消化系统少见病(八十八):贫血查因
一名53岁男性因缺铁性贫血进一步查因而就诊,患者否认呕血、便血及黑便史,否认腹痛、消化不良、胸痛、气急等症状。
既往史无殊。查体无明显异常。
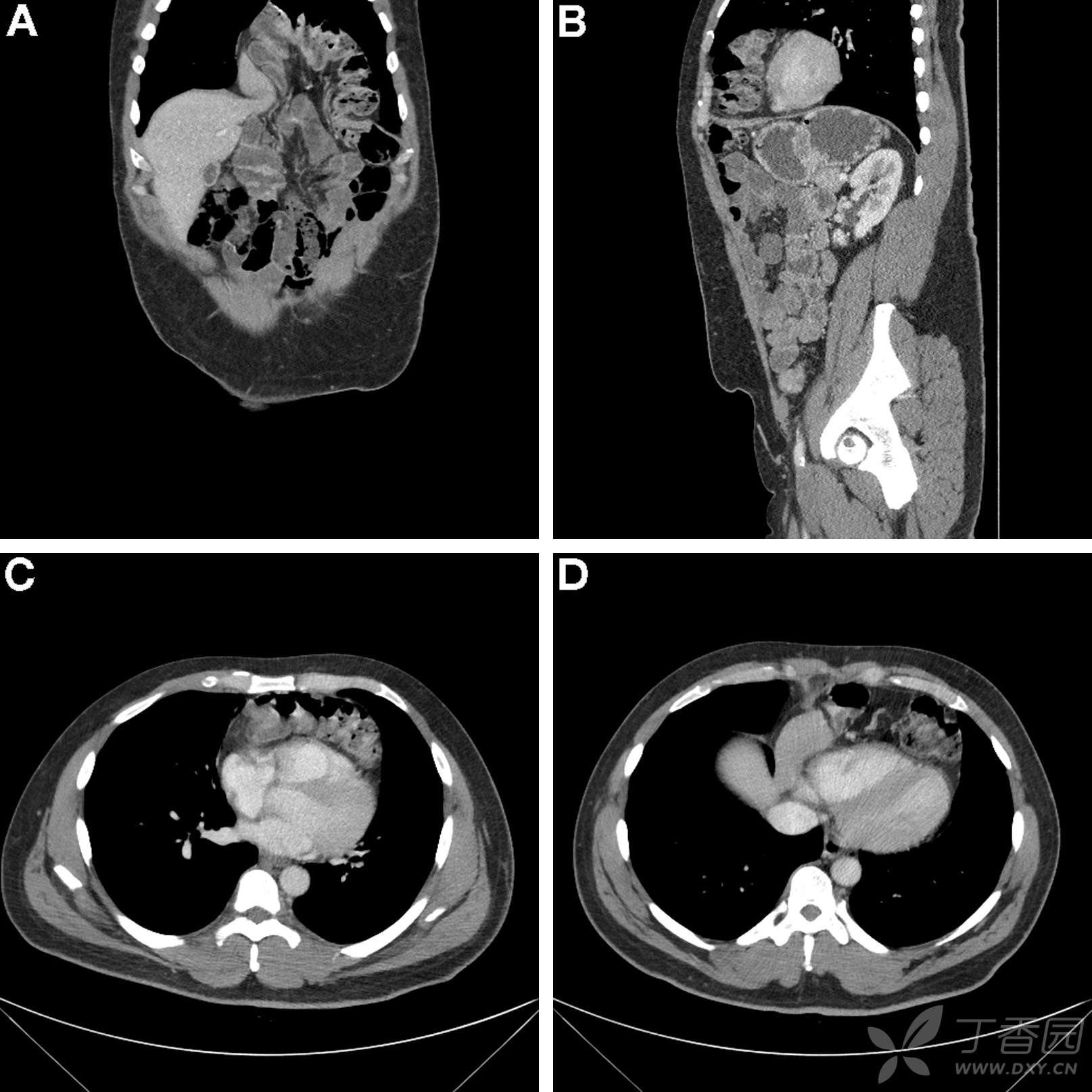
胃镜检查无异常,肠镜检查可见2个腺瘤样息肉。胶囊内镜提示小肠中段外压改变或粘膜下肿物。进一步的CT小肠成像如图A-D。
请问:诊断是什么?如何处理?

(Gastro,14-Jan)
上一期:消化系统少见病(八十七):"气管样"食管 - 消化内科 - 专业医生社区,医学、药学、生命科学、科研学术交流 (dxy.cn)
下一期:消化系统少见病(八十九):十二指肠多发溃疡灶(答案公布) - 消化内科 - 专业医生社区,医学、药学、生命科学、科研学术交流 (dxy.cn)















































