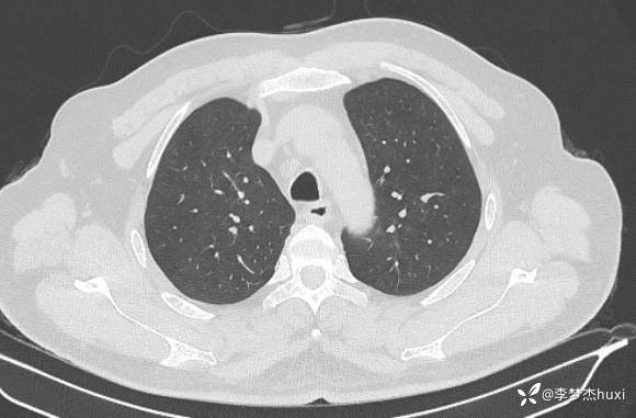
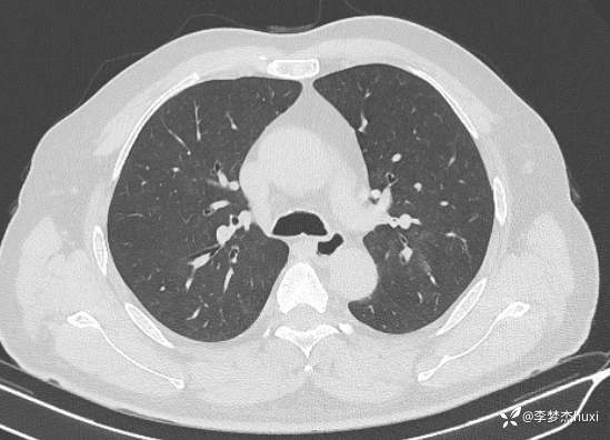
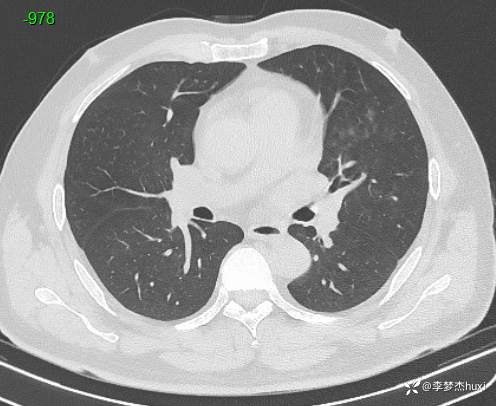
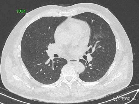
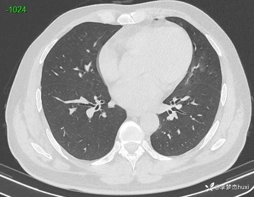
辅助检查:胸部CT:双肺炎症,双肺纹理增多,主动脉及冠状动脉钙化,主肺动脉稍增粗,右侧肾上腺点状高密度影,考虑脂肪肝。
临床诊断:肺炎咯血
治疗经过:莫西沙星
讨论:病猜原























































