消化系统少见病(八十九):十二指肠多发溃疡灶
一名71岁男性患者因黑便及贫血就诊。
1个月前因房颤开始亭扎肝素治疗。3个月前因疑诊甲状腺癌行手术治疗,术后病理提示为血管肉瘤,并因发现肺转移灶而给予紫彬酚进行化疗。
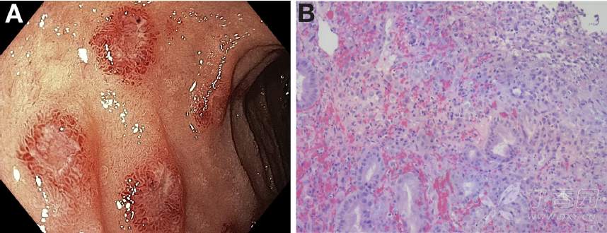
胃镜检查提示十二指肠多发色红溃疡灶,周围粘膜略隆起(图A),其中2处出血灶予钛夹及APC处理。取材病理如图B。
请问:诊断是什么?
A 十二指肠溃疡 B 十二指肠转移瘤 C 淋巴瘤 D 化疗所致溃疡 E 嗜酸性肠炎

(CGH,21-Sep)
上一期:消化系统少见病(八十八):贫血查因 - 消化内科 - 专业医生社区,医学、药学、生命科学、科研学术交流 (dxy.cn)
下一期:消化系统少见病(九十):双下肢皮损 - 消化内科 - 专业医生社区,医学、药学、生命科学、科研学术交流 (dxy.cn)















































