一例惨痛的急腹症
男,79岁,腹痛2天。既往有高血压病史20年,规律服用络活喜5mg/日;有冠心病十年,8年前因心动过缓曾行心脏起搏器置入术。
5月11日17时,进食油腻食物后出现上腹部疼痛,脐周稍上明显,持续胀痛,无放射痛,休息后无缓解,伴恶心、出汗、乏力。查体:血压180/80mmHg,心肺(-),腹平软,除脐周稍上压痛,余无特殊阳性体征。



2022.05.11 我院心电图示:起搏心律,室早,起搏器功能正常;
2022.05.11 腹部B超示:肝囊肿,餐后胆囊,胆囊壁结晶,双肾结石。
首次就诊腹痛原因未明确,拟予住院,患者拒绝,予铝碳酸镁、山莨菪碱等对症治疗。
患者回家后腹痛持续不能缓解,解稀水便一次,颜色不详,5月12日晚再次就诊。查体:上腹部压痛(+),无反跳痛,Murphy征(-),肠鸣音正常。
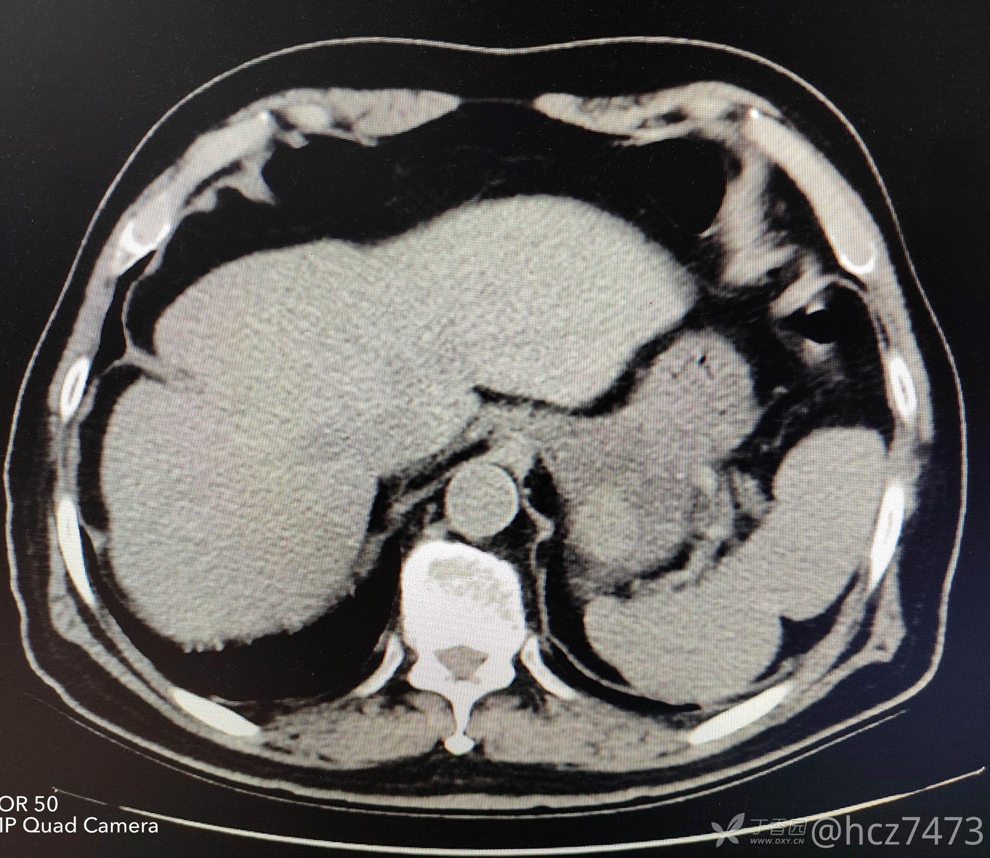
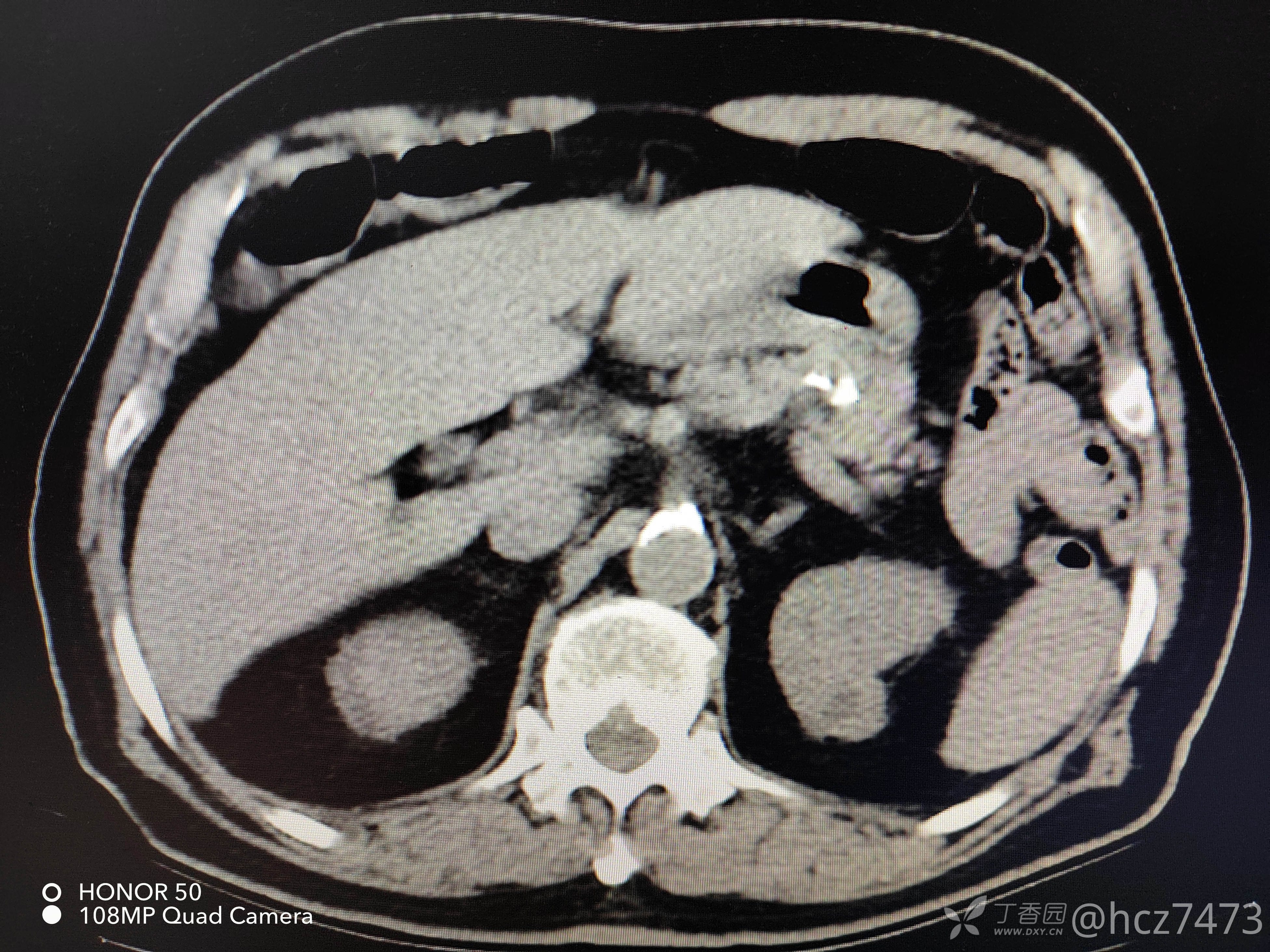
2022.05.12 我院腹盆腔CT检查:





CT报告:胃底部类圆形等密度影,肝左叶内低密度影,胰腺钙化灶,脾脏点状稍高密度影,左肾低密度影,膀胱后壁轻度增厚,前列腺增生。
以“腹痛待查”于5月13日01:30收住院。患者疼痛持续,自诉疼痛明显。入院查体:T36℃,P60次/分,R20次/分,BP 194/85mmHg(双上肢)。神清,痛苦貌。皮肤粘 膜无黄染。双肺(-),心率60 次/分,律齐,无杂音。腹平软,无腹式呼吸,脐周稍上轻压痛,无反跳痛,肠鸣音不亢。



入院后抗炎治疗、静滴山莨菪碱、兰索拉唑等对症治疗,疼痛无减轻。
8:00出现发热,体温38℃,腹部出现肌卫,脐周及右中下腹出现压痛和反跳痛。











2022-5-13下午肠系膜上动脉造影及溶栓术:造影示肠系膜上动脉中段主干闭塞,远端分支血管未显示,导丝缓慢通过闭塞段,溶栓导管置于闭塞血管内,注入尿激酶20万u,再次造影示远端部分血管分支血管显示。
2022-5-16非常残酷的手术
















































