贫血的原因会是什么?
女性,76岁,因腹痛6天入院。既往有糖尿病。无呕血黑便,无发热畏寒,无咳嗽咳痰。精神饮食差,体重无明显变化。血压心率呼吸正常,


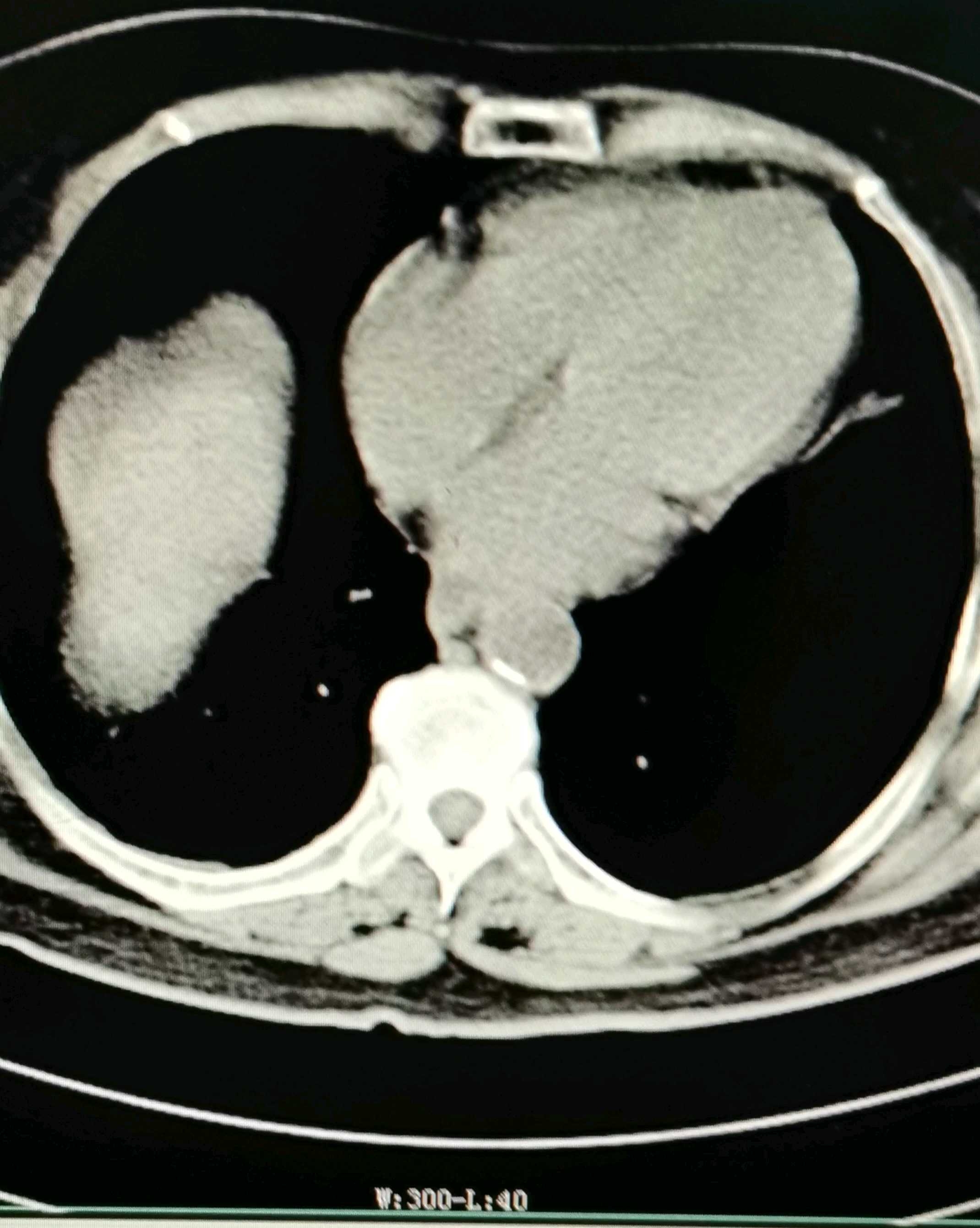
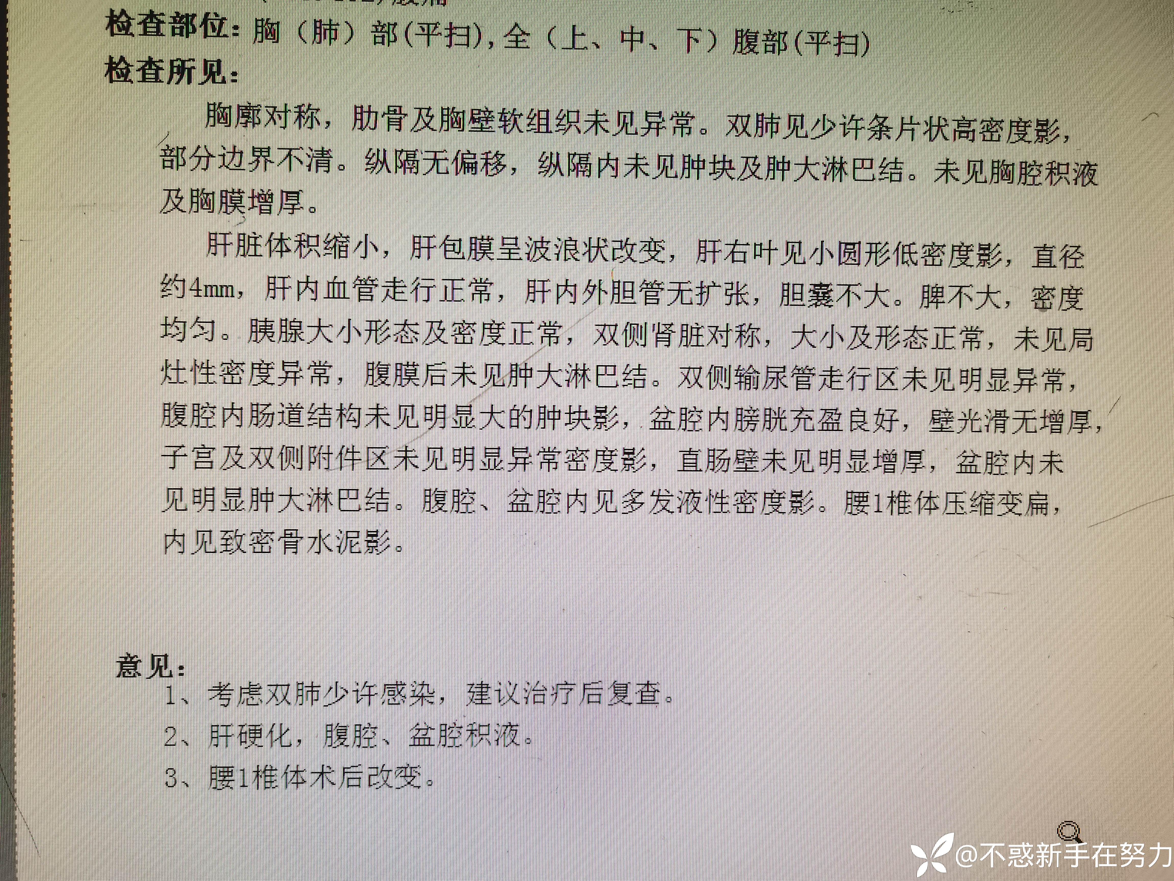
这次检查有肝硬化腹水,血红蛋白值53,入院后还是有下降,不清楚血红蛋白低的原因!难道就是肝硬化引起?其实病程已经很长了?老人家描述突发是错误的。恳请老师们指点迷津!望版主推荐帮忙分析!
















我的想法是进一步做个大便隐血,抽腹水做常规检查,血液检查乙肝病毒,排除结核。贫血原因是什么?
女性,76岁,因腹痛6天入院。既往有糖尿病。无呕血黑便,无发热畏寒,无咳嗽咳痰。精神饮食差,体重无明显变化。血压心率呼吸正常,


这次检查有肝硬化腹水,血红蛋白值53,入院后还是有下降,不清楚血红蛋白低的原因!难道就是肝硬化引起?其实病程已经很长了?老人家描述突发是错误的。恳请老师们指点迷津!望版主推荐帮忙分析!
















我的想法是进一步做个大便隐血,抽腹水做常规检查,血液检查乙肝病毒,排除结核。贫血原因是什么?
