血栓or夹层?
石南419 推荐刘某,女,73岁 2021-04-21入院
代诉: 言语含糊、右侧肢体活动不灵1天
现病史: 1天前家属发现患者言语含糊,伴右侧肢体活动不灵、流涎、轻微饮水呛咳、吞咽困难,表现为右上肢抬举费力,右下肢行走拖曳,无头晕、头痛,无恶心、呕吐,无意识障碍,无大小便失禁。为诊治就诊于西安市红会医院,行相关检查并给予治疗(静滴依达拉奉、醒脑静、棓丙酯、甘油果糖)。病情逐渐加重,出现不能言语,但可理解他人谈话,行头颅DWI未发现新发病灶(未见报告),无恶心、呕吐,无意识障碍,无大小便失禁。为行进一步转来我院,急诊以“[脑梗死、大脑中动脉狭窄、高血压、糖尿病]”收入我科。发病以来,神志清,精神一般,食欲一般,睡眠较差,大便正常,小便正常,体重无明显变化。
既往史: 否认肝炎、结核、疟疾病史,“高血压史”3周,血压最高170/100mmHg,平时服药控制(具体不详),未规律监测血压。“2型糖尿病”3周,空腹及餐后2小时最高血糖不详,未规律服药,空腹血糖波动在4.2-5.6mmol/l,餐后2小时血糖未监测。否认“冠心病”等病史。,否认手术、外伤、输血史,预防接种史不详。平素健康状况良好,传染病史无,手术史无,输血史无,药物过敏史:无,食物过敏史:无,其他过敏史:无,预防接种史 无。
个人史: 生居本地,无疫区居住史,无疫水、疫源接触史,无放射性物质、毒物接触史。月经史:不详婚育史:22岁结婚,育有2子1女。配偶健康状况良好,无吸烟史,无饮酒史,无冶游史。
家族史:父母已故,兄弟姐妹健在,否认家族性遗传病史。
神经系统查体:GCS 12分(睁眼反应 4+语言 2+运动 6),NHISS评分9分(面瘫2+右上肢3+右下肢2+语言 2),右利手,查体部分合作,混合性失语,粗测智能查体不配合。额纹对称,神志清,精神差,双眼闭目紧,双侧瞳孔等大等圆,直径约4.0mm,对光反射灵敏,眼球运动自如,无眼震,右侧鼻唇沟浅,口角向左歪斜。悬雍垂居中,双侧软腭抬举良好,咽反射灵敏、转颈、耸肩查体不配合。伸舌右偏,无舌肌纤颤及萎缩。右上肢肌力2级,右下肢肌力3级,左侧肢体肌力5级,四肢肌张力正常。四肢深浅感觉及共济运动查体不配合。右侧巴氏征阳性,左侧巴氏征阴性。颈软,无抵抗。双侧布氏征及克氏征均阴性。
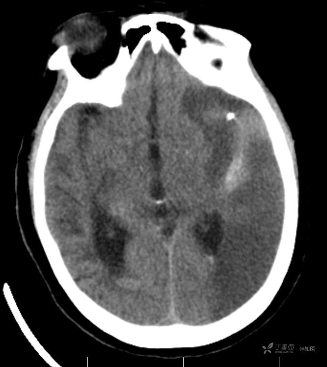
辅助检查:头颅MRI+DWI(2021.04.21 西安市红会医院):1.桥脑、双侧额顶叶、半卵圆中心、侧脑室旁及基底节区多发缺血灶、腔梗灶,部分软化灶。脑白质脱髓鞘改变,脑萎缩。DWI未见确切异常增高信号。
初步诊断:1.脑梗死;2.大脑中动脉狭窄;3.高血压2级(很高危);4.2型糖尿病。诊断依据:定位:左侧大脑半球,依据:混合性失语、右侧肢体活动不灵、流涎、轻微饮水呛咳、吞咽困难。定性:缺血性脑血管病,脑梗死诊断明确;依据:既往有高血压、2型糖尿病等脑血管危险因素,静止中急性起病,迅速出现局灶性神经功能缺损症状,头颅CT于脑实质内未见明确的高密度病灶。
4-21日在局麻下行经股动脉插管全脑血管造影术+左侧大脑中动脉支架置入术
术后诊断:1.脑梗死;2.左侧大脑中动脉次全闭塞;3.高血压2级(很高危);4.2型糖尿病
术后辅助检查:






























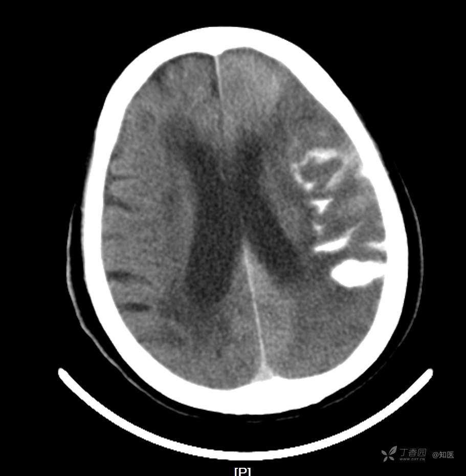
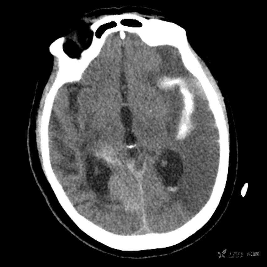
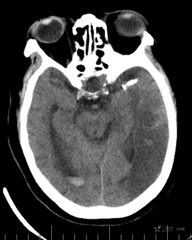
4-22日查房患者呈昏睡状,混合性失语,右侧肢体肌力障碍较入院时加重,胃肠减压引流物为深黄绿色液体,量约150ml。查体:GCS 9分(睁眼反应 3分+语言 1分+运动 5分),NHISS评分23分(意识水平 2分+提问 2分+指令 1分+凝视 2分+面瘫2+左上肢 1分+右上肢4分+左下肢 2分+右下肢4分+语言 3分),昏睡状,查体欠合作,混合性失语,粗测智能查体不配合。双眼闭目紧,双侧球结膜水肿,双侧瞳孔等大等圆,直径约4.0mm,对光反射灵敏,眼球无自主运动,无眼震,右侧鼻唇沟浅,口角向左歪斜。咽部查体不配合。转颈、耸肩查体不配合。伸舌不配合。右上肢肌力1级,右下肢肌力2级,左上肢肌力3级,左下肢肌力4级,四肢肌张力减低。四肢深浅感觉及共济运动查体不配合。右侧巴氏征阳性,左侧巴氏征阴性。颈抵抗。双侧布氏征及克氏征均阴性。辅助检查:头颅+胸部CT:与前片(2021-4-21 13:57)对比,现片示:1、环池、桥前池及大脑镰后部及小脑幕高密度影,考虑出血,较前新发。2、额颞顶叶高低混杂密度影,考虑梗塞伴造影剂残留;左侧大脑中动脉走行区致密影,系术后改变;请结合临床。3、多发腔梗,脑白质脱髓鞘,脑萎缩。4、双肺间质性改变,双肺下叶纤维索条,双侧胸腔微少量积液征象,双侧胸膜增厚。5、主动脉及冠状动脉管壁多发钙化斑块。三线主任医师、二线主治医师查房后示:根据患者病史、体征及辅助检查,目前诊断:1.脑梗死出血转化;2.左侧大脑中动脉次全闭塞;3.左侧大脑中动脉支架植入术后;4.高血压2级(很高危);5.2型糖尿病;6.应激性溃疡伴出血。目前病情及治疗上需注意以下问题:1.患者出血转化,增加脱水剂剂量,调整为20%甘露醇 125ml 每8小时一次、甘油果糖 250ml 每12小时一次,同时结合患者球结膜水肿,白蛋白正常低值,今日给予补充人血白蛋白10g,注意监测电解质等变化。2.患者为蛛网膜下腔出血,给予泵入尼莫地平预防脑血管痉挛。3.患者左侧大脑半球见大片脑白质脱髓鞘,考虑脑白质营养不良,给予维生素B1、维生素B12、维生素C、维生素B6及依达拉奉改善微血管通透性;4.患者出现应激性溃疡伴出血,今日暂禁食,给予泮托拉唑抑酸及肠外营养补充,密切观察消化道出血情况,根据病情变化调整抑酸药物剂量及频次;5.患者卧床,今晨见明显痰多,给予化痰等对症处理,监测血常规及脓毒症2项指标。6.向家属再次告知病情,因患者高龄、既往高血压及糖尿病病史,此次治疗出现出血转化,存在意识障碍加深、病情加重可能。7.密切观察神经系统体征变化。遵嘱执行。
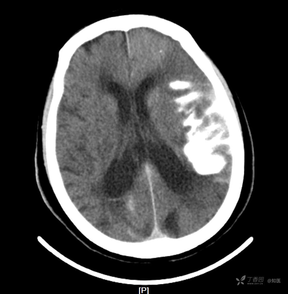
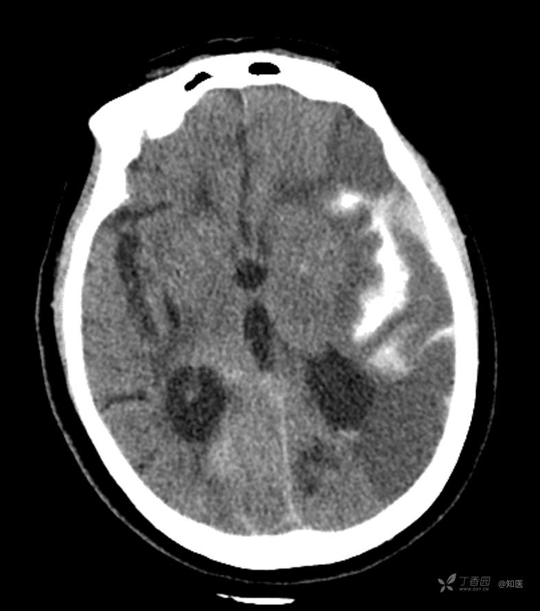
4-23日查房:患者呈中度醒状昏迷,右侧肢体肌力障碍较入院时加重,胃肠减压引流物为黄绿色液体,量约200ml。入院后至今晨入量为4050ml,出量为4850ml。查体:GCS 6分(睁眼反应 2分+语言 1分+运动 3分),NHISS评分35分(意识水平 3分+提问 2分+指令 2分+面瘫3分+左上肢 4分+右上肢4分+左下肢 4分+右下肢4分+感觉 2分+语言 3分+构音障碍 2分+忽视 2分)。中度昏迷。双目睁眼状,双侧球结膜水肿较昨日明显,双侧瞳孔等圆,不等大,右侧直径约3.5mm,左侧瞳孔直径约3.0mm,对光反射灵敏,眼球无自主运动,无眼震。右侧鼻唇沟浅,口角向左歪斜。咽部查体不配合。转颈、耸肩查体不配合。伸舌不配合。四肢肌力检查不配合,右上肢落鞭征阳性,左上肢落鞭征阴性,右下肢不能撑于床面,左下肢可撑于床面,四肢肌张力减低。四肢深浅感觉及共济运动查体不配合。右侧巴氏征阳性,左侧巴氏征阴性。颈抵抗。双侧布氏征及克氏征均阴性。辅助检查:经颅多普勒示:左侧大脑中动脉峰值流速极低,右侧大脑中动脉及双侧大脑前动脉血流速度未见明显异常。头颅CT(2021-04-22):与前片(2021-4-21)对比,现片示:1.环池、桥前池及大脑镰后部及小脑幕高密度影,较前减少。2.额颞顶叶高低混杂密度影,考虑梗塞伴造影剂残留;左侧大脑中动脉走行区致密影,系术后改变;基本同前。请结合临床。3.多发腔梗,脑白质脱髓鞘,脑萎缩。同前。二线主治医师查房后示:患者目前诊断明确。现治疗上需注意以下问题:1.患者夜间体温上升,最高38度,结合患者卧床、痰多、不易咳出,且化验检查提示炎性指标较前明显升高,今日给予头孢哌酮舒巴坦抗感染治疗,同时继续雾化祛痰等。2.因患者应激性溃疡并出血,昨日查胃液潜血阳性,但经给予泮托拉唑抑酸护胃治疗后消化道出血未进行性加重,胃管引流物为黄绿色液体,今日暂继续给予氨基酸、脂肪乳等肠外营养支持,安排再次复查胃液潜血,若转阴可给予肠内营养加强支持治疗。3.患者血压仍有偏高,夜间泵入乌拉地尔控制,今日给予左氨氯地平平稳控制血压,监测血压变化。4.患者昨日血糖波动在6.8-11.4mmol/l,结合其糖化血红蛋白为6.4%,暂不干预血糖,继续监测血糖变化。5.患者意识障碍程度加重,双侧瞳孔不等大,但光反射灵敏,考虑与脑梗死后水肿高峰有关,治疗上继续加强脱水,向家属再次详细告知病情及目前诊疗方案,存在颅内压增高至脑疝形成、呼吸心跳骤停可能,表示理解知情。密切观察生命体征及神经系统体征变化。遵嘱执行。
简述手术过程:采用同轴技术将8FGuiding置于左侧颈内动脉颈段,造影显示左侧大脑中动脉M2段局部白色血栓样病变,微导丝及微导管导引下将6F中间导管置于左侧大脑中接近白色血栓样病变,经中间导管尾端负压抽吸未见回血,持续负压吸引下将中间导管回撤至颈内动脉末端后,回抽未见血栓,再次造影显示左侧大脑中动脉完全闭塞,主手术者考虑血管内膜受损所致夹层闭塞。更换微导丝配合微导管通过闭塞段,将微导管置于闭塞远端,撤出微导丝,经微导管造影确认真腔,交换长导丝将1.5mm-15mm球囊置于狭窄段(局部白色血栓样病变段),给予8ATM扩张,造影见局部白色血栓样病变段90%狭窄,远端血流恢复,经导管给予欣维宁10ml,观察15min,再次造影见残余狭窄仍有90%,贴覆3.0mm-15mm支架于狭窄段,再次造影见残余狭窄约80%,支架覆盖部位造影显示仍有白色类似血栓样病变。由于多次使用及更换微导丝探测,微导丝进入左侧大脑中远端分支,远端分支血管周围可见造影剂外渗,未来得及中和肝素,患者呕吐咖啡色样胃内容物,血氧饱和度下降,心率增快,生命体征不平稳,向家属告知手术结果后终止手术。
询问另一位临床经验丰富神经介入二线医师:左侧大脑中动脉M2段局部白色血栓样病变考虑血栓。但是询问负责该患者主管手术二线考虑夹层样次全闭塞。
疑问:1.如果是血栓,为何抽吸导管接近抽吸后未见血栓?
2.为何中间导管抽吸后再次造影显示左侧大脑中动脉完全闭塞?
3.球囊扩张后再次造影显示左侧大脑中远端血流恢复?
4.如果是夹层样病变,为何球扩及支架置入后局部白色血栓样病变一直存在?
5.影像学(DSA)如何鉴别血栓、夹层及粥样硬化斑块,有无特征性影像学表现?
6.急性闭塞及慢性闭塞怎样区分?
最近初学脑血管介入,两位神经介入二线对同一处病变意见不同,疑点多多,请战友逐一解惑,不胜感激!!!
















































